Патент на изобретение №2300332

Published by on




РОССИЙСКАЯ ФЕДЕРАЦИЯ



ФЕДЕРАЛЬНАЯ СЛУЖБА
ПО ИНТЕЛЛЕКТУАЛЬНОЙ СОБСТВЕННОСТИ,
ПАТЕНТАМ И ТОВАРНЫМ ЗНАКАМ
(19) RU (11) 2300332 (13) C2
(51) МПК

A61B17/56 (2006.01)

(12) ОПИСАНИЕ ИЗОБРЕТЕНИЯ К ПАТЕНТУ

Статус: по данным на 08.12.2010 – прекратил действие

(21), (22) Заявка: 2005122577/14, 06.07.2005

(24) Дата начала отсчета срока действия патента:

06.07.2005

(43) Дата публикации заявки: 20.01.2007

(46) Опубликовано: 10.06.2007

(56) Список документов, цитированных в отчете о
поиске:
SU 1124941 A1, 23.11.1984. SU 1191063 A1, 15.11.1985. RU 2200489 C2, 20.03.2003. “Травматология и ортопедия” Под. ред. МУСАЛАТОВА Х.А. и др. – 4-е изд., перераб. и доп. – М.: Медицина, 1995, с.448. TONKIN M.A. “Thumb deformity in the spastic hand: classification and surgical techniques” Tech Hand Up Extrem Surg. 2003 Mar; 7 (1):18-25 (Abstract).

Адрес для переписки:

420015, г.Казань, ул. Горького, 3, НИЦТ “ВТО”, патентный отдел

(72) Автор(ы):

Микусев Иван Егорович (RU),
Микусев Глеб Иванович (RU),
Хабибуллин Равис Фоатович (RU)

(73) Патентообладатель(и):

Научно-исследовательский центр Татарстана “Восстановительная травматология и ортопедия” (RU)

(54) СПОСОБ ФОРМИРОВАНИЯ ПЕРВОГО ЛУЧА КИСТИ

(57) Реферат:

Изобретение относится к медицине, а именно к травматологии и ортопедии и предназначено для улучшения функциональных результатов лечения при восстановлении первого пальца кисти. Производят тыльно-боковой разрез по лучевому краю кисти. Формируют туннель в дистальном направлении от культи первой пястной кости до уровня второго пястно-фалангового сустава. Погружают костный трансплантат в туннель. Соединяют трансплантат с культей первой пястной кости, фиксируют их спицами. После полного срастания трансплантата с культей первой пястной кости проводят дистракционное устранение приводящей контрактуры первого луча аппаратом. Выполняют операцию по формированию первого пальца кисти. Способ обеспечивает сохранение полноценной чувствительности сформированного первого луча. 14 ил.

Предлагаемое изобретение относится к медицине (травматология и ортопедия) и предназначено для восстановления первого пальца кисти и обеспечения функции двухстороннего охвата.

Известен способ одномоментной кожно-костной пластики первого луча по Джилису [1]. Эта операция позволяет удлинить 1 палец на 1,5-2 см. Недостатком этого способа является то, что 1 палец восстанавливается недостаточных размеров и не всегда удовлетворяет больных.

Известен также способ воссоздания 1 пальца кисти с использованием “китайского лоскута” [2]. При этом способе для формирования 1 пальца кисти используют трансплантат из лучевой кости, заостренный конец которого внедряют в 1 пястную кость, а лучевым кожно-фасциальным лоскутом предплечья воссоздают 1 палец кисти. Недостатком этого способа является то, что операция требует обязательного использования операционного микроскопа и микрохирургического инструментария для сохранения связи лоскута и сосудистого пучка с подлежащей лучевой костью, что требует обязательного участия подготовленного микрохирурга.

Известен способ двухэтапной кожно-костной реконструкции первого луча по методике Азолова В.В., взятый за прототип [3]. При этом способе производят продольное расщепление 1 пястной кости с последующим разворотом фрагмента ее в дистальном направлении на 180 градусов, затем обе половины пястной кости скрепляют костным аллотрансплантатом с последующим погружением сформированного костного блока в заготовленный трубчатый кожный лоскут. Недостатком этого способа является полное отсутствие всех видов чувствительности в пальце, сформированном филатовским стеблем.

