|
|
(21), (22) Заявка: 2005117256/03, 06.06.2005
(24) Дата начала отсчета срока действия патента:
06.06.2005
(46) Опубликовано: 27.01.2007
(56) Список документов, цитированных в отчете о поиске:
RU 2165009 C1, 10.04.2001. SU 746090 A1, 05.07.1980. RU 2208591 C1, 20.07.2003. RU 2180894 C1, 27.03.2002. SU 1096233 A1, 07.06.1984. US 4564448 А, 14.01.1986. WO 9411075 A1, 26.05.1994.
Адрес для переписки:
614065, г.Пермь, ш. Космонавтов, 395, ЗАО “Новомет-Пермь”, А.И. Рабиновичу
|
(72) Автор(ы):
Данченко Юрий Валентинович (RU), Дорогокупец Геннадий Леонидович (RU), Иванов Олег Евгеньевич (RU), Куприн Павел Борисович (RU), Кулаков Сергей Васильевич (RU), Маслов Владимир Николаевич (RU), Мельников Михаил Юрьевич (RU), Перельман Олег Михайлович (RU), Рабинович Александр Исаакович (RU)
(73) Патентообладатель(и):
Рабинович Александр Исаакович (RU)
|
(54) УСТРОЙСТВО ДЛЯ ОБРАБОТКИ СКВАЖИННОЙ ЖИДКОСТИ
(57) Реферат:
Изобретение относится к нефтедобывающей промышленности, в частности к устройствам для подачи химических реагентов в скважины для предотвращения отложения солей и парафинов в электроцентробежных насосах и насосно-компрессорных трубах. Обеспечивает повышения равномерности дозирования твердого реагента в поток откачиваемой скважинной жидкости при разных условиях эксплуатации нефтедобывающих скважин. Сущность изобретения: устройство включает корпус с отверстиями, соединенный верхним концом с насосно-компрессорной трубой и содержащий твердый реагент, размещенный с возможностью движения потока скважинной жидкости. Согласно изобретению твердый реагент помещен в высокопроницаемую пенометаллическую оболочку, которая образует зазор с корпусом и имеет трехмерную сетчато-ячеистую структуру с размером ячеек 2-5 мм и удельную площадь поверхности 500-1400 м2/м3, а насосно-компрессорная труба снабжена самоуплотняющимися эластичными манжетами, при этом отверстия выполнены на нижнем конце корпуса, а также на участке насосно-компрессорной трубы выше манжет, причем отверстия на корпусе имеют суммарную площадь, соизмеримую с площадью отверстий на насосно-компрессорной трубе и площадью проходного сечения последней, 3 з.п. ф-лы, 2 ил.
Изобретение относится к нефтедобывающей промышленности, в частности к устройствам для подачи химических реагентов в скважины для предотвращения отложения солей и парафинов в электроцентробежных насосах и насосно-компрессорных трубах.
Известно устройство для подачи твердого реагента в скважину, содержащее модуль, по меньшей мере из двух секций, выполненных в виде полых цилиндрических корпусов с равномерно распределенными радиальными каналами, гидравлически связанными со скважиной. В секциях размещается твердый реагент одного или разных видов. Секции соединены между собой по торцам посредством соединительной муфты и сообщены друг с другом через отверстия в перфорированном основании, при этом свободный торец устройства перекрыт перфорированной заглушкой. В зависимости от вида твердого реагента, дебита скважины и обводненности пластовой жидкости соотношение суммы площадей поперечного сечения радиальных каналов, размещенных на 1 м длины секции, к площади поперечного сечения секции выполнено равным 0,2-3 (патент РФ № 2227206, кл. Е 21 В 37/06, 2002).
Недостатком устройства являются большие габариты и вес, обусловленные размещением разноименных твердых реагентов в отдельных секциях для их автономного растворения друг от друга, хотя фактически при работе устройства происходит неконтролируемое смешивание растворенных в отдельных секциях реагентов и эффект от автономного растворения не реализуется.
