Патент на изобретение №2308234

Published by on




РОССИЙСКАЯ ФЕДЕРАЦИЯ



ФЕДЕРАЛЬНАЯ СЛУЖБА
ПО ИНТЕЛЛЕКТУАЛЬНОЙ СОБСТВЕННОСТИ,
ПАТЕНТАМ И ТОВАРНЫМ ЗНАКАМ
(19) RU (11) 2308234 (13) C1
(51) МПК

A61B10/00 (2006.01)
A61N5/00 (2006.01)

(12) ОПИСАНИЕ ИЗОБРЕТЕНИЯ К ПАТЕНТУ

Статус: по данным на 18.11.2010 – действует

(21), (22) Заявка: 2006126247/14, 20.07.2006

(24) Дата начала отсчета срока действия патента:

20.07.2006

(46) Опубликовано: 20.10.2007

(56) Список документов, цитированных в отчете о
поиске:
АЛЕКСАНДРОВ Ю.К. и др. Малоинвазивная хирургия щитовидной железы. – М.: ОАО “Медицина”, 2005, 288 с. RU 2004131368 А, 10.04.2006. ПРИВАЛОВ В.А. и др. Чрескожная лазериндуцированная термотерапия узлового зоба. – Хирургия, 2001, № 4, с.10-13. PAPINI et al. Ultrasound-guided laser thermal ablation for treatment of benign thyroid nodules 2004 May-Jun; 10(3):276-83.

Адрес для переписки:

129110, Москва, ул. Щепкина, 61/2, МОНИКИ, патентная группа, пат.пов. Р.М. Куренковой

(72) Автор(ы):

Алехин Александр Иванович (RU),
Богатырев Олег Павлович (RU),
Романко Юрий Сергеевич (RU),
Сергеева Татьяна Владимировна (RU),
Сотникова Виктория Викторовна (RU),
Попучиев Виктор Васильевич (RU)

(73) Патентообладатель(и):

Государственное учреждение Центральная клиническая больница Российской академии наук (RU)

(54) СПОСОБ КОНТРОЛЯ ЭФФЕКТИВНОСТИ ЛЕЧЕНИЯ ПОСЛЕ ЛАЗЕРИНДУЦИРОВАННОЙ ГИПЕРТЕРМИИ УЗЛОВОГО ЗОБА

(57) Реферат:

Изобретение относится к области медицины, в частности к эндокринологии, более конкретно к лабораторной диагностике в области эндокринологии. Проводят цитологические исследования биопсийного материала. Лечение признают эффективным, если через 14-21 день после воздействия в исследуемой ткани определяют наличие многоядерных гистиоцидов и реактивное изменение фиброцитов, через 4-6 месяцев определяют наличие реактивно измененного эпителия щитовидной железы, через 7-9 месяцев в исследуемом биопсийном материале выявляют регенерацию ткани щитовидной железы. Лечение признают неэффективным при отсутствии указанных изменений ткани на каком-то из этапов цитологических исследований. Способ позволяет оценивать эффективность сеанса воздействия и дифференцированно аргументировать необходимость повторного вмешательства. Он прост в применении, высоко информативен и экономичен. 6 ил.

Изобретение относится к эндокринологии, более конкретно к лабораторной диагностике в области эндокринологии, а именно к цитологии.

Известен способ лечения узловых образований щитовидной железы, включающий вмешательство под инструментальным контролем с применением высокоинтенсивного лазерного излучения в узел щитовидной железы при помощи световода, пункционно доставляемого в толщу узла проводником через мягкие ткани шеи (Патент РФ №2143933). А также аналогичный способ, но осуществляемый с применением в качестве инструментального контроля в течение лазерного воздействия динамической регистрации температуры латеральнее границы узловой формы, что позволяет манипулировать временем проведения сеанса, тем самым повышая его эффективность и безопасность (Патент РФ №2251991). Используются высокоинтенсивные диодные или неодимые лазеры мощностью от 1 до 7 Вт с длиной волны от 800 до 1060 нм инфракрасного спектра в непрерывном или импульсном режимах.

При использовании перечисленных характеристик воздействия лазерного излучения в узловом зобе доминирующими являются термические процессы, но в некоторой степени развиваются и фотохимические реакции, и нелинейные эффекты. При этом индивидуальный нюанс реагирования зависит от «внутренних» параметров облучаемой ткани: оптических и термических ее свойств. Таким образом, процессы, происходящие в ткани узлового зоба после лазерного облучения, имея общие морфологические закономерности, приобретают специфические особенности индивидуального течения. Следовательно, необходим способ, который позволил бы наблюдать «изнутри» за динамикой лазериндуцированных процессов для оценки эффективности сеанса воздействия.