Сущность изобретения состоит в совокупности существенных признаков, достаточной для достижения искомого технического результата, и заключается в сохранении полноценной чувствительности сформированного первого пальца кисти.

Эта сущность заключается в том, что для формирования первого луча кисти костной и кожной пластикой производят тыльно-боковой разрез по лучевому краю кисти, формируют туннель в дистальном направлении от культи первой пястной кости до уровня второго пястно-фалангового сустава. Костный трансплантат погружают в туннель, соединяют трансплантат с культей первой пястной кости, фиксируют их спицами. После полного срастания, трансплантата с культей первой пястной кости, проводят дистракционное устранение приводящей контрактуры первого луча аппаратом, выполняют операцию по формированию первого пальца кисти.

Поперечный тыльно-боковой разрез по лучевому краю кисти позволяет сформировать канал для установки трансплантата без повреждения нервов ладонной поверхности кисти, что обеспечивает в дальнейшем сохранение полноценной чувствительности сформированного первого пальца кисти.

Рубец после данного разреза не расходится при проведении дистракции, что могло бы иметь место при продольном разрезе.

Применение спиц обеспечивает более жесткую фиксацию трансплантата с остатком пястной кости.

Постепенное устранение приводящей контрактуры пальца аппаратом позволяет создать запас кожи межпальцевого промежутка, что обеспечивает возможность укрытия сформированного первого луча полноценной чувствительной кожей.

Способ осуществляют следующим образом.

Под внутривенным обезболиванием поперечным тыльно-боковым разрезом в области культи 1 пястной кости выделяют торец (конец) ее и в толще мягких тканей тупо формируют туннель в дистальном направлении от культи до уровня второго пястно-фалангового сустава. На торце культи 1 пястной кости или на конце трансплантата, в зависимости от формы культи пястной кости, формируют углубление (канал). Костный трансплантат проводят в туннель в сторону второго пястно-фалангового сустава, после чего заостренный конец трансплантата внедряют в 1 пястную кость или, наоборот, заостренный конец культи пястной кости внедряют в углубление трансплантата, продвижением его в центральном направлении, и фиксируют к культе пястной кости спицами. Зашивают кожную рану и накладывают гипсовую лонгету до снятия кожных швов (две недели). Производят контрольную рентгенографию. После полного срастания трансплантата с культей 1 пястной кости проводят дистракционное устранение приводящей контрактуры 1 пястной кости аппаратом, после чего выполняют формирование 1 пальца с сохранением полноценной, чувствительной кожи.

Клинический пример:

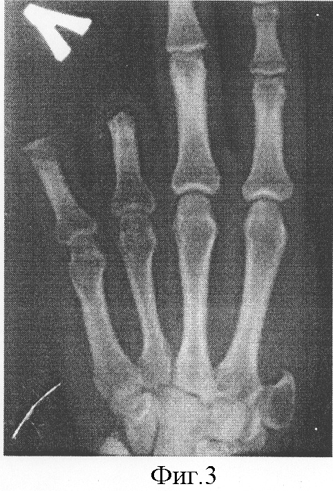
Б-ой С., 1976 г.р. И.Б. №1648, поступил в отделение хирургии кисти НИЦТ “ВТО” 19.04.02. Диагноз: Культя 1 пальца на уровне основания пястной кости, культи основных фаланг 4-5 пальцев левой кисти (Фиг.1, 2, 3,4).

07.05.02. Операция: 1 этап кожно-костной реконструкции 1 луча левой кисти.

Под внутривенным обезболиванием поперечным тыльно-боковым разрезом в области культи 1 пястной кости выделили торец (конец) ее и в толще мягких тканей тупо сформировали туннель в дистальном направлении от культи до уровня второго пястно-фалангового сустава. На конце трансплантата сформировали углубление (канал). Костный трансплантат провели в туннель в сторону второго пястно-фалангового сустава, после чего заостренный конец культи пястной кости внедрили в углубление трансплантата продвижением его в центральном направлении, и фиксировали к культе пястной кости спицами. Швы на кожную рану, гипсовая лонгета. Контрольная рентгенография (Фиг.5, 6). Рана зажила первичным натяжением.

