|
|
(21), (22) Заявка: 2005117532/14, 07.06.2005
(24) Дата начала отсчета срока действия патента:
07.06.2005
(43) Дата публикации заявки: 20.12.2006
(46) Опубликовано: 27.04.2007
(56) Список документов, цитированных в отчете о поиске:
ЛИНДЕНБРАТТЕН Л. Д. и др. Медицинская радиология. – М.: Медицина, 2000, с.322-330. SU 1708306 A1, 30.01.1992. МАИСТРЕНКО Н.А. и др. Гепатобилиарная хирургия, 2000, СПЕЦЛИТ, с.17-38. ПЫКОВ М.И. и др. Ультразвуковая диагностика кавернозной трансформации воротной вены у новорожденных детей. – Вестник рентгенологии и радиологии, 1995, №4, с.36-38.
Адрес для переписки:
634009, г.Томск, пер. Кооперативный, 5, ГУ НИИ онкологии ТНЦ СО РАМН
|
(72) Автор(ы):
Самцов Евгений Николаевич (RU), Баюсова Татьяна Валерьевна (RU)
(73) Патентообладатель(и):
Государственное учреждение научно-исследовательский институт онкологии Томского научного центра Сибирского отделения Российской академии медицинских наук (RU)
|
(54) СПОСОБ КОМПЬЮТЕРНО-ТОМОГРАФИЧЕСКОЙ ДИАГНОСТИКИ АНОМАЛИЙ РАЗВИТИЯ ПЕЧЕНИ
(57) Реферат:
Изобретение относится к медицине и предназначено для компьютерно-томографической диагностики аномалий развития печени. Высчитывают коэффициент изменения объема паренхимы печени (К) по формуле. Определяют форму сегмента и при значении коэффициента К=1,0-0,75 и сохраненной форме сегмента определяют объем сегмента соответствующим норме. При значении коэффициента К=0,74-0,5 и сохраненной форме сегмента определяют объем сегмента как вариант нормы. При значении коэффициента К=0,49-0,33 и сохраненной форме сегмента определяют уменьшение объема сегмента, соответствующее гипоплазии 1 степени. При значении коэффициента К=0,32-0,16 и форме сегмента, приближающейся к овальной, определяют уменьшение объема сегмента, соответствующее гипоплазии 2 степени. При значении коэффициента К=0,15-0,01, округлой форме сегмента и отсутствии визуализации сегментарной ветви воротной вены определяют уменьшение объема сегмента, соответствующее гипоплазии 3 степени. При значении коэффициента К=0 определяют аплазию сегмента. Способ позволяет объективизировать и диагностировать аномалии развития печени. 2 табл., 6 ил.
Изобретение относится к области медицины, конкретно к рентгенологии, и может быть использовано для диагностики аномалий развития печени, связанных с уменьшением ее объема.
Варианты строения, положения печени в норме и при аномалиях развития паренхимы и желчных путей многообразны. Большинство из них относятся к числу безопасных вариантов, не оказывающих существенного влияния на функцию органа, состояние больных обычно благоприятное, жалобы отсутствуют, они нормально физически развиты и доживают до глубокой старости [1, 2].
Большинство авторов единодушно считают, что аномалии развития печени встречаются чрезвычайно редко. По данным аутопсии аномалии развития печени составляют 0,3% от всего количества вскрытии [3-6].
Известно, что большое разнообразие формы печени приводит к довольно значительным изменениям ее линейных размеров, что может привести к ложной информации относительно размеров органа в целом и отдельных сегментов в частности. При этом для оценки размеров печени предлагается измерять не только линейные размеры, но и углы, образованные левой и правой долей, а так же индекс хвостатой доли [7, 8].
Также известно, что более объективным критерием размеров печени является объем, выраженный в кубических сантиметрах [9].
В доступной литературе отсутствуют работы, посвященные компьютерно-томографической диагностике аномалий развития печени, связанных с уменьшением размера, что и послужило поводом для нашего исследования.
Задачей предлагаемого изобретения является разработка критериев оценки степени уменьшения объема сегментов печени при компьютерной томографии.
