|
|
(21), (22) Заявка: 2006117466/14, 22.05.2006
(24) Дата начала отсчета срока действия патента:
22.05.2006
(46) Опубликовано: 27.09.2007
(56) Список документов, цитированных в отчете о поиске:
МЮЛЛЕР М.Е. и др. “Руководство по внутреннему остеосинтезу” – Springer Verlag, 1996 – с.462-463. RU 2080838 C1, 10.06.1997. RU 2266719 C2, 27.12.2005. JP 2003210478 A, 29.07.2003. BLUM J “Operative strategies in the treatment of upper limb fractures in polytraumatized patients” Unfallchirurg. 2005 Oct; 108(10):843-4, 846-9 (Abstract).
Адрес для переписки:
450000, г.Уфа-Центр, Ленина, 3, БАШГОСМЕДУНИВЕРСИТЕТ, патентный отдел
|
(72) Автор(ы):
Тевдорадзе Заза Гурамович (RU), Еникеев Рафаэль Исхакович (RU)
(73) Патентообладатель(и):
Государственное образовательное учреждение высшего профессионального образования “Башкирский государственный медицинский университет Федерального агентства по здравоохранению и социальному развитию” (ГОУ ВПО БГМУ РОСЗДРАВА) (RU)
|
(54) СПОСОБ ЛЕЧЕНИЯ МНОГООСКОЛЬЧАТЫХ ПЕРЕЛОМОВ ЛОКТЕВОЙ КОСТИ
(57) Реферат:
Изобретение относится к медицине, а именно к травматологии и ортопедии, и предназначено для лечения многооскольчатых переломов локтевой кости. В качестве фиксатора используют реконструктивную пластину. Формируют пластину по дооперационной рентгенограмме локтевой кости в прямой проекции. Контур пластины формируют так, чтобы он повторял контур наружной поверхности проксимальной части локтевой кости в сагиттальной плоскости, огибал верхушку локтевого отростка с заходом на его медиальную поверхность. В загнутом конце пластины удаляют торцевую стенку, а боковые стенки штыкообразно затачивают. Через верхушку локтевого отростка в диафиз локтевой кости интраоперационно проводят спицы по оси локтевой кости, нанизывая репонированные отломки. Проводят загнутый конец пластины между спицами, верхушкой локтевого отростка и трехглавой мышцей плеча. Укладывают штыкообразную часть на внутреннюю поверхность локтевого отростка, а прямую ее часть – по наружной поверхности локтевой кости. Проводят спонгиозный винт в диафиз локтевой кости через отверстие пластины, соответствующее верхушке локтевого отростка. Осуществляют дозированную компрессию отломков по длине и ширине. Удаляют спицы. Способ обеспечивает стабильную фиксацию отломков, восстановление функции сустава, снижение травматичности, сокращение сроков лечения. 7 ил.
Изобретение относится к медицине, а именно к ортопедии, и предназначено для лечения переломов костей.
Известен способ остеосинтеза многооскольчатых переломов локтевого отростка изогнутой трубчатой пластиной, взятый за прототип (там же, стр.463). Недостатками этого способа является то, что пластина укладывается по задней поверхности локтевой кости и прикрыта только кожей. Это может привести к перфорации кожи над пластиной. Мешает образованию скользящего аппарата между кожей и локтевым отростком. Может вести к хроническому бурситу локтевой синовиальной сумки. При фронтальном изгибании трубчатой пластины значительно нарушается ее форма и теряются прочностные свойства.
Технический результат – упрощение способа и уменьшение его травматичности за счет скелетизации только наружной поверхности локтевой кости, достижение анатомичности репозиции, степень стабильности синтеза обеспечивает возможность ранних функциональных нагрузок и нагрузок с отягощением до сращения перелома.
На фиг.1 изображена формовка загнутого конца реконструктивной пластины.
На фиг.2 изображена схема характера многооскольчатого перелома локтевого отростка и проведение спиц Киршнера.
На фиг.3 изображена позиция проведения направляющей спицы и отмоделированной пластины.
На фиг.4 изображен стабильный накостный остеосинтез реконструктивной пластиной, уложенной по наружной поверхности локтевой кости.
На фиг.5 изображен пациент с операционной раной по задненаружной поверхности предплечья (доступ для стабильного остеосинтеза многооскольчатого перелома локтевого отростка).