Известное устройство не обеспечивает рациональный расход реагента в скважинах с повышенной температурой пластовой жидкости, так как при укладке твердых реагентов цилиндрической формы друг на друга нагрузка от веса верхних цилиндров на нижние может привести к потере устойчивости последних, смятию и вытеканию реагента через радиальные отверстия в скважину.
Наиболее близким к предлагаемому по технической сущности является устройство для обработки скважинной жидкости, корпус которого выполнен в виде патрубка, соединенного с башмаком лифтовых труб и имеющего в верхней части радиальные каналы с площадью сечения не менее площади сечения лифтовых труб. В патрубке ниже радиальных каналов размещен твердый реагент, выполненный с открытой пористостью для прохода через него и верхний конец патрубка восходящего потока скважинной жидкости (патент РФ № 2165009, кл. Е 21 В 37/06, 1999).
Недостатком такого устройства является неравномерное растворение твердых реагентов: по мере работы устройства поровое пространство твердого пористого реагента постепенно засоряется механическими примесями, содержащимися в потоке пластовой жидкости, и скорость растворения уменьшается.
Настоящее изобретение решает задачу повышения равномерности дозирования твердого реагента в поток откачиваемой скважинной жидкости при разных условиях эксплуатации нефтедобывающих скважин.
Указанная цель достигается тем, что в устройстве для обработки скважинной жидкости, включающем корпус с отверстиями, соединенный верхним концом с насосно-компрессорной трубой и содержащий твердый реагент, размещенный с возможностью движения потока скважинной жидкости, согласно изобретению твердый реагент помещен в высокопроницаемую пенометаллическую оболочку, которая образует зазор с корпусом и имеет трехмерную сетчато-ячеистую структуру с размером ячеек 2-5 мм и удельную площадь поверхности 500-1400 м2/м3, а насосно-компрессорная труба снабжена самоуплотняющимися эластичными манжетами, при этом отверстия выполнены на нижнем конце корпуса и на участке насосно-компрессорной трубы выше манжет, причем отверстия на корпусе имеют суммарную площадь, соизмеримую с площадью отверстий на насосно-компрессорной трубе и площадью проходного сечения последней.
Корпус целесообразно выполнять из немагнитных материалов, например стеклопластика или нержавеющей стали.
Для улучшения обработки скважинной жидкости в высокопроницаемой пенометаллической оболочке особым образом могут быть установлены точечные постоянные магниты, толщина которых не превышает толщину оболочки. В этом исполнении максимальный эффект магнитной обработки может быть достигнут при выполнении оболочки из магнитомягкого материала, например пеноникеля.
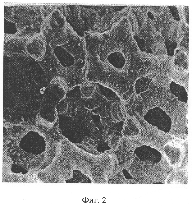
Размещение твердого реагента внутри высокопроницаемой пенометаллической оболочки способствует его равномерному и дозированному растворению скважинной жидкостью за счет того, что реагент гидравлически связан с зазором, по которому движется в корпусе скважинная жидкость, через высокопроницаемую оболочку, имеющую трехмерную сетчато-ячеистую структуру с дискретно изменяющимся размером ячеек от 2 до 5 мм и большую удельную площадь поверхности 500-1400 м2/м3. Размер ячейки высокопроницаемой пенометаллической оболочки подбирается с учетом вязкости и обводненности скважинной жидкости, а также условий эксплуатации скважины. Обладающая высокими механическими свойствами пенометаллическая оболочка предотвращает ползучесть твердого реагента, смятие его под действием собственного веса при повышенных температурах и вытекание через отверстия в корпусе.
Выполнение высокопроницаемой пенометаллической оболочки из магнитомягкого материала, например пеноникеля, обеспечивает возможность придания ей магнитных свойств посредством размещения в ней точечных постоянных магнитов, что позволяет совмещать растворение твердого реагента с магнитной обработкой жидкости.