Известен способ сонографического контроля за динамикой инволютивных изменений узлового зоба после лазерного воздействия, который позволяет наблюдать прогнозируемую стадийность ультразвуковых изменений, обусловленную исходными характеристиками узла и энергетическими параметрами использованного лазерного излучения (Александров Ю.К.и др. Малоинвазивная хирургия щитовидной железы. М.: ОАО «Издательство «Медицина», 2005. – 288 с.) К оцениваемым ультразвуковым признакам относятся васкуляризация, эхоструктура и размер узлового образования.

Последний критерий является более инертным, требует большего времени динамического наблюдения с интервалом 1 месяц. Повторное вмешательство не производят до тех пор, пока не произойдет стабилизация его объема.

Недостатком метода также является отсутствие строго специфических ультразвуковых признаков для лазериндуцированного процесса в узловом зобе. На этапах динамики процесса появляются эхоскопические признаки, имитирующие различные виды патологии. Невозможно конкретизировать интервалы времени, в которые ожидается изменение ультразвуковой картины.

Задачей предлагаемого изобретения является создание способа контроля «изнутри» происходящих изменений в ткани узлового зоба после сеанса лазерного воздействия, который позволил бы наблюдать реакцию ткани на излучение, тем самым оценивая эффективность процедуры и дифференцированно определяя показания к повторному воздействию.

Указанная задача достигается тем, что в способе контроля эффективности лечения после лазерной гипертермии узлового зоба, включающем диагностические исследования в динамике, предложено проводить цитологические исследования биопсийного материала. Лечение признают эффективным, если через 14-21 день после воздействия в исследуемой ткани определяют наличие многоядерных гистиоцидов и реактивное изменение фиброцитов, через 4-6 месяцев определяют наличие реактивно измененного эпителия щитовидной железы, через 7-9 месяцев в исследуемом биопсийном материале выявляют регенерацию ткани щитовидной железы. Лечение признают неэффективным при отсутствии указанных изменений ткани на каком-то из этапов цитологических исследований.

Способ поясняется чертежами.

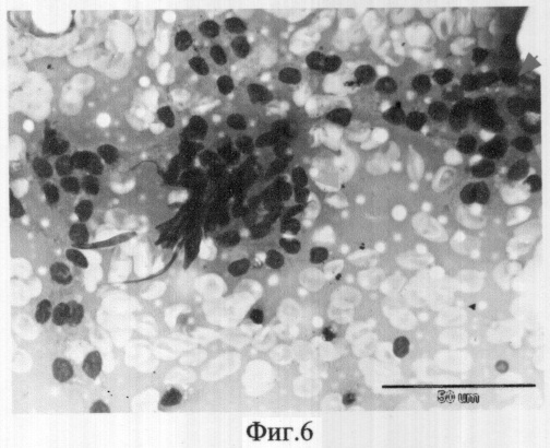
На фиг.1 – фотография участка узлового зоба до лазерного воздействия (стрелками показаны фолликулярные клетки щитовидной железы). На фиг.2 – реактивно измененный многоядерный гистиоцит. На фиг.3 – реактивные изменения и пролиферация соединительной ткани (фибробласты). На фиг.4 – реактивно измененные фолликулярные клетки. На фиг.5 и 6 – регенераторная ткань (варианты микроскопической картины).

Способ осуществляется следующим образом.

После проведения лазерного воздействия производят забор клеточного материала из узла для цитологического исследования. Сроки, в которые происходит изменение характера клеточного ответа, были определены эмпирическим путем при наблюдении 150 пациентов. Изучение цитологических данных осуществляется в динамике, что позволяет дать оценку эффективности процедуры и дифференцированно определять показания к повторному лечению.

Через 14-21 день после сеанса лазерного воздействия осуществляют пункционную тонкоигольную аспирационную биопсию под ультразвуковым контролем веерообразным методом. При этом используется малотравматичная игла G 0,6, что делает метод более щадящим, не снижая диагностической ценности цитологического мазка. Веерообразный забор предпочтительнее, т.к. увеличивает вероятность попадания разнообразных клеточных элементов, что полноценнее отражает цитологические особенности. Если на этом этапе наблюдается наличие многоядерных гигантских гистиоцитов, а также реактивные изменения и пролиферация соединительной ткани (реактивное изменение фиброцитов), то это свидетельствует об адекватном ответе ткани на лазерное воздействие (фиг.2 и 3).

На сроке от 4 до 6 месяцев осуществляют пункционную биопсию для следующего этапа исследований. Если в цитологическом материале отмечаются реактивные изменения фолликулярного эпителия щитовидной железы, которые проявляются увеличением размера клеток без смещения ядерно-цитоплазматического соотношения, усилением окраски ядра (гиперхромия) и цитоплазмы (базофилия) – фиг.4, это свидетельствует о благоприятном течении процесса.