Поставленная задача достигается путем использования способа оценки объема печени, ее долей и сегментов, расчета коэффициента изменения объема паренхимы печени (К) по формуле:
, где:
Vфакт – имеющийся объем сегмента
Vдолж – объем данного сегмента в норме,
определения формы сегмента, и при значении коэффициента К=1,0-0,75 и сохраненной форме сегмента определяют объем сегмента как соответствующий норме, при значении коэффициента К=0,74-0,5 и сохраненной форме сегмента определяют объем сегмента как вариант нормы, при значении коэффициента К=0,49-0,33 и сохраненной форме сегмента определяют уменьшение объема сегмента, соответствующее гипоплазии 1 степени, при значении коэффициента К=0,32-0,16 и форме сегмента, приближающейся к овальной, определяют уменьшение объема сегмента, соответствующее гипоплазии 2 степени, при значении коэффициента К=0,15-0,01, округлой форме сегмента и отсутствии визуализации сегментарной ветви воротной вены при нативном исследовании определяют уменьшение объема сегмента, соответствующее гипоплазии 3 степени, при значении коэффициента К=0, то есть при отсутствии паренхимы и сегментарной ветви воротной вены определяют аплазию сегмента.
Значения коэффициента K=1,0-0,75 мы принимали за норму.
Значения коэффициента К=0,74-0,5 принимались нами как вариант развития, поскольку вариабельность объема сегментов печени в норме может достигать 15-35%. Форма сегментов во всех случаях была сохранена.
Гипоплазия сегмента или доли печени устанавливалась нами при значениях коэффициента К<0,5. При этом мы обратили внимание на то, что при значениях коэффициента К=0,49-0,33, объем сегмента был уменьшен более чем в 2 раза, но при этом форма сегмента в 87,4% наблюдений была сохранена, а его края во всех наблюдениях оставались острыми.
При значениях коэффициента К=0,32-0,16, поверхность печени во всех наблюдениях была деформирована, а краевые отделы уменьшенного в размерах сегмента были закруглены, придавая ему овальную или квадратную форму.
При значениях коэффициента К=0,15-0,01, отсутствии визуализации сегментарной ветви воротной вены отмечалась выраженная деформация поверхности печени, а форма уменьшенного в объеме сегмента приближалась к округлой.
При значении коэффициента, равном 0, имела место аплазия сегмента. Паренхима печени и сегментарная ветвь воротной вены в этих наблюдениях отсутствовали.
Суммируя все признаки, мы сочли возможным предложить следующую классификацию изменения объема сегментов печени (табл.1).
Таблица 1 Классификация аномалии развития сегментов печени, связанных с уменьшением объема |
| Степень изменения |
Значение коэффициента К |
Форма сегмента |
| Норма |
1,0-0,75 |
Сохранена |
| Вариант нормы |
0,74-0,5 |
Сохранена |
| Гипоплазия 1 ст |
0,49-0,33 |
Сохранена |
| Гипоплазия 2 ст |
0,32-0,16 |
Овальная |
| Гипоплазия 3 ст |
0,15-0,01 |
Округлая |
| Аплазия |
0 |
0 |
Исследование проводилось на компьютерных томографах “Somatom DR-H” и “Somatom Sensation-4” фирмы Siemens, в режиме последовательного сканирования с толщиной среза и шириной томографического шага равными 8 мм, в режиме спирального сканирования с толщиной среза 1-2,5 мм, pitch – 1,5.
Исследование начиналось от диафрагмальной поверхности печени и заканчивалось нижним полюсом висцеральной поверхности. Для усиления изображения сосудистых структур печени нативное исследование дополнялось болюсным контрастным усилением изображения путем внутривенного введения 100 мл омнипака со скоростью 3 мл в секунду.
Деление печени на сегменты проводили согласно классификации [10].
Для расчета объема сегмента печени на каждой из полученных томограмм намечали границы сегментов. При использовании программы “Volume” компьютерного томографа “Somatom Sensation-4” по нанесенным маркером опорным точкам очерчивали контуры выбранного для исследования сегмента. После завершения данной работы получали значение объема сегмента в кубических сантиметрах.
При подсчете объема на компьютерном томографе “Somatom DR-H” использовали программу “Stat irr”, которая подсчитывала площадь выделенного для исследования сегмента печени. Затем, используя формулу, получали объем каждого из сегментов.

где S – площадь томографического среза,
Н – величина томографического шага,
n – количество томографических срезов,
I – текущая величина от 1 до n.
Оценка объема паренхимы печени, ее долей и сегментов проведена в двух группах пациентов.
Первая группа состояла из 36 пациентов, в возрасте от 40 до 65 лет, не имеющих признаков очагового или диффузного поражения печени, обследующихся по поводу различной патологии органов брюшной полости.
