Патент на изобретение №2301625

Published by on




РОССИЙСКАЯ ФЕДЕРАЦИЯ



ФЕДЕРАЛЬНАЯ СЛУЖБА
ПО ИНТЕЛЛЕКТУАЛЬНОЙ СОБСТВЕННОСТИ,
ПАТЕНТАМ И ТОВАРНЫМ ЗНАКАМ
(19) RU (11) 2301625 (13) C1
(51) МПК

A61B8/13 (2006.01)

(12) ОПИСАНИЕ ИЗОБРЕТЕНИЯ К ПАТЕНТУ

Статус: по данным на 29.11.2010 – может прекратить свое действие

(21), (22) Заявка: 2006108279/14, 16.03.2006

(24) Дата начала отсчета срока действия патента:

16.03.2006

(46) Опубликовано: 27.06.2007

(56) Список документов, цитированных в отчете о
поиске:
СТЕПАКИНА Е.И. и др. Методы инструментальной диагностики гидроцефалии у детей. Лекция. Найдено из Интернет:

Адрес для переписки:

644099, г.Омск, ул. Ленина, 12, ОмГМА, патентный отдел

(72) Автор(ы):

Ларькин Валерий Иванович (RU),
Ларькин Игорь Иванович (RU),
Ларькин Дмитрий Валерьевич (RU),
Атрошенко Александр Викторович (RU)

(73) Патентообладатель(и):

ГОУ ВПО Омская государственная медицинская академия (RU)

(54) СПОСОБ ДИАГНОСТИКИ ГИДРОЦЕФАЛИИ ГОЛОВНОГО МОЗГА

(57) Реферат:

Изобретение относится к медицине, в частности к педиатрии, и касается диагностики гидроцефалии. Для ее выполняют компьютерно-томографическую морфометрию головного мозга. При этом измеряют объем тканей мозга и ликворных пространств, рассчитывают ликворо-краниальный индекс. Объем ликворных пространств от 3,8 до 10% от объема краниальной полости соответствует легкой степени гидроцефалии; от 10,1 до 30% – средней степени. Если объем ликворных пространств составляет более 30% от объема краниальной полости, диагностируют тяжелую степень гидроцефалии. Способ обеспечивает возможность на основании только ликворо-краниального индекса с высокой точностью диагностировать степень гидроцефалии. 5 ил., 1 табл.

(56) (продолжение):

CLASS=”b560m”мозга у детей. Травма нервной системы: материалы ежегодной научно-практической конференции/Под ред. проф. А.Ю.Савченко. – Омск, 1999, стр.31-35. ISKANDAR B.J. et al. The use of quick-brain magnetic resonance imaging in the evaluation of shunt-treated hydrocephalus. J Neurosurg. 2004 Nov; 101 (2 Suppi): 147-51.

Изобретение относится к медицине и может быть использовано в педиатрии.

Известно, что выраженность гидроцефалии может быть определена методом ультразвуковой нейросонографии. Измерение желудочковой системы проводят как в коронарных, так и парасагиттальных плоскостях сканирования. В коронарных плоскостях исследования вентрикулометрию проводят в сечении на уровне отверстий Монро и III желудочка. По этой методике измеряются поперечный размер передних рогов, косой размер переднего рога с каждой стороны, поперечный размер III желудочка. В норме у доношенных новорожденных косой размер переднего рога не более 2 мм. Недоношенные новорожденные обычно имеют более широкую ликворную систему с косым размером около 4 мм. Помимо оценки абсолютных размеров желудочковой системы в практической работе используется вычисление относительных показателей в виде желудочково-полушарного индекса Эванса, который представляет собой отношение расстояния между наиболее отдаленными точками передних рогов боковых желудочков к наибольшему внутреннему диаметру черепа (Ватолин К.В. Ультразвуковая диагностика заболеваний головного мозга у детей. Москва: «Видар», – 1995. – 117 с.).

Недостатком методики является ее невысокая достоверность, субъективизм и невозможность использования при деформациях ликворной системы. Достоверность в оценке вентрикуломегалии индекса Эванса составляет лишь 0,423, а вентрикуло-мозгового коэффициента 0,891. При применении объемных методов диагностики (МРТ, магнито-резонансной миело- и цистернографии, КТ и КТ-волюметрии) может быть достигнута значительно большая информативность. (Matsumae M., Kikinis R., Morocz I., Lorenzo AV.: Intracranial compartment volumes in patients with enlarged ventricles assessed by magnetic resonance-based image processing, ecord 6 of 7 – MEDLINE (R) 1996 1SSN: 0022-3085 J-Neurosurg. – 1996. – V 84(6). – P.972-981).

Метод КТ-морфометрии использован Савченко А.Ю. для клинико-рентгенологической оценки степени энцефалопатии при глиоме головного мозга. При исключении продолженного роста опухоли нарастание ЛКИ рассматривалось как прогрессирование энцефалопатии. (Клинико-рентгенологическая диагностика энцефалопатии при глиоме: Метод. Рекомендации / Ю.Н.Савченко, А.Ю.Савченко, В.В.Семченко, А.В.Бахарев. – Омск: Омич, – 1994. – 13 с.).