Снабжение насосно-компрессорной трубы самоуплотняющимися эластичными манжетами и расположенными над ними отверстиями, когда другие отверстия находятся внизу корпуса, позволяет организовать в устройстве оптимальную с точки зрения равномерности растворения твердого реагента траекторию движения скважинной жидкости – снизу вверх через все устройство.
Изготовление корпуса из стеклопластика или из нержавеющей стали снижает его вес в 2-3 раза при сохранении высокой механической прочности, что существенно снижает нагрузку на НТК, несмотря на введение нового конструктивного элемента в виде пенометаллической оболочки для твердого реагента. При варианте с размещением в пенометаллической оболочке постоянных магнитов применение корпуса из стеклопластика или нержавеющей стали позволяет предотвратить шунтирование магнитных полей, чем обеспечивается более эффективная магнитная обработка скважинной жидкости.
Предлагаемое устройство иллюстрируется чертежами, где на фиг.1 показан общий вид устройства, на фиг.2 – макроструктура высокопроницаемой пенометаллической оболочки.
Устройство состоит из корпуса 1 с отверстиями 2, внутри которого помещен твердый реагент (ингибитор) 3 в пенометаллической оболочке 4, образующий кольцевой зазор 5 с корпусом 1. В данном устройстве могут использоваться любые ингибиторы солеотложений твердые, применяемые для предотвращения отложений солей и коррозии в насосно-компрессорных трубах, которые растворяются в скважинной жидкости, например, ингибиторы таких составов, как: 1) нитрилметилфосфоновая кислота (35±5) мас.% и битум нефтяной строительный остальное; 2) оксиэтилендифосфоновая кислота (35±5) мас.% и битум БН 70/30 остальное.
В пенометаллической оболочке 4 на равном расстоянии друг от друга по ее окружности и длине установлены точечные магниты 6 с меняющейся полярностью при переходе от одного ряда магнитов к другому. Верхний конец корпуса 1 соединен с насосно-компрессорной трубой 7, на которой размещены самоуплотняющиеся эластичные манжеты 9, выше которых выполнены отверстия 8.
Устройство для обработки скважинной жидкости работает следующим образом.
Устройство, присоединенное с помощью насосно-компрессорной трубы 7 к основанию погружного электродвигателя (не показан), спускается в составе установки электроцентробежного насоса (УЭЦН) в скважину и остается в подвешенном состоянии в интервале продуктивного пласта. При включении погружного электродвигателя электроцентробежный насос начинает всасывать скважинную жидкость через отверстия 2, расположенные в нижней части корпуса 1. Жидкость попадает в кольцевой зазор 5 и, двигаясь по нему, интенсивно перемешивается и турбулизируется за счет обтекания стохастически ориентированных структурных элементов пенометаллической оболочки 4. Часть жидкости поступает в поровое пространство оболочки 4, соприкасается с твердым ингибитором 3, частично его растворяет и насыщается им, после чего возвращается обратно в кольцевой зазор 5, где смешивается с основным потоком и продолжает движение вверх. Насыщение скважинной жидкости ингибитором происходит на всем пути ее движения в корпусе 1.
Пенометаллическая оболочка 4 предотвращает интенсивное вымывание ингибитора 3, так как создает дополнительное гидравлическое сопротивление течению жидкости в направлении, перпендикулярном основному направлению потока в кольцевом зазоре 5, и обеспечивает его дозированное растворение.
Большой размер пор пенометаллического материала, на два-три порядка превосходящий размер частиц механических примесей, содержащихся в скважинной жидкости, предотвращает засорение оболочки. При этом наиболее крупные частицы при соударении со структурными элементами пенометаллической оболочки 4 теряют свою скорость, опускаются на дно корпуса 1 и через отверстия 2 в его основании осаждаются на зумпф скважины.