Вторая группа состояла из 65 пациентов с различными вариантами аномалии развития печени. Средний возраст пациентов на момент исследования составил 57,4±17,6 лет.
При анализе данных, полученных в первой группе, нами были рассчитаны средние значения объема печени в целом, долей и отдельных сегментов.
Объем печени, определенный при компьютерно-томографическом исследовании, варьировал в довольно широких пределах от 1200 до 2000 см3. Наиболее низкие показатели объема печени отмечались у женщин астенического телосложения при декстрапетальном расположении органа, а наиболее высокие – у мужчин гиперстеников при синистрапетальном расположении печени. В среднем объем печени составил 1438,2±178,2 см3.
Средние значения объема правой доли печени составили 971,2±160,9 см3, левой доли – 467,0±71,2 см3. При этом удельный вес правой доли составил 67,5%, а левой – 32,5%.
Объем каждого из сегментов печени и их удельный вес представлены в таблице (табл.2).
Таблица 2 Объем, удельный вес и диаметр питающего сосуда сегментов печени. |
| Сегмент |
Объем см3 |
Удельный вес, % |
Диаметр сегментарной ветви воротной вены, см |
| S-1 |
19,9±6,1 |
1,4 |
0,26±0,03 |
| S-2 |
125,7±28,9 |
8,8 |
0,59±0,1 |
| S-3 |
132,3±68,5 |
9,2 |
0,61±0,2 |
| S-4 |
189,1±38,8 |
13,1 |
0,74±0,2 |
| S-5 |
245,7±74,5 |
17,1 |
0,64±0,1 |
| S-6 |
240,5±78,3 |
16,7 |
0,66±0,1 |
| S-7 |
241,7±97,6 |
16,9 |
0,62±0,1 |
| S-8 |
242,3±50,6 |
16,8 |
0,67±0,04 |
Анализ полученных данных показал, что объем сегментов постепенно возрастал пропорционально их порядковому номеру от 19,9±6,1 см3 в первом сегменте до 245,7±74,5 см3 в пятом. Объемы сегментов с пятого по восьмой существенно не различались и варьировали от 240,5±78,3 до 245,7±74,5 см3.
Диаметр сегментарных ветвей воротной вены также довольно значительно возрастал от 0,26±0,03 см в первом сегменте до 0,74±0,2 см в четвертом. В сегментах правой доли печени диаметр воротной вены изменялся незначительно от 0,64±0,1 см в пятом сегменте до 0,67±0,04 см в восьмом.
Диаметр правой печеночной вены был наибольшим и составил 1,02±0,04 см, диаметр левой – 0,76±0,03 см и средней – 0,68±0,03 см.
Различные варианты аномального строения печени при компьютерно-томографическом исследовании были диагностированы у 64 пациентов.
Аплазия левой доли печени диагностирована у 2 (3,1%) пациентов, аплазия правой доли – у 4 (6,2%). Аплазия доли характеризовалась отсутствием соответствующих ветвей воротной, печеночной вен и паренхимы печени. Объем имеющейся доли печени варьировал от 590,3 см3 до 1059,5 см3. Печень во всех наблюдениях располагалась в правом подреберье, имела округлую или овальную форму и закругленные края. При этом отмечалась зависимость формы печени от ее объема. Чем меньше были значения объема печени, тем более округлую форму она приобретала.
Аплазия отдельных сегментов правой доли печени диагностирована у 3 (4,6%) пациентов. Аплазия 6, 7 сегментов печени диагностирована в 2 наблюдениях, изолированная аплазия 6 сегмента – в 1. Отсутствие сегментарных ветвей воротной вены диагностировано во всех наблюдениях, отсутствие соответствующей ветви печеночной вены диагностировано в 2 наблюдениях, в одном, правая печеночная вена располагалась по заднему контуру печени. Во всех наблюдениях форма печени была изменена, а место отсутствующих сегментов было заполнено жировой клетчаткой. При этом отмечалось умеренное увеличение объема левой доли до 506,3 см3. Объем правой доли печени уменьшался до 480,7 см3, а диаметр правой воротной вены во всех наблюдениях не превышал 5 мм.
Гипоплазия сегментов печени диагностирована у 59 (90,7%) пациентов. Изолированная гипоплазия сегментов левой доли печени отмечена у 22 (33,8%) пациентов, правой доли – у 14 (21,5%). Сочетание гипоплазии сегментов печени левой и правой доли печени диагностировано у 23 (35,4%) пациентов.
