|
|
(21), (22) Заявка: 2003103093/14, 12.09.2001
(24) Дата начала отсчета срока действия патента:
12.09.2001
(30) Конвенционный приоритет:
13.09.2000 (пп.1-8) NO 20004561
(43) Дата публикации заявки: 20.08.2004
(46) Опубликовано: 20.04.2007
(56) Список документов, цитированных в отчете о поиске:
WO 9935508 A1, 15.07.1999. WO 9924080 Al, 20.05.1999. MOLLER HE et al, Magnetic resonance angiography with hyperpolarized 129Xe dissolved in a lipid emulsion, Magn Reson Med, 1999 May; №41(5), p.1058-64.
(85) Дата перевода заявки PCT на национальную фазу:
14.04.2003
(86) Заявка PCT:
GB 01/04085 (12.09.2001)
(87) Публикация PCT:
WO 02/23209 (21.03.2002)
Адрес для переписки:
191036, Санкт-Петербург, а/я 24, “НЕВИНПАТ”, пат.пов. А.В.Поликарпову
|
(72) Автор(ы):
ПЕТЕРССОН Стефан (SE), ЛЕЙНБАХ Иб (SE), МАНССОН Свен (SE), АКСЕЛЬССОН Оскар (SE), ТАНИНГ Миккель (SE), АНДЕРССОН Свен (SE)
(73) Патентообладатель(и):
Джи-И Хелткер АС (NO)
|
(54) СПОСОБ МРВ, ВКЛЮЧАЮЩИЙ ИСПОЛЬЗОВАНИЕ ГИПЕРПОЛЯРИЗОВАННОГО КОНТРАСТНОГО АГЕНТА
(57) Реферат:
Изобретение относится к диагностике и предназначено для магнитно-резонансной визуализации с улучшенным контрастом артерий. Вводят гиперполяризованный МР контрастный агент, содержащий ядра 13С с ненулевым ядерным спином в сосуд. Осуществляют воздействие на сосуд излучением с частотой, выбранной таким образом, чтобы возбудить ядерно-спиновые переходы в указанных ядрах с ненулевым ядерным спином. Детектируют МР сигналы с использованием последовательности множественных отражений. Получают изображения, спектроскопические данные, данные по динамике течения, данные о перфузии и/или данные об объеме крови из указанных детектируемых сигналов. Предлагаемый способ позволяет добиться изображений без фонового сигнала, повысить соотношение сигнал – шум, улучшить контрастность изображений сосудов. 7 з.п. ф-лы, 2 ил.
Изобретение относится к способам магнитно-резонансной визуализации (МРВ), в частности для использования в магнитно-резонансной ангиографии (МРА) и в исследованиях динамики жидкостей сосудистой системы, и к применению в них новых гиперполяризованных контрастных агентов.
Магнитно-резонансная визуализация является способом диагностики, который стал особенно привлекательным для врачей, поскольку он является неинвазивным и не предполагает воздействие на исследуемого пациента потенциально опасного излучения, такого как рентгеновское.
Интенсивность МР сигнала зависит от разности заселенностей состояний ядерного спина визуализирующих изображение ядер. Давно известно, что для получения эффективного контраста между МР изображениями различных типов тканей следует ввести в предмет исследования МР контрастные агенты (например парамагнитные частицы металла), которые влияют на времена релаксации в зонах, куда они введены или в которых они накапливаются.
МРА с улучшенным контрастом в настоящее время основана на введении парамагнитного контрастного агента, который сокращает времена релаксации атомов водорода, присутствующих в кровеносных сосудах. При использовании визуализирующей последовательности импульсов с короткими временами повторения (ВП) фон подавляется. Однако краткое время релаксации Т2 приводит к краткому времени обнаружения, высокой скорости обработки образца и пониженному соотношению сигнал-шум.
Ангиографию можно осуществить также путем использования способа “в потоке” без контрастного агента. Этот способ также зависит от применения последовательностей, использующих краткие времена повторения импульса для подавления стационарного спина, присутствующего в изображаемом объеме. Следовательно, это приведет к высокой скорости обработки образца и снижению соотношения сигнал-шум.
