|
| На основании пункта 3 статьи 13 Патентного закона Российской Федерации от 23 сентября 1992 г. № 3517-I патентообладатель обязуется передать исключительное право на изобретение (уступить патент) на условиях, соответствующих установившейся практике, лицу, первому изъявившему такое желание и уведомившему об этом патентообладателя и федеральный орган исполнительной власти по интеллектуальной собственности, – гражданину РФ или российскому юридическому лицу. |
|
(21), (22) Заявка: 2005139547/14, 16.12.2005
(24) Дата начала отсчета срока действия патента:
16.12.2005
(46) Опубликовано: 27.09.2007
(56) Список документов, цитированных в отчете о поиске:
ГОРБУНОВ В.Н., СТОЛЯРЧУК Е.С. Оценка функции выходного отдела нормального и оперированного желудка с помощью ультразвука, Хирургия, 1996, №2, с.31-34. RU 2221491 C2, 20.01.2004. RU 2281693 C1, 20.08.2006. RU 2206268 C1, 20.06.2003. LUDTKE FE, BERTUS M, MICHALSKI S, DAPPER FD, LEPSIEN G. Long-term analysis of ultrasonic features of the antropyloric
Адрес для переписки:
634050, г.Томск, Московский тракт, 2, СибГМУ, отдел ИС, Н.Г. Зубаревой
|
(72) Автор(ы):
Гибадулина Ирина Олеговна (RU), Гибадулин Наиль Валерианович (RU), Биркина Ирина Евгеньевна (RU), Богоутдинов Марат Шайхатдинович (RU), Грязнов Станислав Васильевич (RU)
(73) Патентообладатель(и):
Гибадулина Ирина Олеговна (RU), Гибадулин Наиль Валерианович (RU), Биркина Ирина Евгеньевна (RU), Богоутдинов Марат Шайхатдинович (RU), Грязнов Станислав Васильевич (RU)
|
(54) СПОСОБ УЛЬТРАЗВУКОВОЙ ДИАГНОСТИКИ СОКРАТИТЕЛЬНОЙ СПОСОБНОСТИ ГАСТРОДУОДЕНАЛЬНОГО ПЕРЕХОДА
(57) Реферат:
Изобретение относится к области медицины, а именно к способам ультразвуковой диагностики сократительной способности гастродуоденального перехода. Осуществляют ультразвуковое сканирование продольного среза гастродуоденального перехода. Дополнительно проводят ультразвуковое сканирование поперечного среза гастродуоденального перехода и осуществляют измерение толщины его мышечного слоя по передней, верхней, задней и нижней стенке как в фазу полного раскрытия просвета, так и в фазу максимального смыкания. Затем определяют индекс степени сокращения гастродуоденального перехода. Индекс рассчитывают по формуле IS=((L1+L2+L3+L4)×100)/(R1+R2+R3+R4)-100, где IS – индекс степени сокращения; L1, L2, L3, L4 – толщина мышечного слоя соответственно по передней, верхней, задней и нижней стенке в фазу максимального смыкания, R1, R2, R3, R4 – толщина мышечного слоя соответственно по передней, верхней, задней и нижней стенке в фазу полного раскрытия гастродуоденального перехода. При индексе степени сокращения равном или более 50% – определяют нормальное состояние сократительной способности гастродуоденального перехода. При индексе степени сокращения менее 50% – определяют нарушение сократительной способности гастродуоденального перехода. Способ позволяет значительно повысить точность и информативность ультразвукового метода исследования при заболеваниях верхних отделов желудочно-кишечного тракта. 2 ил.
(56) (продолжение):
CLASS=”b560m”region 17-27 years after treatment of infantile hypertrophic pyloric stenosis. J Clin Ultrasound. 1994 Jun; 22(5): 299-305.
Изобретение относится к области медицины, диагностики, конкретно к способам ультразвуковой диагностики сократительной способности гастродуоденального перехода.
