|
(21), (22) Заявка: 2003137710/14, 26.12.2003
(24) Дата начала отсчета срока действия патента:
26.12.2003
(43) Дата публикации заявки: 10.06.2005
(46) Опубликовано: 27.06.2006
(56) Список документов, цитированных в отчете о поиске:
RU 2085128 C1, 27.07.1997. RU 2085129 С1, 27.07.1997. RU 2002111490 А, 20.12.2003. SU 1138134 А1, 07.02.1985. ВАЛЬТЕР В.Г. и др. Атипичные резекции печени. В кн. “Новые технологии в хирургической гепатологии”. Материалы 3 конференции хирургов-гепатологов. 1995, 98-99. BUNATIAN A.G. et all. Problems of hemostasis and hermetic properties in liver resections with application of fibrin-collagen substance. Khirurgia. 2003, (19), 18-23.
Адрес для переписки:
414000, г.Астрахань, ул. Бакинская, 121, Астраханская государственная медицинская академия, инженеру-патентоведу С.А. Голубкиной
|
(72) Автор(ы):
Зурнаджъянц Виктор Ардоваздович (RU), Зурнаджан Сантро Ардоваздович (RU), Кучин Юрий Владимирович (RU), Агаханян Гарик Гаврушович (RU)
(73) Патентообладатель(и):
Зурнаджъянц Виктор Ардоваздович (RU)
|
(54) СПОСОБ РЕЗЕКЦИИ ПЕЧЕНИ
(57) Реферат:
Изобретение относится к медицине, хирургии, и может быть использовано при резекции печени. На основание предполагаемой линии резекции накладывают полоску полипропиленового сетчатого материала с охватом доли печени в виде муфты. Концы муфты сшивают у нижнего края органа. Накладывают «гирляндный» шов с прошиванием переднего и заднего листка полоски и всей толщи печени. Формируют три звена гирляндного шва. Затем электроножом по свободному дистальному краю полоски производят резекцию левой доли печени. Коагулируют отдельные кровоточащие участки раневой поверхности. Выкраивают полоску полипропиленового сетчатого материала соответственно размеру культи печени. Укрывают полоской культю печени. Подшивают ее по периметру с захватом печеночной ткани и дистальных краев наложенной полоски. Фиксируют ее к ткани печени по центру культи. Способ позволяет герметизировать раневую поверхность печени. 9 ил., 6 фото.
Изобретение относится к области медицины, а именно к хирургическому лечению повреждений печени.
Из практики медицины известны способы ушивания ран печени: это наложение простых узловых кетгутовых швов, Z-образных швов, 8-образных швов, цепочных, блоковых швов (Шалимов С.А. Хирургия печени и желчных протоков. – Киев: Здоров я, 1975. – 407 с.; Матяшин И.М., Глузман А.М. Справочник хирургических операций. – Киев: Здоров я, 1979. – 312 с.).
Недостатками известных способов являются:
– недостаточный гемостаз;
– недостаточный желчестаз;
– не исключается прорезывания паренхимы органа, вызывая дополнительную травму и усиление кровотечения;
– не исключается образования остаточной полости;
– не исключается опасности развития массивной зоны некроза за линией швов и гибели значительных участков печени в результате прошивания питающих их сосудистых структур при обширной резекции;
– применимо только при небольших краевых или клиновидных резекциях, линейных ранах;
– некоторые виды швов деформируют края раны.
Недостатками известных способов являются:
– ненадежность и малоэффективность применения как самостоятельного средства гемостатических препаратов (тромбин, гемостол, кетгут- гемостоловая пломба, вивакол и др.), губки (фибриновые, желатиновые, коллагеновые) при обширных раневых поверхностях печени;
– применение местных сухих и клеевых (цианокрилат) гемостатических средств предполагает наличие сухой раневой поверхности, что трудно достижимо при ранении печени. Кроме этого, применение данных средств способствует развитию спаечного процесса в брюшной полости;
– использование электрохирургических, лазерных, плазменных и криоультразвуковых установок не исключает опасности вторичного кровотечения и желчеистечения при отторжении коагуляционного струпа с раневой поверхности печени, сосуды и протоки диаметром свыше 1-3 мм все равно приходится лигировать;
– недостаток в применении изолированных аутотканей (мышечной ткани, фасции, жировой клетчатки, кожи, диафрагмы, брюшины, круглой и серповидной связки, стенки соседних органов и др.) выражается в том, что вызывают аутоаллергические реакции с последующим отторжением аутотрансплантата, многие из них подвергаются некрозу с развитием перифокального воспаления печени с последующим замещением соединительной тканью и образованием местного плотного рубца, а в ряде случаев с образованием гнойников и значительного спаечного процесса с прилегающими органами;
– использование неизолированного сальника может быть ограниченным или невозможным вследствие:
а) возможной вовлеченности его в воспалительный процесс, отечности, гистопатологии (серозная грануляция, фиброз, фиброплазия, склероз, локальный некроз и т.п.) в разные периоды после операций;
б) вероятности перекрута ножки аутотрансплантата с последующим образованием карманов и тяжей, в которых возможно ущемление органов (формирование внутренней грыжи вдоль сальниковой ножки), возникновения явлений кишечной непроходимости, дисфункции желудка;
в) заболевания сальника, при котором в патологический процесс вовлекается большой объем аутоткани;
г) случаев, когда встречается сальник неожидаемых размеров (короткий сальник), возможны врожденные аномалии развития, у детей сальник недоразвит;
д) невозможности использования сальника, вовлеченного в выраженный спаечный процесс из-за перенесенных ранее операций.