Как в МРА с улучшенным контрастом, так и в “проточном” способе для получения ангиограмм можно применять методику на основе программного обеспечения с использованием проекции максимальной интенсивности. Эти способы дают возможность получить проекции изображения, сходные с ангиограммами, полученными рентгеновским путем. Однако качество изображений, полученных с применением этого способа, требует высокого соотношения контраст – шум, достижение которого может быть затруднительно без вносящих искажение артефактов ввиду недостаточного подавления окружающих тканей.
Таким образом, в одном из аспектов данное изобретение относится к способу МРА, в котором устранены вышеупомянутые недостатки. Так, способы измерения МРА можно улучшить путем использования ex vivo поляризации ядерного спина и введения МР контрастных агентов с поляризованным ядерным спином. Эти агенты включают в своей структуре ядра, способные испускать МР сигналы в однородном магнитном поле (например, ядра 1H,13С, 15N, 19F, 29Si и 31P) и способные проявлять длительное время релаксации T1 и, предпочтительно, дополнительно – длительное время релаксации Т2.
Способы ех vivo имеют то преимущество, что они дают возможность избежать введения в исследуемый образец всего количества поляризующего агента или существенной его части, достигая, в то же время, желаемой поляризации ядерного спина в МР визуализирующем агенте. Таким образом, подобные способы в меньшей мере ограничены физиологическими факторами, такими как способность к введению, способность к биоразложению и токсичность агентов в способах in vivo.
При использовании гиперполяризованного МР контрастного агента фоновый сигнал может полностью отсутствовать, если ядра, по которым производится детектирование, не являются водородом. Таким образом, при получении ангиограмм возможно использовать не только последовательность импульсов с коротким временем релаксации. Вместо этого можно применять последовательности, позволяющие более эффективно использовать имеющуюся поляризацию, такие как последовательности с множественными отражениями (например, RARE, EPI, GREASE), последовательности с полностью сбалансированным градиентом (например, истинная FISP), последовательности со стационарным градиентом и методы линейного сканирования. Преимуществом данного изобретения является то, что упрощается извлечение информации о микропотоках.
Некоторыми преимуществами, которые дает данное изобретение для магнитно-резонансной ангиографии (МРА) при использовании гиперполяризованных контрастных агентов, являются следующие:
– изображения могут быть получены без какого-либо фонового сигнала;
– нет необходимости применять методы с последовательностью импульсов для подавления стационарных спинов;
– изображения в проекциях, показывающих кровеносные сосуды в произвольном направлении;
– высокое соотношение сигнал-шум, что позволяет проводить ангиографию коронарных сосудов; и
– из-за длительных значений времени релаксации Т1 можно улучшить изображение сосудов, удаленных от точки введения.
Были разработаны методы, которые включают ex vivo поляризацию ядерного спина контрастного агента, содержащего ядра с ненулевым ядерным спином (например 3He), до введения и измерения МР сигнала.
Было показано также, что можно осуществить гиперполяризацию ех vivo соединений, содержащих, например, 13С и 15N, чтобы получить пригодные для инъекции поляризованные контрастные агенты, например, путем переноса поляризации от инертного газа, путем “грубой силы”, динамической поляризацией ядра (ДПЯ) или параводородными методами (см., например, публикации данного заявителя WO 99/35508 и WO 99/24080, описания которых включены сюда путем ссылок). Некоторые из этих методов включают использование агентов переноса поляризации, которые определяются как любые агенты, пригодные для осуществления ех vivo поляризации МР контрастного агента.
Во всех аспектах данного изобретения можно применять любой пригодный способ гиперполяризации. В действительности, она не зависит от используемого способа гиперполяризации. Однако во многих ситуациях предпочтительными являются способы гиперполяризации с применением параводорода и динамической поляризации ядра.
После проведения стадии ex viva гиперполяризации агент переноса поляризации предпочтительно отделяют от композиции, включающей поляризованный МР контрастный агент. Затем поляризованный МР контрастный агент вводят в тело с применением любой подходящей системы доставки и инъектируют в пациента для ангиографического исследования и/или исследования динамики потоков в сосудистой системе.