Следует отметить, что изолированная гипоплазия сегментов правой доли печени, как правило, затрагивала оба этажа соответственно пятый и восьмой или шестой и седьмой сегменты. При этом уменьшение объема паренхимы сегментов было одинаково и соответствовало определенной степени гипоплазии для обоих сегментов. Гипоплазия 1 степени была выявлена у 4 (6,2%) пациентов, – 2 степени у 6 (9,2%), 3 степени – у 2 (3,1%).
При изолированной гипоплазии сегментов правой доли печени отмечалось нормопетальное расположение органа. Объем печени в целом во всех наблюдениях был меньше обычного и варьировал от 682,7 до 1326,2 см3. Форма печени была изменена, а поверхность деформирована.
Изолированная гипоплазия сегментов левой доли печени отличалась большим полиморфизмом изменений, который заключался в различных сочетаниях гипоплазии от первой степени до третьей.
При изолированной гипоплазии сегментов левой доли печени отмечалось декстрапетальное расположение органа. Объем печени в целом был меньше обычного и варьировал от 848 до 1171,1 см3. Форма печени была изменена, а поверхность деформирована.
При сочетании гипоплазии сегментов левой и правой доли печень имела декстрапетальное расположение и довольно выраженную деформацию поверхности. Деформация поверхности печени в 15 (23%) наблюдениях была обусловлена западением контура вследствие гипоплазии сегмента, а в 8 (12,3%) – сочетанием западения контура с локальными участками выбухания, обусловленными компенсаторной гиперплазией соседних сегментов. В этих наблюдениях выявленная нами закономерность вовлечения в процесс сегментов обоих этажей правой доли с одинаковой степенью гипоплазии сохранялась в большинстве случаев. В левой доле отмечался довольно выраженный полиморфизм в степени гипоплазии отдельных сегментов.
Несмотря на компенсаторное увеличение отдельных сегментов, общий объем печени во всех наблюдениях был небольшим и не достигал 1000 см3.
У 15 пациентов для исключения цирроза печени была проведена сцинтиграфия печени с 99mTc – Технефитом. При исследовании было отмечено некоторое уменьшение размеров и деформация печени. Признаков цирроза печени не было получено ни в одном случае.
Таким образом, проведенное исследование позволило при помощи компьютерной томографии определить объем печени в целом, долей и отдельных ее сегментов, диаметр питающего сосуда.
На основании полученных данных впервые были сформированы критерии, совокупность которых позволила разработать классификацию степени гипоплазии сегментов печени.
Знание вышеизложенных закономерностей позволяет на основании изменения положения, формы и объема печени в целом и отдельных ее сегментов уверенно диагностировать аномалии развития печени, связанные с уменьшением объема. Дооперационная диагностика аномалий развития печени позволит определить оптимальную тактику оперативного вмешательства, а также оценить регенераторную способность оставляемой части печени.
Пример 1. Норма.
Больная Шипунова Т.О. 42 лет, обследовалась по поводу кисты правой почки. При компьютерно-томографическом исследовании отмечено нормопетальное положение печени, поверхность печени гладкая, край левой доли острый. Структура паренхимы однородная, плотность 64 HU. Общий объем печени составил 1451,7 см3. Диаметр сегментарной ветви второго сегмента печени составил 0,51 см. Объем второго составил 124,9 см3, а коэффициент К=0,99, что является нормой (фиг.1).
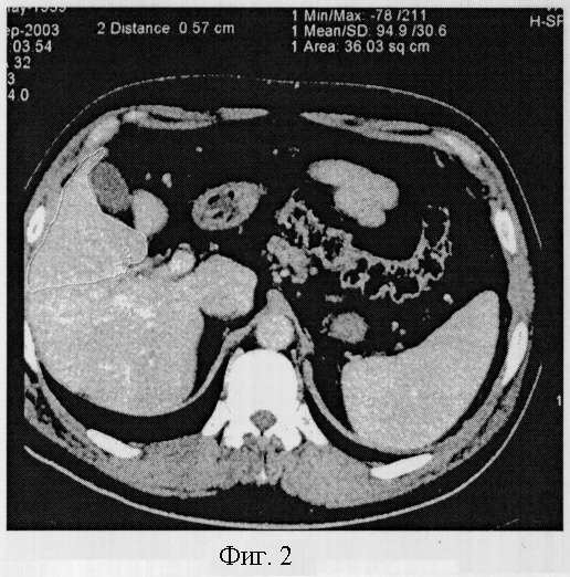
Пример 2. Вариант развития (норма).