Наиболее близким по достигаемому положительному эффекту к предлагаемому является способ ультразвуковой диагностики сократительной способности гастродуоденального перехода, заключающийся в осуществлении ультразвукового сканирования продольного среза гастродуоденального перехода, при котором регистрируют градиент раскрытия привратника посредством определения разности между диаметром привратника в момент эвакуации из желудка и диаметром привратника в сомкнутом состоянии, и при градиенте раскрытия привратника, равном 4,2±2,8 мм, определяют нормальное состояние сократительной способности гастродуоденального перехода, а при градиенте раскрытия привратника более 4,2±2,8 мм определяют нарушение сократительной способности гастродуоденального перехода [1].
Однако данному способу присуще наличие ряда недостатков, основными из которых являются недостаточная точность и информативность, в частности регистрация ложноположительных результатов при гипертрофии слизистого слоя, например при воспалительной инфильтрации стенок гастродуоденального перехода, а также отсутствие возможности проведения дифференцированной оценки функционального состояния мышечного массива, являющего структурным элементом гастродуоденального перехода и отвечающего за сократительную способность последнего в норме и при патологических процессах верхних отделов желудочно-кишечного тракта.
Новую техническую задачу – повышение точности, информативности и чувствительности способа – решают применением нового способа ультразвуковой диагностики сократительной способности гастродуоденального перехода, заключающегося в осуществлении ультразвукового сканирования продольного среза гастродуоденального перехода, причем дополнительно проводят ультразвуковое сканирование поперечного среза гастродуоденального перехода и осуществляют измерение толщины его мышечного слоя по передней, верхней, задней и нижней стенке как в фазу полного раскрытия просвета, так и в фазу максимального смыкания с последующим определением индекса степени сокращения гастродуоденального перехода, который рассчитывают по формуле IS=((L1+L2+L3+L4)×100)/(R1+R2+R3+R4)-100, где IS – индекс степени сокращения; L1, L2, L3, L4 – толщина мышечного слоя соответственно по передней, верхней, задней и нижней стенке в фазу максимального смыкания, R1, R2, R3, R4 – толщина мышечного слоя соответственно по передней, верхней, задней и нижней стенке в фазу полного раскрытия гастродуоденального перехода, и при индексе степени сокращения, равном или более 50%, определяют нормальное состояние сократительной способности гастродуоденального перехода, при индексе степени сокращения менее 50% определяют нарушение сократительной способности гастродуоденального перехода.
Способ осуществляют следующим образом.
В ходе трансабдоминального ультразвукового исследования по унифицированной методике осуществляют ультразвуковую топическую диагностику желудка и двенадцатиперстной кишки [2]. После контрастирования верхних отделов желудочно-кишечного тракта посредством приема пациентом деарированной воды объемом 450 мл пациента переводят в положение на правом боку и с полуоборотом назад.
При продольном сканировании по правой среднеключичной линии под нижним краем печени определяют гастродуоденальный переход, который имеет вид суженной трубки протяженностью около 25 мм. Затем при непрерывном сканировании в той же проекции в косопоперечном положении датчика визуализируют поперечный ультразвуковой срез гастродуоденального перехода, который имеет сечение округлой формы с утолщенными стенками за счет превалирования мышечного компонента.
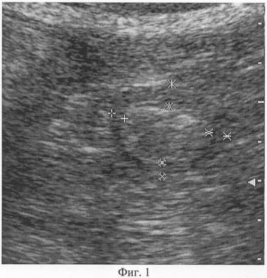
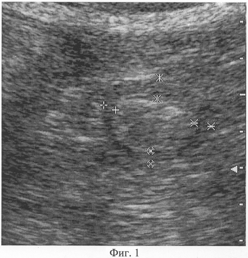
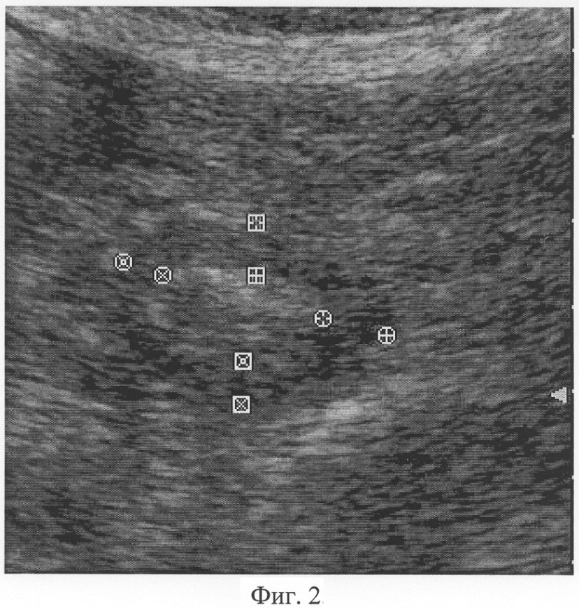
При фиксации изображения в момент полного раскрытия просвета гастродуоденального перехода осуществляют измерение толщины его мышечного слоя, который визуализируется как широкая гипоэхогенная полоска с четкими контурами, расположенная по периферии ультразвукового поперечного среза. Причем измерение толщины производят по передней, верхней, задней и нижней стенкам гастродуоденального перехода, как показано на Фиг.1. Аналогичным образом проводят измерение толщины мышечного слоя гастродуоденального перехода в фазу максимального его смыкания, как показано на Фиг.2.