Таким образом, данное изобретение относится в одном из аспектов к способу магнитно-резонансной визуализации с улучшенным контрастом образца, предпочтительно тела человека или животного, причем указанный способ включает:
а) введение, например путем инъекции, гиперполяризованного МР контрастного агента, включающего ядра с ненулевым ядерным спином, в указанный образец для ангиографических исследований,
б) воздействие на указанный образец или части указанного образца излучения с частотой, выбранной так, чтобы возбудить ядерно-спиновые переходы в указанных ядрах с ненулевым ядерным спином,
в) детектирование МР сигналов от указанного образца с применением любого пригодного способа действия, включая последовательности импульсов,
г) возможно, обеспечение осуществления последовательности импульсов и/или введения контрастного агента с регулированием по отношению к сердечному и/или дыхательному ритму тела,
д) возможно, получение изображения, спектроскопических данных, данных по динамике потоков или физиологических данных из указанных детектируемых сигналов.
В некоторых исследованиях и согласно предпочтительному аспекту данного изобретения с нулевым фоновым сигналом, ангиограммы можно получить, используя проекции исследуемых сосудов в желаемом направлении. Отсутствие фонового сигнала снижает риск артефактов “наложения фона”. Это может быть особенно полезным при проведении коронарной ангиографии, что представляет собой еще один предпочтительный аспект данного изобретения. Изображение слоя, по толщине равного сердцу, в любом данном направлении, можно использовать для получения проекции сердца в целом. Этот подход подобен способу осуществления рентгеновской ангиографии.
В обычных применяемых в настоящее время способах определения динамики потоков для исследования сосудистой системы, например для микропотоков (перфузии), эти методы основаны на регистрации снижения сигнала при прохождении болюса контрастного вещества или при использовании методов меток. В методах меток используют перетекание крови из области ввода метки в изображаемую область и измеряют изменение интенсивности сигнала в качестве основы для расчета карты перфузии. Такие методы позволяют получить карты перфузии и карты региональных церебральных объемов крови только с ограниченным соотношением сигнал-шум.
В случае обычных измерений скорости методы основаны на данных о фазе сигнала, и средой, где получают сигнал, является либо кровь, либо кровь, содержащая парамагнитную контрастную среду, например контрастный агент на основе Gd. Однако такое измерение скорости с применением фазовых методов является чувствительным к ошибке по фазе вследствие влияния окружающих тканей.
Если в способе, предложенном в данном изобретении, применяется гиперполяризованный МР контрастный агент, фоновый сигнал может полностью отсутствовать, если ядром детектирования не является водород. Таким образом, может оказаться возможным применение иных последовательностей импульсов, чем при коротких временах релаксации. Вместо этого можно использовать последовательности, в которых более эффективно используют имеющуюся поляризацию, например последовательности множественных отражений (RARE, EPI, GREASE), последовательности с полностью сбалансированным градиентом (например, истинная FISP), последовательности со стационарным градиентом и методы линейного сканирования. Преимуществом данного изобретения является то, что упрощается извлечение информации о микропотоках.
Таким образом, если рассматривать другой аспект, в изобретении предложено исследование динамики жидкостей сосудистой системы, при котором устранены вышеупомянутые недостатки. Предпочтительными являются способы измерений и/или получения количественных данных о потоках и микропотоках. Особенно предпочтительными являются методы получения данных о перфузии, скорости течения, профиле течения, карт перфузии в тканях и данных о региональных объемах крови, включая региональный церебральный объем крови.
Таким образом, данное изобретение относится в своем другом аспекте к способу магнитно-резонансной визуализации образца, предпочтительно тела человека или животного, с улучшенным контрастом, причем указанный способ включает:
а) введение, например путем инъекции, гиперполяризованного МР контрастного агента, содержащего ядра с ненулевым ядерным спином, в указанный образец для проведения исследований динамики жидкости в сосудистой системе;
б) воздействие на указанный образец или часть указанного образца излучением с частотой, выбранной таким образом, чтобы возбудить ядерно-спиновые переходы в указанных ядрах с ненулевым ядерным спином;
в) детектирование МР сигналов указанного образца с применением любого пригодного способа действия, включающего последовательность импульсов;
г) возможно, обеспечение осуществления последовательности импульсов и/или введения контрастного агента с регулированием по отношению к сердечному и/или дыхательному ритму тела;
д) возможно, получение по указанным зарегистрированным сигналам изображения, спектроскопических данных, данных о динамике потоков, данных о перфузии, данных об объеме крови и/или любых других необходимых физиологических данных из указанных детектируемых сигналов.