Больной Яковлев М.Ф. 46 лет обследовался по поводу подозрения на объемное образование левого надпочечника. При компьютерно-томографическом исследовании печень расположена нормопетально, поверхность печени гладкая, край левой доли острый. Структура паренхимы однородная, плотность 68 HU. Общий объем печени составил 1379,4 см3. Диаметр сегментарной ветви пятого сегмента печени составил 0,57 см, объем пятого сегмента – 171,9 см3, форма сегмента была сохранена, а коэффициент К=0,73, что было принято нами за вариант развития (фиг.2).
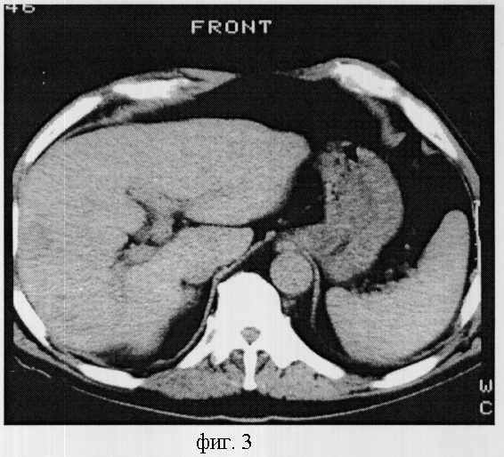
Пример 3. Гипоплазия 1 степени.
Больной Брахнов В.И. 70 лет, проходил обследование по поводу кисты левой почки. При компьютерно-томографическом исследовании печень расположена нормопетально, поверхность печени гладкая, край левой доли закруглен, а задняя поверхность правой доли умеренно деформирована. Структура паренхимы однородная, плотность 70 HU. Общий объем печени составил 1330,0 см3. При этом объем правой доли был меньше обычного и составлял 516,9 см3. Изменение объема правой доли обусловлено уменьшением объема 6 и 7 сегментов, объем которых равнялся 87,1 и 85,3 см3, соответственно, а коэффициент К=0,36 и 0,35, что соответствовало гипоплазии 1 степени. Форма сегмента сохранена, а диаметр сегментарных ветвей шестого и седьмого сегментов изменен незначительно и был равен 0,5 см (фиг.3).
Пример 4. Гипоплазия 2 степени.
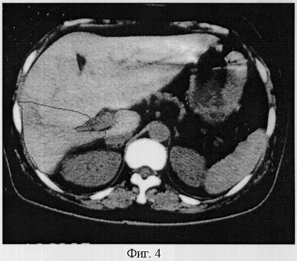
Больная Головач Л.И. 54 лет, направлена компьютерно-томографическое обследование с подозрением на опухоль печени. При исследовании отмечается некоторое увеличение объема печени, преимущественно за счет левой доли. Объем печени составил 1584,3 см3, объем правой доли – 295,8 см3. Печень расположена нормопетально, поверхность печени гладкая, контур в области расположения 6 и 7 сегментов деформирован. Структура паренхимы однородная, плотность 63 HU. Изменение объема правой доли обусловлено уменьшением объема 5-8 сегментов, объем которых варьировал от 69,3 до 71,6 см3, а коэффициент К=0,29 и 0,28, что соответствовало гипоплазии 2 степени. Диаметр сегментарных ветвей правой доли был уменьшен неравномерно и варьировал от 0,51 в восьмом сегменте до 0,49 в пятом (фиг.4).
Пример 5. Гипоплазия 3 степени.
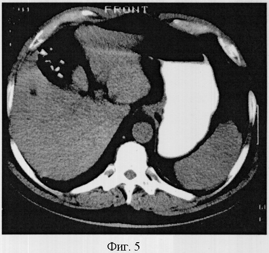
Больная Нестеров К.И. 65 лет, проходила обследование по поводу рака желудка. При исследовании отмечается незначительное уменьшение объема печени до 1029,2 см3. Объем левой доли значительно уменьшен и составил 220,6 см. Печень расположена нормопетально, поверхность ее деформирована за счет отсутствия большей части паренхимы четвертого сегмента. Сегментарная ветвь воротной вены при нативном исследовании не визуализируется. Структура паренхимы однородная, плотность 63 HU. Объем четвертого сегмента печени составил 26,2 см3, а коэффициент К=0,14, что соответствовало гипоплазии 3 степени (фиг.5).