Далее определяют сократительную способность гастродуоденального перехода по формуле IS=((L1+L2+L3+L4)×100)/(R1+R2+R3+R4)-100, где IS – индекс степени сокращения; L1, L2, L3, L4 – толщина мышечного слоя соответственно по передней, верхней, задней и нижней стенке в фазу максимального смыкания, R1, R2, R3, R4 – толщина мышечного слоя соответственно по передней, верхней, задней и нижней стенке в фазу полного раскрытия гастродуоденального перехода.
При индексе степени сокращения, равном или более 50%, определяют нормальное состояние сократительной способности гастродуоденального. перехода, при индексе степени сокращения менее 50% определяют нарушение сократительной способности гастродуоденального перехода.
Обоснование режима.
Под гастродуоденальным переходом понимается анатомически и функционально взаимосвязанный комплекс, состоящий из пилорической части желудка, пилорического сфинктера (привратника) и луковицы двенадцатиперстной кишки. Его главной функциональной задачей является регуляция выхода желудочного содержимого и создание препятствия обратному забросу химуса из двенадцатиперстной кишки в желудок. Это осуществляется благодаря сокращениям мышечной оболочки, которая представлена гладкой мускулатурой пилорического отдела желудка, привратника и двенадцатиперстной кишки, являясь самой мощной по сократительной способности зоной верхних отделов желудочно-кишечного тракта [3].
Точная оценка сократительной способности гастродуоденального перехода необходима для определения причины нарушения моторно-эвакуаторной функции при функциональных и органических изменениях желудка и двенадцатиперстной кишки. Стандартные ультразвуковые методы диагностики сократительной способности гастродуоденального перехода, такие как, например, известный способ-прототип, не всегда отвечают требованиям современной диагностики заболеваний верхних отделов желудочно-кишечного тракта, одной из задач которой является адекватная оценка функционального состояния гастродуоденального перехода с верификацией степени вовлечения его мышечного массива в патологический процесс, что позволяет осуществить в каждом клиническом случае дифференциацию лечебных мероприятий.
В частности, при верификации нарушения сократительной способности гастродуоденального перехода вследствие пилороспазма, обусловленного длительным гипертонусом мышц привратника, сопутствующим в большинстве случаев острой язве пилоробульбарного отдела, необходимо проведение комплексного терапевтического лечения. При диагностировании нарушения сократительной способности гастродуоденального перехода, обусловленного необратимыми рубцовыми изменениями пилоробульбарной области с вовлечением мышечного массива в стенотический процесс, ставится вопрос о радикальном удалении функционально пассивного гастродуоденального перехода с последующим выполнением пилорусмоделирующей операции путем формирования функционально активного гастродуоденоанастомоза.
Исходя из этого повышение точности и информативности диагностического исследования достигается, во-первых, осуществлением в ходе ультразвукового исследования гастродуоденального перехода сканирования его поперечного среза в зоне максимальной толщины мышечной оболочки, определяемой как широкая гипоэхогенная полоска с четкими контурами, локализованная по периферии ультразвукового поперечного среза и ограниченная с внутренней стороны узкой гиперэхогенной полоской, соответствующей подслизистому слою, а с наружной стороны – другой узкой гиперэхогенной полоской, соответствующей серозной оболочке.