Недостаток: мало используется в педиатрической практике.

Известна методика компьютерно-томографической морфометрии, основанная на количественном определении объемов тканей по заданным денситометрическим интервалам, выражающимся в единицах Хаунсфилда, использованная для определения количества ликвора в полости черепа посредством определения ликворо-краниального индекса. В ходе КТ-исследования для коррекции изображения объекта на экране используются регуляторы яркости и контрастности – так называемые ширина и уровень окна, которые позволяют раздельно изучать кости черепа, мозговое вещество и мягкие покровы головы, резко отличающиеся по коэффициенту абсорбции. Для уточнения размеров и характера очагов поражения и отека мозга проводится томоденситометрия (послойное измерение плотности вещества мозга). Используют систему отсчета, предложенную фирмой «Ohio-Nuclear», в которой приняты единицы Hounsfield – ед. Н, в которой оценка колебаний коэффициента адсорбции (КА) принята ±1000 ед. Н. В нормальных условиях коэффициент абсорбции (КА) различных тканей головного мозга неодинаков и на КТ отражается в виде 8 уровней интенсивности серого изображения.

Определяют ликворо-краниальный индекс, который представляет процентное отношение объема ликворных пространств к объему полости черепа. Исследование выполнено на КТ-установке СТ-9000 HP фирмы «General Electric» с матрицей 320×320 пикселов, стандартная разрешающая способность составляет 0,8 мм. Ликворо-краниальный индекс измерен по программе «Volume», в которой режим «Blink» позволяет определить значения коэффициентов ослабления единичных пикселов (микроучастков исследуемого объекта 1 мм × 1 мм × 10 мм при шаге сканирования 10 мм), а суммирующая программа «Hystogram» представляет денситометрическую характеристику исследуемого объекта (плотность ликвора равна 0-16 Н, плотность неизменного вещества мозга 30-60 Н) (Савченко А.Ю. Глиомы головного мозга: эпидемиология, диагностика, дифференцированное лечение и реабилитация. Омск: издание Омской государственной медицинской академии, – 1997. – 312 с.).

Задачей изобретения является улучшение диагностики гидроцефалии у детей.

Поставленная задача решается тем, что в способе диагностики гидроцефалии головного мозга, включающем компъютерно-томографическую морфометрию головного мозга и измерение объема тканей мозга и ликворных пространств, при значении объема ликворных пространств от 3,8 до 10% от объема краниальной полости определяют легкую степень гидроцефалии; от 10,1% до 30% – среднюю степень гидроцефалии, более 30% – тяжелую степень гидроцефалии.

Способ поясняется чертежами.

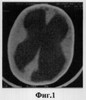
Фиг.1 Ребенку М. 6 месяцев выполнено вентрикулоперитонеальное шунтирование по поводу прогрессирующей внутренней гидроцефалии. До операции при КТ определена тяжелая степень гидроцефалии (ЛКИ = 51,5%).

Фиг.2 Спустя 6 месяцев после шунтирующей операции при контрольной КТ диагностирован полный регресс проявлений гидроцефалии, нормализация внутричерепных взаимоотношений (ЛКИ = 3,5%).

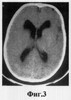
Фиг.3 Демонстрирует симметричное расширение ликворной системы. Отмечена корреляция между данными нейросонографии и КТ-морфометрии, соответствующими гидроцефалии легкой степени (ЛКИ = 7,6%).

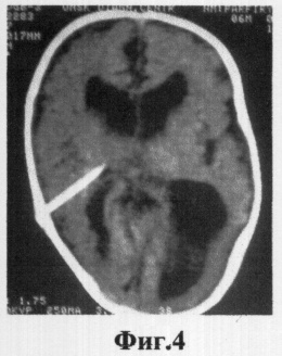
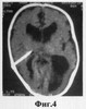
Фиг.4 Демонстрирует деформацию и асимметрию ликворной системы после вентрикуло-перитонеального шунтирования гидроцефалии. По данным НСГ индекс Эванса = 0,47, что соответствует гидроцефалии легкой степени. Однако КТ морфометрия позволяет оценить вентрикуломегалию как более значимую (ЛКИ = 19,9%) – гидроцефалию средней степени.

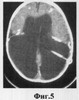
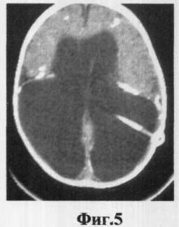
Фиг.5 Демонстрирует грубый порок развития головного мозга, порэнцефалическую гидроцефалию с грубым поражением затылочных долей, однако передние отделы мозга изменены в меньшей степени. Индекс Эванса, измеренный по стандартной методике, равен 0,5, что соответствует легкой степени гидроцефалии. КТ-морфометрические измерения (ЛКИ = 43,5%) демонстрируют гидроцефалию тяжелой степени.