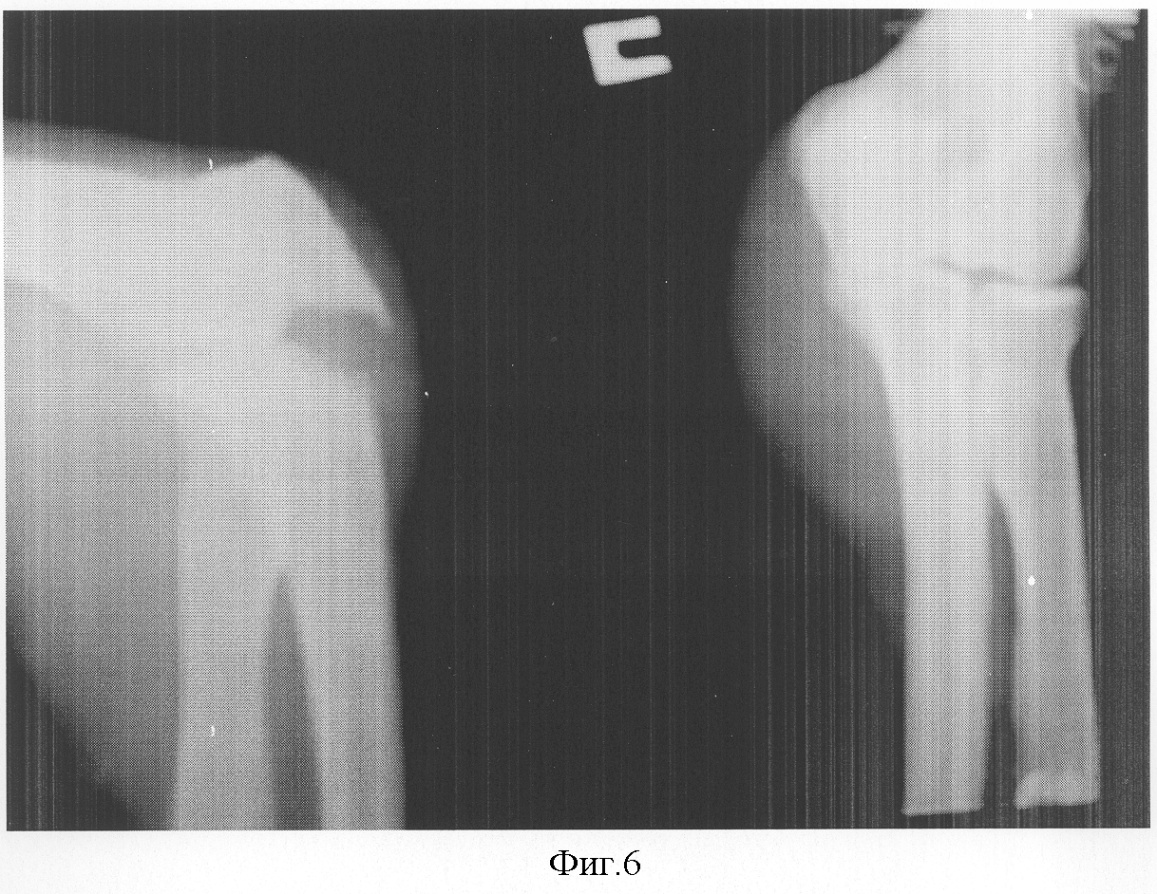
На фиг.6 изображена рентгенограмма локтевого сустава в прямой и боковой проекции, на которой виден оскольчатый перелом локтевого отростка (до операции).