Во-вторых, ультразвуковая метрическая оценка толщины мышечного слоя по передней, верхней, задней и нижней стенке гастродуоденального перехода позволяет учесть анатомические особенности его мышечного массива, который характеризуется асимметрией расположения мышечных пучков: продольный мышечный слой в пилорической части желудка сосредоточен в основном по большой и малой кривизне желудка; эта мускулатура, переходя с пилорической части желудка на привратник и далее на двенадцатиперстную кишку, совершает спиралевидный поворот – с малой кривизны желудка на заднюю стенку, с большой кривизны желудка – на переднюю стенку луковицы двенадцатиперстной кишки. Этим объясняется визуализация на поперечном ультразвуковом срезе у практически здоровых людей округлой формы просвета и разных по толщине стенок гастродуоденального перехода [3].
С учетом того, что при патологических состояниях верхних отделов желудочно-кишечного тракта с вовлечением в процесс пилорической части желудка, привратника и луковицы двенадцатиперстной кишки ультразвуковые метрические пропорции, характерные для нормального строения гастродуоденального перехода, нарушаются за счет деформации его стенок, связанной в первую очередь с гипертрофией или гипотрофией слизистой оболочки, предлагаемый способ предусматривает измерение толщины только мышечного слоя, а не всей стенки в целом. Это исключает ошибочную трактовку результатов, возможную при применении заявленного в прототипе измерения внутреннего диаметра привратника, то есть расстояния между слизистыми слоями, напрямую зависящего от степени выраженности в слизистой оболочке воспалительных или деструктивных процессов.
В-третьих, сократительную способность гастродуоденального перехода осуществляют посредством расчета индекса степени его сокращения, основанного на отношении значений толщины каждой стенки гастродуоденального перехода в фазу полного его раскрытия и в фазу максимального смыкания, что позволяет объективизировать функциональное состояние мышечного компонента данного отдела желудочно-кишечного тракта. В норме индекс степени сокращения равен 50% или более 50%. Нарушение сократительной способности гастродуоденального перехода, который может быть обусловлен как его гипотонусом, например, при пилоробульбарном стенозе, так и гипертонусом, например, при пилороспазме, индекс степени сокращения составляет менее 50% (фиг.1).
Способ апробирован при обследовании 69 пациентов с заболеваниями верхних отделов желудочно-кишечного тракта (основная группа) и 26 практически здоровых волонтеров (контрольная группа). Обследование пациентов включало традиционные клинико-лабораторные и инструментальные методы исследования, а также ультразвуковое сканирование желудка и двенадцатиперстной кишки согласно предлагаемого способа с использованием аппарата Logic 400 (США); конвексный датчик с частотой 3,5-5 МГц, линейный датчик с частотой 7 МГц.
При оценке сократительной способности гастродуоденального перехода была подтверждена более высокая степень чувствительности предлагаемого способа по сравнению с известным способом-прототипом, составившая соответственно 91,5 и 82,7%.
Примеры конкретного применения способа.
Клинический пример 1.
Пациент С., 35 лет, жалоб не предъявляет, анамнез не отягощен. В ходе комплексного обследования, включающего традиционные клинико-лабораторные и инструментальные методы исследования, применяемые в гастроэнтерологии, а также ультразвуковые способы изучения функционального состояния желудка и двенадцатиперстной кишки, было верифицировано отсутствие каких-либо признаков функциональных и органических изменений верхних отделов желудочно-кишечного тракта.
При исследовании согласно предлагаемому способу с определением индекса сократительной способности гастродуоденального перехода были выявлены следующие параметры: Поперечный срез привратника неправильной округлой формы, с незначительной асимметрией стенок. Привратник в момент эвакуации контраста смыкается полностью. В фазу максимального смыкания гастродуоденального перехода толщина передней стенки составила 7,4 мм, верхней – 8,9 мм, задней – 5,1 мм, нижней – 5,5 мм. В фазу полного раскрытия гастродуоденального перехода толщина передней стенки составила 4,5 мм, верхней – 5,3 мм, задней – 3,0 мм, нижней – 4,0 мм. Индекс степени сокращения составил 60,1%, Заключение: нормальное состояние сократительной способности гастродуоденального перехода.