Если данных изменений нет в цитологических данных через 4 месяца, то проводятся повторные исследования до истечения 6 месяцев. То есть, при слабовыраженной реакции фолликулярного эпителия (изменения в единичных клетках) через 4 месяца целесообразно продолжать наблюдение с повторным пункционным и цитологическим контролем в период до 6 месяцев.

На сроке 7-9 месяцев, если в цитологическом материале отмечается наличие регенерации ткани щитовидной железы, определяемой по наличию плотных многослойных скоплений из фолликулярного эпителия с нежно-зернистой структурой хроматина ядра, наличия нуклеол в отдельных клетках с узким ободком цитоплазмы, свидетельствующих о молодости клеток, т.е. регенерации ткани щитовидной железы. Это свидетельствует, что лечение прошло успешно (фиг.5 и 6).

Дифференцированный подход к назначению повторной процедуры осуществляется следующим образом.

Отсутствие через 1 месяц в цитологических данных элементов воспаления (гистиоцитов) и реактивных изменений соединительной ткани (пролиферация фибробластов) свидетельствует о неэффективности лазерной процедуры и требует повторного сеанса воздействия.

При отсутствии через 6 месяцев цитологической информации за реактивные изменения фолликулярного эпителия процедуру лазерного воздействия также необходимо повторять.

Если наблюдаются вышеописанные клеточные реакции при оценке цитологического материала на сроках 14-21, 4-6 месяцев, но через 7-9 месяцев не определяется наличие пластов регенераторной ткани, то процедуру лазерного воздействия следует повторить.

Восстановление структуры органа (в данном случае щитовидной железы) происходит около 1,5 лет. На протяжении всего этого периода в пунктате на фоне ослабления признаков специфического воспаления преобладают регенераторные процессы.

По предлагаемой методике проведены исследования у 280 пациентов, при этом 150 больным дополнительно проводили УЗИ исследования по известной методике для подтверждения результатов предлагаемого способа. Полная корреляция цитологических данных с УЗИ и клиническими данными позволяет говорить о высокой точности и информативности предлагаемого способа.

Пример 1.

Пациентка А., 1965 г.р. с д-зом: Узловой кистозно-измененный зоб. При клиническом осмотре щитовидная железа визуализируется за счет выбухания левой доли. Пальпаторно – узел размерами около 3 см в диаметре плотной структуры с эластичной поверхностью, смещаемый при глотании. Эхоскопические (УЗИ) данные за наличие узлового объема с выраженной капсулой и наличием жидкостного компонента. При пункционной биопсии получено 2 мл жидкости, по заключению цитологического просмотра: узловой коллоидный зоб с кистозной трансформацией (Фиг.1). Гормональный фон не нарушен. Ранее лечения не проводилось. Под местной анестезией, используя иглу в качестве проводника, в толщу узла после эвакуации содержимого доставлен световод и проведен сеанс лазерного воздействия длительностью 12 минут в непрерывном режиме с напряжением на конце оптического волокна 3,5 Вт и длиной волны 1060 нм с контролем температуры на границе зоны патологической зоны и интактной ткани.

Через 17 дней после лечения выполнена пункционная биопсия с цитологическим исследованием. В материале отмечено появление реактивно измененных многоядерных гистиоцитов (фиг.2), реактивных изменений и пролиферации фиброцитов (фиг.3). Далее, пункционную биопсию выполнили на сроке 4 месяца под ультразвуковым контролем. Исследован полученный материал, в котором обнаружены реактивные изменения клеточного эпителия (фиг.4). Через 7 месяцев пальпаторных данных за узловой объем нет. При эхографическом контроле визуализируется зона неоднородной структуры без четких контуров размерами 7 на 11 мм, из которой получен цитологический материал. По заключению цитограммы обнаружены участки регенерации (фиг.5 и 6). Через 9 месяцев клинических и инструментальных данных за патологию щитовидной железы не получено. Гормональный фон исследован – изменений нет. Лечение проведено успешно.

Пример 2.