Согласно предпочтительному варианту выполнения данного изобретения конкретная используемая последовательность импульсов будет зависеть от скорости потока в типе сосудов, изображение которых должно быть получено. В некоторых ситуациях для изображения коронарных артерий предпочтительными являются быстрые однократные последовательности (например, EPI, RARE, GREASE, BURST, QUEST).
Любую диффузию молекулы гиперполяризованного контрастного агента можно измерить с применением метода, предложенного Stajskal и известного в стандартной литературе по ЯМР и МРВ как метод Stajskal-Tanner (ST). Последовательность ST действует путем дефазировки с последующей рефазировкой протонов с использованием двух импульсов с одинаковым градиентом, разделенных импульсом 180°. Эта последовательность импульсов градиент/rf может быть включена как предварительная стадия перед частью последовательности импульсов, непосредственно относящейся к получению данных. Несколько различных последовательностей импульсов (например, спиновое эхо, EPI, STEAM, RARE) были модифицированы так, чтобы включить ST-метод. В ходе применения ST-части диффузионной последовательности ЯМР-сигнал протонов ослабляется из-за T2 релаксации. Эффективное время отражения часто может достигать значений порядка 60 мс или более. Таким образом, влияние релаксации может быть сильным. Эта релаксация приводит к ослаблению сигнала и пониженному соотношению сигнал-шум. Если применяется гиперполяризованная контрастная среда с длительным T1/T2, ослабление сигнала будет меньше вследствие релаксации при использовании последовательности импульсов с длительным временем отражения.
Отсутствие фонового сигнала также упрощает расчет данных по микропотокам, таких как карты перфузии и карты регионального церебрального объема крови. Таким образом, этот метод является предпочтительным аспектом данного изобретения.
Вследствие длительного времени T1 релаксации гиперполяризованного контрастного агента можно наблюдать сосуды, расположенные далеко от точки инъекции, включая сосуды мозга и легких, и это является еще одним предпочтительным аспектом данного изобретения.
Как упоминалось ранее в качестве возможной стадии (стадия г) данного изобретения, и для того, чтобы оптимизировать область изображения, применяемую для ангиографии или для исследований динамики потоков сосудистой системы, осуществление последовательности импульсов и/или введение, например инъекции, гиперполяризованного контрастного агента, может быть необходимо осуществлять с регулированием по отношению к сердечному и/или дыхательному ритму пациента. Это регулирование также может применяться для того, чтобы удостовериться, что объем органа/изображаемый объем находится в одном и том же положении в ходе получения серии изображений. Стадию регулирования можно осуществить для того, чтобы изобразить исследуемый объем/орган перед прохождением (болюса) контрастной среды и в ходе него.
Во всех аспектах данного изобретения предпочтительно использовать метод метки или насыщения. Этот метод можно использовать для того, чтобы показать в конечном изображении только те гиперполяризованные спины, которые были введены в изображаемую область через конкретные сосуды или потоком данного направления. Его можно использовать также для того, чтобы удалить сигнал гиперполяризованных спинов в данной части изображаемого объема, например внутри сердца, если необходимо визуализировать коронарные артерии.
Методы меток и насыщения можно предпочтительно использовать при сборе данных по микропотокам/перфузии. Этот метод можно осуществить путем уничтожения всей гиперполяризации, используя импульс насыщения от объема, который должен быть исследован, и путем наблюдения притока, происходящего вследствие микропотоков. Затем проводят наблюдение, используя для получения изображения последовательность импульсов, селективных по объему. Любой приток в небольшой элемент объема (воксел, объемный элемент изображения) может также быть измерен с применением метода точечного сканирования. Проведенные измерения могут включать получение спектроскопической и/или физиологической информации для того, чтобы провести различие между разными типами тканей или/и скоростями потоков.
В другом предпочтительном аспекте данного изобретения можно получить “естественное изображение” тела (то есть изображение, полученное до введения гиперполяризованного МР контрастного агента, или изображение, полученное для введенного МР контрастного агента без предварительной поляризации, как в обычном МР эксперименте) для обеспечения структурной (например анатомической) информации, на которую может быть наложено изображение, полученное в способе согласно данному изобретению. “Естественное изображение” обычно нельзя получить, если визуализирующими ядрами являются 13С или 15N, из-за низкого содержания 13С и 15N в теле. В этом случае можно получить протонное МР изображение для того, чтобы обеспечить анатомическую информацию, на которую можно наложить 13С или 15N изображение, см., например, фиг.1 с приложенных чертежей.