Клинический пример 2.
Пациент К., 37 лет обратился в терапевтическое отделение поликлиники с жалобами на боли в пилородуоденальной области умеренной интенсивности, возникающие через 1,5-2 часа после еды, отрыжку воздухом, изжогу, чувство тяжести в эпигастрии после приема пищи. Из анамнеза известно, что язвенной болезнью страдает в течение 3 лет, находится на диспансерном учете в поликлинике по месту жительства. За это время неоднократно проходил курсы амбулаторного и стационарного лечения; обострения носили сезонный характер.
В ходе комплексного обследования, включающего традиционные клинико-лабораторные и инструментальные методы исследования, применяемые в гастроэнтерологии, а также ультразвуковые способы изучения функционального состояния желудка и двенадцатиперстной кишки был выставлен диагноз: Язвенная болезнь двенадцатиперстной кишки. Язва передней стенки луковицы ДПК, осложненная субкомпенсированным стенозом привратника. Дуоденогастральный рефлюкс II степени. Хронический Helicobacter pylori-зависимый атрофический гастрит.
При исследовании согласно предлагаемому способу с определением индекса сократительной способности гастродуоденального перехода были выявлены следующие параметры: Поперечный срез привратника неправильной округлой формы, с выраженной асимметрией стенок. Привратник в момент эвакуации контраста полностью не смыкается. В фазу максимального смыкания гастродуоденального перехода толщина передней стенки составила 5,1 мм, верхней – 6,3 мм, задней – 3,9 мм, нижней – 4,9 мм. В фазу полного раскрытия гастродуоденального перехода толщина передней стенки составила 4,7 мм, верхней – 5,6 мм, задней – 3,1 мм, нижней – 4,2 мм. Индекс степени сокращения составил 14,8%, Заключение: нарушение сократительной способности гастродуоденального перехода.
Пациент направлен в хирургическое отделение гастроэнтерологического центра для проведения оперативного лечения, где была выполнена дистальная резекция желудка в объеме 1/2 органа с формированием пилорусмоделирующего соустья.
Таким образом, применение предлагаемого способа ультразвуковой диагностики сократительной способности гастродуоденального перехода позволяет значительно повысить точность и информативность и, как следствие, диагностическую ценность ультразвукового метода исследования при заболеваниях верхних отделов желудочно-кишечного тракта.
Краткое описание чертежей
Фиг.1. Сканограмма (режим серой шкалы, поперечная проекция) гастродуоленального перехода: фаза полного раскрытия просвета, толщина мышечного слоя R1=4,8 мм, R2=5,9 мм, R3=3,4 мм, R4=3,6 мм.
Фиг.2. Сканограмма (режим серой шкалы, поперечная проекция) гастродуоленального перехода: фаза максимального смыкания, толщина мышечного слоя L1=6,3 мм, L2=7,8 мм, L3=4,9 мм, L4=5,0 мм.
Источник информации
Формула изобретения
Способ ультразвуковой диагностики сократительной способности гастродуоденального перехода, заключающийся в осуществлении ультразвукового сканирования продольного среза гастродуоденального перехода, отличающийся тем, что дополнительно проводят ультразвуковое сканирование поперечного среза гастродуоденального перехода и осуществляют измерение толщины его мышечного слоя по передней, верхней, задней и нижней стенке как в фазу полного раскрытия просвета, так и в фазу максимального смыкания с последующим определением индекса степени сокращения гастродуоденального перехода, который рассчитывают по формуле IS=((L1+L2+L3+L4)×100)/(R1+R2+R3+R4)-100, где IS – индекс степени сокращения; L1, L2, L3, L4 – толщина мышечного слоя соответственно по передней, верхней, задней и нижней стенке в фазу максимального смыкания, R1, R2, R3, R4 – толщина мышечного слоя соответственно по передней, верхней, задней и нижней стенке в фазу полного раскрытия гастродуоденального перехода, и при индексе степени сокращения равном или более 50% – определяют нормальное состояние сократительной способности гастродуоденального перехода, при индексе степени сокращения менее 50% – определяют нарушение сократительной способности гастродуоденального перехода.
РИСУНКИ
|
|