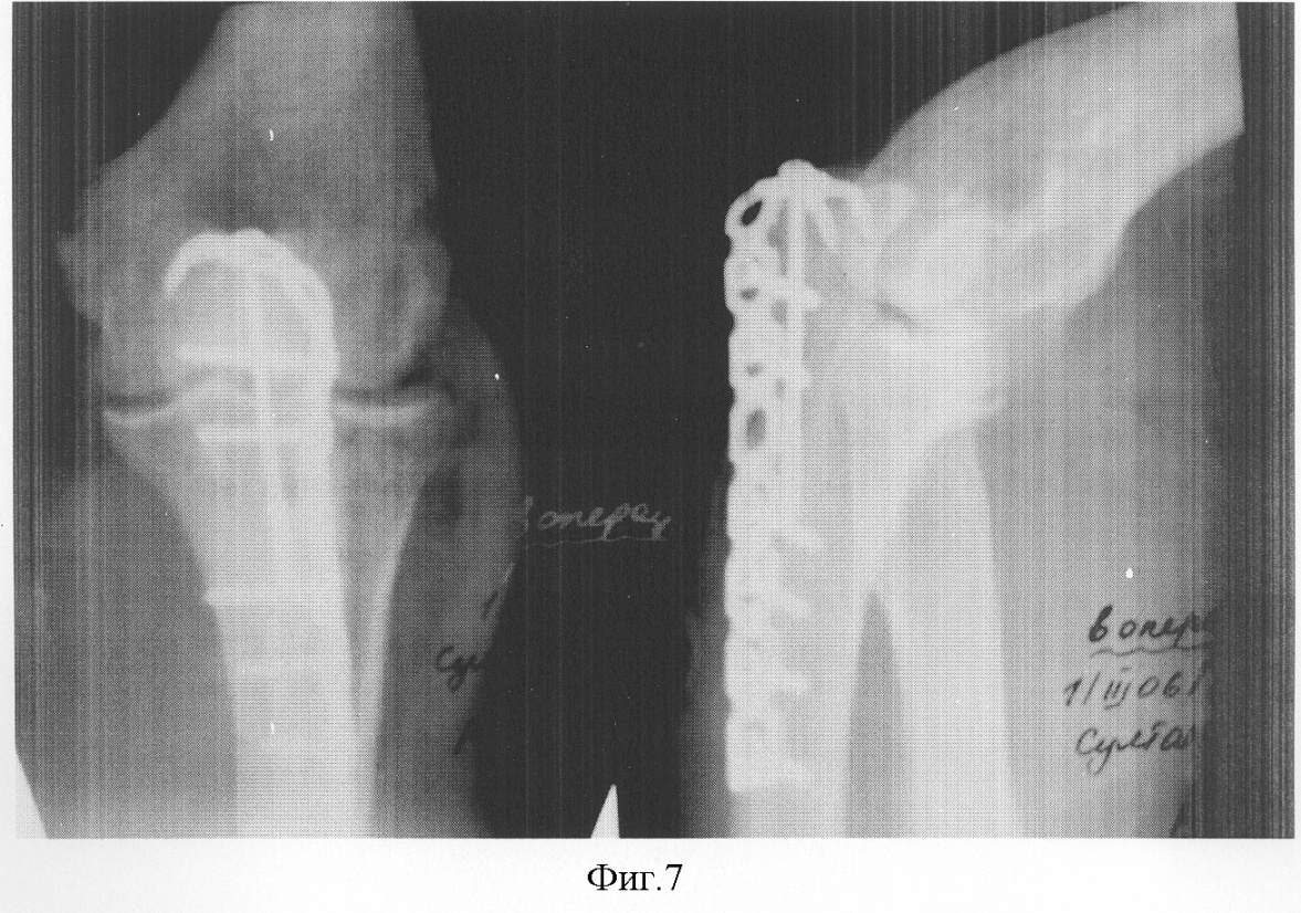
На фиг.7 изображена рентгенограмма оперированного перелома локтевого отростка с применение стабильного накостного остеосинтеза отмоделированной реконструктивной пластиной.
Описание изобретения.
На этапе предоперационного планирования проводят формовку реконструктивной пластины по рентгенограмме локтевой кости в прямой проекции. Длину пластины подбирают по протяженности перелома. Пластину формуют так, чтобы ее контур повторял контур поверхности проксимальной части локтевой кости в сагиттальной плоскости, огибал верхушку локтевого отростка, заходил на его медиальную поверхность для захвата отломков локтевого отростка по медиальной поверхности. Модификацию реконструктивной пластины заканчивают тем, что в загнутом конце удаляют торцевую стенку, а боковые стенки штыкообразно затачивают (фиг.1).
После обработки операционного поля через продольный линейный разрез 10 см, соответствующий заднему краю локтевой кости и наружному краю локтевого отростка (фиг.4), скелетизируют наружную поверхность локтевой кости и локтевого отростка. Через верхушку локтевого отростка в диафиз локтевой кости интраоперационно проводят 2 спицы Киршнера диаметром 1,8 мм по оси локтевой кости, нанизывая репонированные отломки (фиг.1). Между интраоперационными спицами, верхушкой локтевого отростка и трехглавой мышцей правого плеча проводят загнутый конец пластины, укладывают штыкообразную часть на внутреннюю поверхность локтевого отростка, а прямую ее часть – по наружной поверхности локтевой кости. Используя интраоперационные спицы в качестве направляющей после репозиции промежуточных отломков, производят дозированную компрессию отломков по длине и ширине короткорезьбовым спонгиозным винтом, проведенным через отверстие пластины, соответствующее верхушке локтевого отростка, в диафиз локтевой кости (фиг.2). После контроля стояния отломков по окончании компрессии пластину фиксируют к наружной поверхности локтевой кости бикортикальными винтами. Проводят бикортикальные винты через пластину для фиксации крупных отломков локтевого отростка (фиг.3). Удаляют спицы Киршнера, накладывают послойные швы на рану, асептическую повязку. Осуществляют рентген-контроль (фиг.5, 6).