При движении в кольцевом зазоре 5 скважинная жидкость дополнительно обрабатывается знакопеременными сильными магнитными полями, создаваемыми точечными постоянными магнитами 6. Пенометаллическая оболочка 4, в которой помещены магниты 6, выполняет роль магнитопровода, и будучи выполненной из магнитомягкого материала, сама приобретает магнитные свойства и способность к магнитной обработке жидкости.
Благодаря высокоразвитой поверхности в пенометаллической оболочке 4 интенсифицируется перемешивание скважинной жидкости и увеличивается время ее пребывания в магнитном поле, а возникающие перепады давления в потоке жидкости создают турбулентности, повышающие эффективность магнитной обработки, при которой разрушаются центры кристаллизации перенасыщенных агрегатов на более мелкие фрагменты и предотвращается их осаждение.
Магнитные поля магнитов 6 ортогональны движению потока скважинной жидкости и меняют свою направленность вдоль оси пенометаллической оболочки при переходе от одного ряда магнитов к другому. Скважинная жидкость, насыщенная ингибитором и обработанная знакопеременными магнитными полями, достигает насосно-компрессорной трубы 7 и, пройдя по ней, попадает через отверстия 8 в трубе 7 в межтрубное пространство и далее оказывается на приеме электроцентробежного насоса.
Самоуплотняющиеся эластичные манжеты 9 на насосно-компрессорной трубе 7 выполняют функцию пакера. За счет плотного прилегания манжет 9 к эксплуатационной колонне (не показана) предотвращается перетекание жидкости мимо устройства для ее обработки.
В предлагаемом устройстве обеспечивается оптимальная траектория движения скважинной жидкости с точки зрения ее насыщения ингибитором и магнитной обработки: отверстия 2 в корпусе 1 – кольцевой зазор 5 – пенометаллическая оболочка 4 – ингибитор 3, постоянные магниты 6 – кольцевой зазор 5 – насосно-компрессорная труба 7 – отверстия 8 – межтрубное пространство – прием электроцентробежного насоса.
Формула изобретения
1. Устройство для обработки скважинной жидкости, включающее корпус с отверстиями, соединенный верхним концом с насосно-компрессорной трубой и содержащий твердый реагент, размещенный с возможностью движения потока скважинной жидкости, отличающееся тем, что твердый реагент помещен в высокопроницаемую пенометаллическую оболочку, которая образует зазор с корпусом и имеет трехмерную сетчато-ячеистую структуру с размером ячеек 2-5 мм и удельную площадь поверхности 500-1400 м2/м3, а насосно-компрессорная труба снабжена самоуплотняющимися эластичными манжетами, при этом отверстия выполнены на нижнем конце корпуса, а также на участке насосно-компрессорной трубы выше манжет, причем отверстия на корпусе имеют суммарную площадь, соизмеримую с площадью отверстий на насосно-компрессорной трубе и площадью проходного сечения последней.
2. Устройство для обработки скважинной жидкости по п.1, отличающееся тем, что в высокопроницаемой пенометаллической оболочке вмонтированы точечные постоянные магниты, причем их толщина не превышает толщины стенки высокопроницаемой пенометаллической оболочки.
3. Устройство для обработки скважинной жидкости по п.1, отличающееся тем, что корпус выполнен из стеклопластика или нержавеющей стали.
4. Устройство для обработки скважинной жидкости по п.1, отличающееся тем, что высокопроницаемая пенометаллическая оболочка выполнена из магнитомягкого материала.
РИСУНКИ
PC4A – Регистрация договора об уступке патента СССР или патента Российской Федерации на изобретение
Прежний патентообладатель:
Рабинович Александр Исаакович
(73) Патентообладатель:
Закрытое акционерное общество “Новомет-Пермь”
Договор № РД0039599 зарегистрирован 14.08.2008
Извещение опубликовано: 27.09.2008 БИ: 27/2008
|
|