Используя стандартные методы фазового контраста и/или внешнего градиента/вч (rf) импульса для осуществления кодирования информации о пространстве или перемещении, можно измерить скорость потоков. Также можно измерить профиль скорости потока с использованием последовательностей по плоскости.
Под “ангиографией” авторы подразумевают любое исследование, относящееся к любому ангиографическому сосуду, то есть артериям и капиллярной системе. В некоторых ситуациях измерения на венах также могут охватываться данным изобретением. Предпочтительный аспект данного изобретения обеспечивает МРА изображение артерий.
Под “сосудистой системой” авторы подразумевают любую систему сосудов, содержащих кровь, то есть артерий, вен и капилляров,
Под “гиперполяризованным” авторы подразумевают поляризованные до уровня свыше того, который имеется при комнатной температуре и 1 Тл, предпочтительно поляризованные до степени поляризации свыше 0,1%, предпочтительно свыше 1%, еще более предпочтительно свыше 10%.
Гиперполяризованный контрастный агент должен предпочтительно проявлять длительное время релаксации Т2, предпочтительно более чем 0,5 с, более предпочтительно – более чем 1 с, еще более предпочтительно – более чем 5 с.
Подходящие МР визуализирующие агенты согласно данному изобретению могут содержать такие ядра, как, например, 3Li, 13С, 15N, 19F, 29Si или 31Р, а также 1H, предпочтительно ядра 1Н, 13С, 15N, 19F и 31Р, причем особенно предпочтительными являются ядра 1H, 13С, 15N и 31Р. Наиболее предпочтительными являются ядра 13С.
Как отмечено выше, наиболее подходящими для использования в способе по данному изобретению являются ядра 1Н, 13С, 15N и 31P, причем наиболее предпочтительным является 13С. Ядра 1H обладают тем преимуществом, что они присутствуют в высокой концентрации при их природном содержании и имеют наивысшую чувствительность из всех ядер. Ядра 13С имеют то преимущество, что фоновый сигнал от гиперполяризованных ядер 13С является очень низким и намного ниже, чем, например, от ядер 1H. Ядра 19F имеют преимущество высокой чувствительности. Гиперполяризация контрастных агентов, содержащих ядра 31 Р, позволяет использовать эндогенные вещества.
Там, где МР визуализирующие ядра не являются протоном (например, 13С или 15N), практически отсутствует искажение от фоновых сигналов (например, считая, что природное содержание 13С и 15N пренебрежимо мало), и контраст изображения будет преимущественно высоким. Это особенно справедливо, если сам МР контрастный агент обогащен МР визуализирующими ядрами выше естественного уровня. Таким образом, способ согласно данному изобретению имеет то преимущество, что он способен обеспечить значительную пространственную взвешенность полученного изображения.
Предпочтительно, чтобы МР контрастный агент был искусственно обогащен ядрами, имеющими длительное время релаксации Т1 (например, ядрами 15N и/или 13С).
Длительное время релаксации Т1 некоторых ядер 13С и 15N является особенным преимуществом, и поэтому некоторые МР контрастные агенты, содержащие 13С или 15N, являются предпочтительными для использования в данном способе. Предпочтительно, если поляризованный МР контрастный агент имеет эффективную поляризацию ядра 13С более чем 0,1%, более предпочтительно – более чем 1,0%, еще более предпочтительно – более чем 10%, особенно предпочтительно – более чем 25%, чрезвычайно предпочтительно – более чем 50%, и окончательно наиболее предпочтительно – более чем 95%.
Предпочтительнее, чтобы МР контрастный агент был обогащен 13С в карбонильной группе или в положении четвертичного углерода, чтобы ядра 13С в карбонильной группе или в некоторых четвертичных углеродах могли обычно иметь время релаксации T1 более 2 с, предпочтительно более 5 с, особенно предпочтительно более 30 с. Предпочтительно обогащенные 13С соединения должны быть помечены дейтерием, особенно в положениях, прилегающих к ядру 13С. Предпочтительными обогащенными 13С соединениями являются те, в которых ядро 13С имеет в своем окружении одно или более неактивных при магнитном резонансе ядер, таких как О, S, С, либо двойная или тройная связь.