Предлагаемый способ иллюстрируется следующим примером.
Клинический пример.
Больной С., 45 лет, 26.02.2006 г. доставлен в МУ ГТВВ г.Уфы через 2 часа после бытовой травмы, полученной в результате падения на правый локоть с диагнозом: оскольчатый внутрисуставной перелом локтевого отростка правого предплечья со смещением отломков. При поступлении блокада перелома новокаином, иммобилизация локтевого сустава прямой гипсовой лангетой. Проводилась подготовка к операции. При неосложненном течении травмы 1.03.2006 г., то есть на 5-е сутки, открытая репозиция, накостный металлоостеосинтез локтевого отростка правого предплечья реконструктивной пластиной, которая отмоделирована по форме в процессе предоперационного планирования на основании дооперационных рентгеновских снимков.
Ход операции. После обработки операционного поля через продольный линейный разрез 10 см, соответствующий заднему краю локтевой кости и наружному краю локтевого отростка, скелетизировали наружную поверхность локтевой кости и локтевого отростка. Через верхушку локтевого отростка в диафиз локтевой кости провели 2 спицы Киршнера диаметром 1,8 мм по оси локтевой кости. Между интраоперационными спицами, верхушкой локтевого отростка и трехглавой мышцей правого плеча провели загнутый конец пластины, уложили штыкообразную часть на внутреннюю поверхность локтевого отростка, а прямую ее часть – по наружной поверхности локтевой кости. Используя интраоперационные спицы в качестве направляющей после репозиции промежуточных отломков, произвели дозированную компрессию отломков по длине и ширине короткорезьбовым спонгиозным шурупом, проведенным через отверстие пластины, соответствующее верхушке локтевого отростка, в диафиз локтевой кости. После контроля стояния отломков по окончании компрессии пластину зафиксировали к наружной поверхности локтевой кости бикортикальными шурупами. Провели бикортикальные шурупы через пластину для фиксации крупных отломков локтевого отростка. Удалили спицы Киршнера, провели послойные швы на рану, наложили асептическую повязку. Осуществили рентген-контроль.
Получен стабильный функциональный металлосинтез с хорошим анатомическим стоянием отломков. С первых суток после операции начата лечебная физкультура, проводились перевязки, симптоматическое лечение. Неосложненный послеоперационный период. Послеоперационная рана зажила per prim. К моменту снятия швов полностью восстановлена функция травмированного сустава, больной выписан из стационара к труду – работе водителя автомашины.
Формула изобретения
Способ хирургического лечения многооскольчатых переломов локтевой кости, включающий репозицию отломков локтевого отростка и стабильный накостный остеосинтез изогнутой пластиной, отличающийся тем, что в качестве фиксатора используют реконструктивную пластину, формируют пластину по пооперационной рентгенограмме локтевой кости в прямой проекции, контур пластины формируют так, чтобы он повторял контур наружной поверхности проксимальной части локтевой кости в сагиттальной плоскости, огибал верхушку локтевого отростка с заходом на его медиальную поверхность, в загнутом конце пластины удаляют торцевую стенку, а боковые стенки штыкообразно затачивают, через верхушку локтевого отростка в диафиз локтевой кости интраоперационно проводят спицы по оси локтевой кости, нанизывая репонированные отломки, проводят загнутый конец пластины между спицами, верхушкой локтевого отростка и трехглавой мышцей плеча, укладывают штыкообразную часть на внутреннюю поверхность локтевого отростка, а прямую ее часть – по наружной поверхности локтевой кости, проводят спонгиозный винт в диафиз локтевой кости через отверстие пластины, соответствующее верхушке локтевого отростка, осуществляют дозированную компрессию отломков по длине и ширине, удаляют спицы.
РИСУНКИ
MM4A – Досрочное прекращение действия патента СССР или патента Российской Федерации на изобретение из-за неуплаты в установленный срок пошлины за поддержание патента в силе
Дата прекращения действия патента: 23.05.2008
Извещение опубликовано: 20.02.2010 БИ: 05/2010
|
|