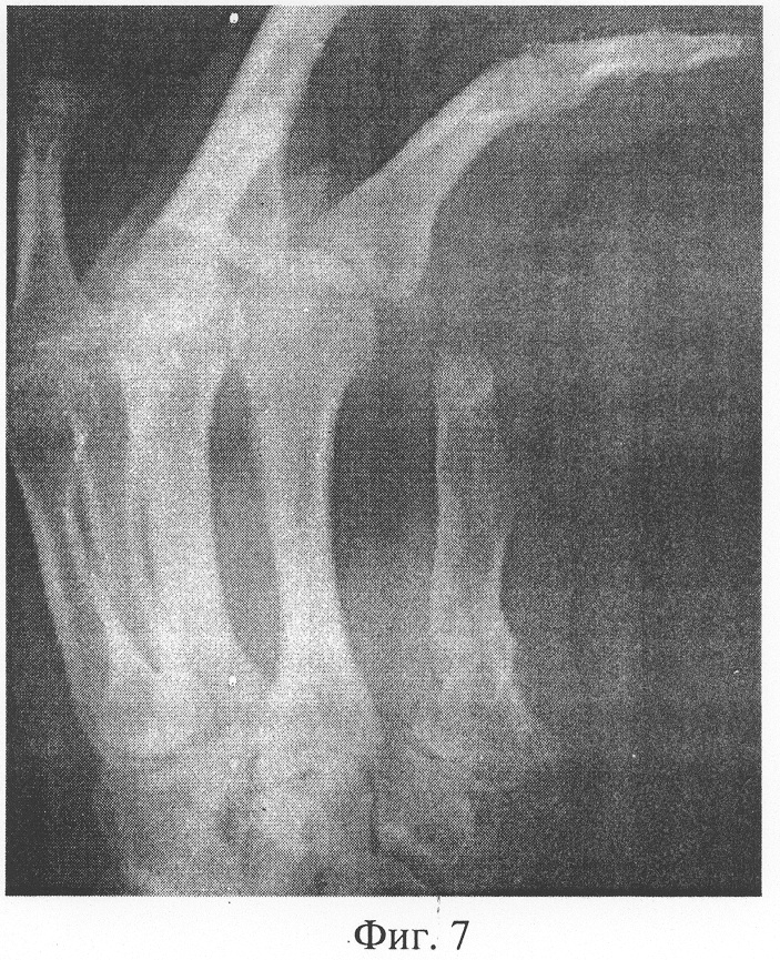
После полного срастания трансплантата с культей 1 пястной кости пациент госпитализирован повторно 28.11.03. ИБ №5679 с диагнозом: Состояние после 1 этапа кожно-костной реконструкции 1 луча левой кисти (Фиг.7, 8).

02.12.03. Операция: Наложение дистракционного аппарата на левую кисть (Фиг.9, 10).

После устранения приводящей контрактуры 1 луча аппаратом, 06.01.04. операция: Формирование 1 пальца левой кисти с сохранением полноценной, чувствительной кожи.

Осмотрен на сроке 1 год после операции. Функция сформированного 1 пальца левой кисти хорошая, трофических нарушений нет. Результатом операции пациент доволен (Фиг.11, 12, 13, 14).

Источники информации

1. Бойчев Б. и др. Хирургия кисти и пальцев. София, 1971, стр.127-128.

2. Краснов А.Ф. и др. Ортопедия, травматология и протезирование. 1990, №7, стр.38-39.

3. Гришин И.Г., Азолов В.В., Водянов Н.М. Лечение повреждений кисти на этапах медицинской эвакуации. М., Медицина 1985, стр.172-174.

Формула изобретения

Способ формирования первого луча кисти костной и кожной пластикой, отличающийся тем, что производят тыльно-боковой разрез по лучевому краю кисти, формируют туннель в дистальном направлении от культи первой пястной кости до уровня второго пястно-фалангового сустава, погружают костный трансплантат в туннель, соединяют трансплантат с культей первой пястной кости, фиксируют их спицами, после полного срастания трансплантата с культей первой пястной кости проводят дистракционное устранение приводящей контрактуры первого луча аппаратом, выполняют операцию по формированию первого пальца кисти.

РИСУНКИ


MM4A – Досрочное прекращение действия патента СССР или патента Российской Федерации на изобретение из-за неуплаты в установленный срок пошлины за поддержание патента в силе

Дата прекращения действия патента: 07.07.2007

Извещение опубликовано: 20.02.2009 БИ: 05/2009


Categories: BD_2300000-2300999