МР контрастные агенты для использования в способах согласно данному изобретению имеют формулу (I):

в которой каждый Х независимо представляет собой D, CD3, CD2OR’, SO3Н, SO2H, SO2NH2, CONR’2, CO2H и ОСНО,
где R1 независимо представляет собой Н или Me,
или две группы Х и атом С, с которым они связаны, образуют трехчленное кольцо

или четырехчленное кольцо

где Y представляет собой D или CD2OR1,
a Z представляет собой CD2, CD(CD2OR1) или О.
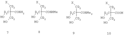
Приведенные ниже соединения 1-17 представляют собой конкретные примеры агентов, пригодных для использования в данном изобретении. Такие агенты являются водорастворимыми, нетоксичными, их легко синтезировать, и они имеют относительно длительные значения T1 в воде, например свыше 60 с.
Например, соединения 1 и 2, как обнаружено, имеют значения T1 95 с и 133 с, соответственно.
За исключением нижеприведенных соединений 1-3, которые известны из опубликованной патентной заявки № WO-A-99/35508 настоящего заявителя, эти агенты сами по себе являются новыми и образуют еще один аспект данного изобретения.
Примеры приведены ниже в виде соединений 4-17. Эти агенты могут быть обогащены 13С.
С точки зрения еще одного аспекта в данном изобретении предложен физиологически переносимый состав МР визуализирующего агента, содержащий МР визуализирующий агент совместно с одним или более физиологически переносимыми носителями или эксципиентами, причем этот МР визуализирующий агент выбран из одного из соединений вышеприведенной общей формулы (I), предпочтительно из нижеприведенных соединений под номерами 1-17, например, из нижеприведенных соединений под номерами 4-17.
С точки зрения следующего аспекта, в данном изобретении предлагается применение соединения вышеприведенной общей формулы (I), предпочтительно нижеприведенного соединения под номером 1-17, например, нижеприведенного соединения 4-17, в способе согласно данному изобретению.
С точки зрения еще одного аспекта, в данном изобретении предложено применение вышеприведенного соединения общей формулы (I), предпочтительно соединения, приведенного ниже под номерами 1-17, например, нижеприведенного соединения 4-17, для изготовления МР визуализирующего агента для применения в методе диагностики, включающем получение МР изображения путем МР визуализации человека или другого существа.





МР контрастный агент, конечно, должен быть физиологически переносимым или должен давать возможность получения его в физиологически переносимой, пригодной для введения форме с обычными фармацевтическими или ветеринарными носителями или эксципиентами. Предпочтительные МР контрастные агенты растворимы в водных средах (например, воде) и, конечно, являются нетоксичными.
Состав, который предпочтительно должен быть изотоническим, можно обычно вводить при концентрации, достаточной, чтобы получить концентрацию МР контрастного агента в изображаемой зоне от 1 микромолярной до 10 М;
однако точная концентрация и дозировка, конечно, будут зависеть от ряда факторов, таких как токсичность и способ введения.
Формы, способные к парентеральному введению, конечно, должны быть стерильными и не содержать физиологически неприемлемых агентов, и должны иметь низкую осмоляльность, чтобы свести к минимуму раздражение или другие отрицательные эффекты при введении, и, таким образом, этот состав должен предпочтительно быть изотоническим или слабо гипертоническим.
Может быть удобно осуществлять введение одновременно в нескольких местах, чтобы можно было визуализировать более значительную часть сосудистой системы до того, как поляризация исчезнет из-за релаксации.
Дозировка МР контрастного агента, применяемого в соответствии со способом согласно данному изобретению, будет изменяться в зависимости от точной природы применяемых МР контрастных агентов и от измерительной аппаратуры. Предпочтительно дозировка должна сохраняться как можно более низкой, но чтобы при этом еще достигался эффект контраста, который можно зарегистрировать. В общем, максимальная дозировка будет зависеть от ограничений по токсичности.