Способ диагностики осуществляют следующим образом:

В компьютер томографа вносят паспортные данные пациента, вносят параметры сканирования: область исследования – голова; размер поля сканирования – поле 25 см; время сканирования – 5 сек; толщина среза – 10 мм; шаг сканирования – 10 мм; величина тока – 200-250 миллиампер.

Пациента укладывают на стол аппарата и вводят в апертуру гентри, производится позиционирование (центрация по орбито-меатальной линии). Проводят сканирование согласно параметрам. Эвакуируют пациента по окончанию исследования. Обрабатывают данные по программе «Volume» с фиксацией результата на твердой копии.

Детям с гидроцефалией исследование проводят на КТ-установке СТ-9000 HP фирмы «General Electric», с матрицей 320×320 пикселов, стандартная разрешающая способность составляет 0,8 мм. Ликворо-краниальный индекс измеряют по программе «Volume», в которой режим «Blink» позволяет определить значения коэффициентов ослабления единичных пикселов (микроучастков исследуемого объекта 1 мм × 1 мм × 10 мм при шаге сканирования 10 мм), а суммирующая программа «Hystogram» представляет денситометричеекую характеристику исследуемого объекта (плотность ликвора равна 0-16 Н, плотность неизменного вещества мозга 30-60 Н).

Пример 1.

Проведено изучение объема ликворных пространств методом КТ-морфометрии у 55 практически здоровых детей групп 1, 2, 3 и 53 детей с гидроцефалией, которые вошли в группы 4, 5 и 6.

В группу 1 вошло 20 детей с низкими параметрами физического развития головы (согласно центильных таблиц). Объем краниальной полости изменялся от 909 до 1309 см3, объем цереброспинальной жидкости – от 8 до 17 см3, ликворо-краниальный индекс колебался от 0,9 до 2,1% и в среднем составил 1,65±0,46%.

В группу 2 вошло 27 детей со средними параметрами физического развития окружности головы. Объем краниальной полости изменялся от 1011 до 1305 см3, объем ликвора от 12 до 41 мл. Ликворо-краниальный индекс варьировал от 1,3 до 2,9% и в среднем равнялся 2,1±0,8%. В группу 3 вошли 8 детей с высокими параметрами физического развития окружности головы. Объем краниальной полости составлял от 1074 до 1550 см3, объем ликвора от 29 до 50 см3. Ликворо-краниальный индекс колебался от 2,5 до 3,8% и в среднем равнялся 3,05±0,55%. Таким образом, за возрастную норму могут быть приняты значения ЛКИ от 1,2 до 3,8%.

Гидроцефалия может быть определена как состояние краниоцеребральной диспропорции с высоким ликворо-краниальным индексом.

В группу 4 вошли 12 детей с гидроцефалией легкой степени. Объем краниальной полости у них колебался от 910 до 1577 см3, объем ликвора – от 50 до 152 см3. Ликворо-крадиальный индекс колебался от 3,8 до 9,7% и в среднем равнялся 6,3±2,1%.

В группу 5 объединены 24 детей с гидроцефалией средней тяжести. Окружность головы, как правило, соответствовала высоким параметрам развития и превосходила их. Объем краниальной полости колебался от 787 до 1434 см3, объем ликвора – от 96 до 364 см3. Ликворо-краниальный индекс варьировал от 12,2 до 25,4%, в среднем составлял 17,2±5,2%.

В группу 6 вошли 17 детей с гидроцефалией тяжелой степени. Окружность головы значительно превышала возрастную норму. Объем краниальной полости колебался от 720 2586 см3, объем ликвора – от 391 до 1375 см3. Ликворо-краниальный индекс изменялся от 30 до 53,2%, в среднем равнялся 38,3±8,3%.

Пример 2.

Демонстрирует возможность КТ морфометрии в оценке истинного объема ликворных пространств. Проведена корреляция между данными нейросонографии и КТ-морфометрии у 53 детей с проявлениями гидроцефалии.

Клинико-рентгенологическая классификация степени гидроцефалии в зависимости от истинного объема ликворной системы в соотношении с результатами нейросонографии
Гидроцефалия Индекс Эванса Клинические проявления ЛКИ
Легкая степень 0,31-0,5 Как правило, отсутствуют 3,8-10%
Средняя степень 0,51-0,74 Выраженные клинические проявления 10,1-30%
Тяжелая степень больше 0,75 Декомпенсация заболевания больше 30%

Формула изобретения

Способ диагностики гидроцефалии, включающий компьютерно-томографическую морфометрию головного мозга, измерение объема тканей мозга и ликворных пространств, отличающийся тем, что при значении объема ликворных пространств от 3,8 до 10% от объема краниальной полости определяют легкую степень гидроцефалии, от 10,1 до 30% – среднюю степень, более 30% от объема краниальной полости – тяжелую степень гидроцефалии.

РИСУНКИ

Categories: BD_2301000-2301999