Пациентка К., 1934 г.р. с д-зом: Узловой коллоидный зоб. По данным пальпаторного исследования, согласующегося с сонографическим контролем, узел в области перешейка щитовидной железы размером около 2 см в диаметре. По цитограмме – узловой коллоидный зоб с признаками дистрофических изменений (вид аналогочен фиг.1). Гормональный статус поддерживается в норме небольшими дозами тиреоидных препаратов на протяжении последних 5 лет. По известной методике проведен сеанс лазерного лечения и контроль его эффективности. Через 21 день на фоне отсутствия клинических признаков воспаления в пунктате не обнаружены многоядерные гистиоциты и данные реактивного изменения соединительной ткани (картина аналогична фиг.1). Проведен повторный сеанс. Через 2 недели в пунктате отражались признаки лазериндуцированного воспаления (фиг.2 и фиг.3). На сроке 4,5 месяцев имелись признаки реактивного изменения тиреоидного эпителия (фиг.4). Через 7 месяцев из остаточного объема, составляющего по сонографическим данным 10% от начального изменения, произведено взятие цитологического материала и отмечено наличие регенерации (фиг.6). Пациентка обследована спустя 1,5 года. Данных за патологию щитовидной железы не получено. Гормональный фон в пределах физиологической нормы без применения тиреоидных препаратов. Лечение прошло успешно.

Пример 3.

Пациент О., 1954 г.р. с д-зом: Узловой коллоидный зоб с кистозной дегенерацией (аналог.фиг.1). Обследован по основному алгоритму. При пункции получено около 1 мл кистозной жидкости. Проведено лечение известным способом. Через 20 дней после сеанса лазерного воздействия обнаружены признаки воспаления и реактивного ответа соединительной ткани (аналог.фиг.2 и 3). Через 4 месяца в пунктате имеются признаки реактивного изменения клеток щитовидной железы (фиг.4), однако объем узла по данным УЗИ не имеет тенденции к уменьшению. Продолжено наблюдение и через 6 месяцев проведено контрольное цитологическое исследование. Признаки реактивных изменений отсутствуют (аналог. фиг.1). Лечение признано неэффективным и проведен повторный сеанс с последующим цитологическим контролем в указанные сроки. Отмечалось наличие признаков клеточного реагирования (аналог. фиг.2, 3, 4) через 21 день, 4 и 6 месяцев соответственно. Через 7 месяцев имеется регенерация. Обследован клинически и эхографически через 9 месяцев. Данных за патологию щитовидной железы не получено. Гормональный статус не изменен. Лечение признано успешным.

Пример 4.

Пациентка К., 1958 г.р. с д-зом: Узловой коллоидный зоб с признаками дегенеративных изменений (аналог. фиг.1). Обследована по известному алгоритму. Сеанс лазерного воздействия проведен по известному способу. Последующий цитологический контроль выполнялся на указанных сроках. Реакция ткани наблюдалась до 6 месяцев (аналог. фиг.2, 3, 4). Через 7 месяцев клинические и эхографические данные свидетельствуют о наличии узлового объема, составляющего 50% от изначального. Признаков регенерации не получено. Лечение признано недостаточно эффективным и сеанс лазерного воздействия повторен. Динамика цитологических данных после повторного лечения соответствовала фиг.2, 3, 4 (на 21 день, 4 и 6 месяцах), после чего на сроке 7,5 месяцев появилась регенерация (фиг.5 и 6). Обследована через 10 месяцев. Данных за патологию щитовидной железы не получено. Гормональный фон без изменений.

Предлагаемый способ имеет преимущество перед существующими методами, т.к. дает понимание закономерности лазериндуцированных процессов в узловом зобе, приводящих к конечной цели – регенерации ткани и восстановлению структуры щитовидной железы.

Он позволяет оценивать эффективность сеанса воздействия и дифференцированно аргументировать необходимость повторного вмешательства.

Способ прост в применении, высоко информативен и экономичен.

Формула изобретения

Способ контроля эффективности лечения после лазериндуцированной гипертермии узлового зоба, включающий диагностические исследования в динамике, отличающийся тем, что проводят цитологические исследования биопсийного материала, лечение признают эффективным, если через 14-21 день после воздействия в исследуемой ткани определяют наличие многоядерных гистиоцидов и реактивное изменение фиброцитов, через 4-6 месяцев определяют наличие реактивно измененного эпителия щитовидной железы, через 7-9 месяцев в исследуемом биопсийном материале выявляют регенерацию ткани щитовидной железы, лечение признают неэффективным при отсутствии указанных изменений ткани на каком-то из этапов цитологических исследований.

РИСУНКИ


MM4A – Досрочное прекращение действия патента СССР или патента Российской Федерации на изобретение из-за неуплаты в установленный срок пошлины за поддержание патента в силе

Дата прекращения действия патента: 21.07.2008

Извещение опубликовано: 27.12.2009 БИ: 36/2009


NF4A – Восстановление действия патента СССР или патента Российской Федерации на изобретение

Дата, с которой действие патента восстановлено: 20.01.2010

Извещение опубликовано: 20.01.2010 БИ: 02/2010


Categories: BD_2308000-2308999