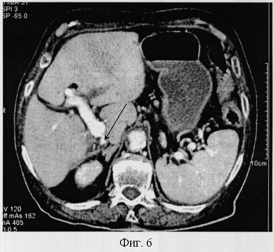
Пример 6. Аплазия правой доли.
Больная Кибицская А.М. 86 лет обследовалась по поводу острого живота. При проведении компьютерно-томографического исследования обращает на себя внимание декстрапетальное расположение печени. Форма печени овальная, края закруглены. Общий объем печени составлял 1216,4 см3 и полностью относился к левой доле. Объем сегментов левой доли, за исключением первого, значительно увеличен и составил 14,2; 327,3; 494,1; 380,8 см3, соответственно номеру сегмента. Паренхима правой доли печени отсутствует. При венозной фазе контрастирования отчетливо определяется культя правой ветви воротной вены.
Отсутствие правой ветви воротной вены и паренхимы правой доли печени позволило диагностировать аплазию правой доли печени и гиперплазию сегментов левой доли печени (фиг.6).
Источники информации
1. Клиническая рентгенорадиология (руководство). Т.2: Рентгенодиагностика заболеваний органов пищеварения. / Под ред. Г.А.Задгенидзе. (АМН СССР. – М.: Медицина. – 1983. – 424 с.
2. Белоконь Н.А., Подзолков В.П. Врожденные пороки сердца. М.: Медицина. – 1990. – С.313-314.
3. Анатомия человека / Под ред. Сапина М.Р. 2-е изд., перераб. и доп. T.1. М.: Медицина. – 1991. – С.466.
4. Рентгенодиагностика в педиатрии. Руководство для врачей. Т.2. / Под ред. В.Ф.Баклановой, М.А.Филлипкина. – М.: Медицина. – 1988. – 448 с.
6. Калитеевский П.Ф. Макроскопическая дифференциальная диагностика патологических процессов. – М.: Медицина, 1987. – С.224-225
7. Пулик А.В., Иванов Н.В., Баев А.А. и др. Методика анализа КТ и МРТ изображений. / CD BOOK “ПО ВИДАР” М.: 2000.
8. Клиническое руководство по ультразвуковой диагностике в педиатрии / Под редакцией Пыкова М.И., Ватолина К.В. – М.: Видар, 1998. – 376 с.
9. Кармазановский Г.Г, Вилявин М.Ю., Никитаев Н.С.Компьютерная томография печени и желчных путей. – ПАГАНЕЛЬ-БУК, Москва, 1997, 358 С.
10. Couinaud С.Le foie. Etudes anatomiques et chirurgi-cales. Paris: Masson, 1957.
Формула изобретения
Способ компьютерно-томографической диагностики аномалий развития печени путем оценки объема печени, ее долей и сегментов, отличающийся тем, что рассчитывают коэффициент изменения объема паренхимы печени (К) по формуле
,
где Vфакт – имеющийся объем сегмента,
Vдолж – объем данного сегмента в норме,
определяют форму сегмента, и при значении коэффициента К=1,0-0,75 и сохраненной форме сегмента определяют объем сегмента соответствующим норме, при значении коэффициента К=0,74-0,5 и сохраненной форме сегмента определяют объем сегмента как вариант нормы, при значении коэффициента К=0,49-0,33 и сохраненной форме сегмента определяют уменьшение объема сегмента, соответствующее гипоплазии 1 степени, при значении коэффициента К=0,32-0,16 и форме сегмента, приближающейся к овальной, определяют уменьшение объема сегмента, соответствующее гипоплазии 2 степени, при значении коэффициента К=0,15-0,01, округлой форме сегмента и отсутствии визуализации сегментарной ветви воротной вены определяют уменьшение объема сегмента, соответствующее гипоплазии 3 степени, при значении коэффициента К=0, т.е. при отсутствии паренхимы и сегментарной ветви воротной вены определяют аплазию сегмента.
РИСУНКИ
MM4A – Досрочное прекращение действия патента СССР или патента Российской Федерации на изобретение из-за неуплаты в установленный срок пошлины за поддержание патента в силе
Дата прекращения действия патента: 08.06.2007
Извещение опубликовано: 27.01.2009 БИ: 03/2009
|
|