После поляризации гиперполяризованный МР контрастный агент можно сохранять при низкой температуре, например в замороженном виде. Вообще говоря, при низкой температуре поляризация удерживается дольше и, таким образом, поляризованные контрастные агенты можно удобным образом хранить, например, в жидком азоте. Перед введением МР контрастный агент можно быстро нагреть до физиологической температуры с применением обычных методов, таких как инфракрасное или микроволновое излучение.
Содержание всех публикаций, на которые здесь ссылаются, включено сюда путем ссылок.
Далее описываются варианты выполнения данного изобретения со ссылкой на следующие, не ограничивающие изобретение примеры и сопровождающие их чертежи.
Пример 1.
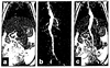
Способ параводородного переноса поляризации, как описано в WO 99/24080 (Nycomed Imaging AS), с использованием катализатора (PPh3)PhCl, был осуществлен с применением диметилового эфира малеиновой кислоты, меченного 13С в карбонильной группе (см. фиг.2). После поляризации поляризованное соединение было введено в качестве контрастной среды в вену хвоста крысы.
Концентрация и поляризация ядер 13С в болюсе, который был введен в крысу, составляли 150 мМ и приблизительно 0,3%, соответственно, и была осуществлена визуализация (см. фиг.1).
Изображения, показанные на фиг.1, были получены с применением сканера для животных BioMed, работающего при 2,4 Тл. Изображение, приведенное на фиг.1а, является протонным изображением и было получено с использованием стандартной последовательности импульсов спинового эха и без применения какой-либо контрастной среды. Параметры последовательности импульсов были следующими: TR/TE/d=3,3 мс/1,4 мс/ 5°, общее время сканирования 4:23 мин. Затем была получена доза гиперполяризованной контрастной среды. Резонансная частота была изменена на частоту, необходимую для осуществления визуализации 13C-изображения, и была проведена однократная RARE последовательность. Полное время сканирования составило 0,9 с, примененное время взаимного отражения (эха) составило 28 мс, а размер матрицы был 128×32. Полученное изображение приведено на фиг.1б. Ясно продемонстрировано полное отсутствие фонового сигнала. Это изображение было получено в виде проекции прямо через все животное, что демонстрирует возможность получения ангиограмм таким же образом, как при использовании рентгеновских лучей. На фиг.1в показано наложение 13С-изображения на водородное изображение.
Формула изобретения
1. Способ магнитно-резонансной визуализации с улучшенным контрастом артерий в образце, включающий:
а) введение гиперполяризованного МР контрастного агента, содержащего ядра 13С с ненулевым ядерным спином, в указанный образец для исследования динамики жидкостей сосудистой системы,
б) воздействие на указанный образец или на часть образца излучения с частотой, выбранной таким образом, чтобы возбудить ядерно-спиновые переходы в указанных ядрах с ненулевым ядерным спином,
в) детектирование МР сигналов от указанного образца с использованием последовательности множественных отражений,
г) получение изображения, спектроскопических данных, данных по динамике течения, данных о перфузии и/или данных об объеме крови из указанных детектируемых сигналов.
2. Способ по п.1, в котором выполнение последовательности импульсов и/или введения контрастного агента осуществляют с регулированием по отношению к сердечному и/или дыхательному ритму тела.
3. Способ по п.1 или 2, в котором указанные данные получают с применением метода Stejskal – Tanner.
4. Способ по любому из пп.1-3, дополнительно включающий использование метода меток или насыщения.
5. Способ по п.1, в котором МР контрастный агент имеет эффективную поляризацию ядра 13С более чем 1%, предпочтительно более чем 95%.
6. Способ по п.5, в котором МР контрастный агент обогащен 13С в карбонильной группе или в положении четвертичного углерода.
7. Способ по п.6, в котором указанное соединение, обогащенное 13С мечено дейтерием, примыкающим к указанному ядру 13С.
8. Способ по любому из пп.5-7, в котором указанные ядра 13С окружены одним или более неактивными ядрами или фрагментами, выбранными из группы, состоящей из О, S, С, либо двойной или тройной связи.
РИСУНКИ
MM4A – Досрочное прекращение действия патента СССР или патента Российской Федерации на изобретение из-за неуплаты в установленный срок пошлины за поддержание патента в силе
Дата прекращения действия патента: 13.09.2008
Извещение опубликовано: 20.07.2010 БИ: 20/2010
|
|