Однако известные способы имеют следующие недостатки:
– оказывают неблагоприятное действие на ткань печени, где развивается дегенеративно-воспалительный процесс, нередко с признаками хронического воспаления;
– подавляют регенерацию печеночной ткани;
– пролиферативные процессы протекают слабо с формированием на поздних сроках грубого соединительнотканного рубца;
– наблюдается выраженный спаечный процесс;
– имплантация рассасывающихся полимерных материалов сопровождается выделением токсичных веществ в процессе их частичной резорбции.
Наиболее близким прототипом к предлагаемому являются резекция левой доли печени по способу П.Г.Корнева и В.А.Шаака, заключающаяся в мобилизации ее путем пересечения левой треугольной и участка венечной связки, циркулярном наложении широкой (3-5 см) полоски фасции на основание иссекаемой доли, прошивании свободных проксимальных краев аутотрансплантата отдельными узловыми швами, после чего дистальные края полоски отворачивают и параллельно наложенному шву производят левостороннюю гемигепатэктомию, завершая операцию непрерывным сшиванием свободных краев верхней и нижней фасциальных пластинок, перитонизируя тем самым культю органа (Войленко В.Н., Меделян А.И., Омельченко В.М. Атлас операций на брюшной стенке и органах брюшной полости. / Под ред. проф. Г.Е.Островерхова. – М.: Медицина, 1965. – 606 с.).
Однако известный способ имеет следующие недостатки:
– необходимость дополнительной операции для заготовки полосок фасции;
– фасция обладает слабым гемостатическим эффектом;
– попадание желчи на аутоткань резко снижает ее жизнеспособность;
– вызывает аутоаллергические реакции с последующим отторжением аутотрансплантата;
– фасция также, как и изолированные аутоткани, подвергается некрозу с развитием перифокального воспаления печени с последующим замещением соединительной тканью и образованием местного плотного рубца, а в ряде случаев с образованием гнойников и значительного спаечного процесса с прилегающими органами;
– вследствие ограниченности и малой прочности фасция не может быть применена при закрытии больших раневых дефектов печени.
Целью предлагаемого способа является улучшение результатов хирургического лечения повреждений печени.
Поставленная цель в изобретении достигается тем, что на основание предполагаемой линии иссечения мобилизованной левой доли печени, по периметру, накладывают полоску полипропиленового сетчатого материала (ПСМ) шириной не менее 1 см, чтобы она охватывала долю в виде муфты, концы которой сшивают отдельными узловыми швами у нижнего края органа и фиксируют полоску ПСМ отдельными узловыми швами к ткани печени у верхнего ее края, после чего длинной прямой тупоконечной иглой с ушком на конце накладывают «гирляндный» шов с прошиванием переднего и заднего листка полоски ПСМ и всей толщи печени, причем первым проколом у верхней трети органа иглой в обратном направлении проводят двойную лигатуру, первую нить перевязывают у верхнего края печени, формируя первое звено «гирляндного» шва, вторая нить при этом остается временно свободной, отступя на 2-3 см таким же образом вторым проколом проводят в обратном направлении свободный конец второй нити и следующую, третью нить, вторую нить завязывают на вентральной поверхности органа, формируя второе звено «гирляндного» шва, а третью нить перевязывают у нижнего края органа, формируя следующее звено «гирляндного» шва, затем электроножом по свободному дистальному краю полоски ПСМ производят резекцию левой доли печени и коагуляцию отдельных кровоточащих участков раневой поверхности органа, после чего соответственно размеру культи печени выкраивают ПСМ, которым укрывают ее по периметру и подшивают отдельными узловыми швами с захватом печеночной ткани и дистальных краев наложенной полоски ПСМ, завершая фиксацию ПСМ к ткани печени по центру культи отдельными узловыми швами.
Наложение полоски ПСМ на основание предполагаемой линии иссечения доли печени шириной менее 1 см нарушает структурную форму имплантата при затягивании швов, выражающееся в соединении ячеек ПСМ в более крупные и ее краевое разволокнение. Наложенная полоска ПСМ на основание предполагаемой линии иссечения доли печени препятствует прорезыванию гемостатических швов даже после энергичного их затягивания. Натяжение лигатур производили до врезания ПСМ в паренхиму печени, так как только при этом происходит сдавление внутриорганных сосудов доли. Сущность гемостатического шва, наложенного над ПСМ, состоит в том, что он дает возможность последовательно и более полно вызвать сдавление внутриорганных сосудов доли органа, обеспечивает перекрытие образующихся в глубине печени полостей после наложения шва. Необходимость длинной прямой тупоконечной иглы заключается в возможности проведения шовного материала через переднезадний размер ткани печени, который у взрослого составляет 15-20 см; тупоконечная форма иглы менее травматична. Резекцию производим электроножом в режиме «резание-коагуляция» для одновременной остановки паренхиматозного кровотечения. Выкраивание ПСМ соответственно размеру культи производим с целью полной перитонизации и герметизации раневой поверхности печени.
Экспериментальное изучение динамики патоморфологической картины заживления раны печени в присутствии ПСМ «Эсфил» подтверждает положительные качества аллотрансплантата и вместе с этим полностью отвечает предъявляемым требованиям.
Предложенная сущность способа поясняется чертежами, где:
Фиг.1. На основание предполагаемой линии резекции по периметру наложена полоска ПСМ шириной не менее 1 см в виде муфты, концы которой сшиты отдельными узловыми швами у нижнего края органа. Полоска ПСМ фиксирована отдельными узловыми швами к ткани печени у верхнего ее края.
Фиг.2. Первым проколом у верхней трети органа длинной прямой тупоконечной иглой с ушком на конце в обратном направлении проводят двойную лигатуру через передний и задний листки полоски ПСМ и всю толщу печени.
Фиг.3. Первой нитью перевязана верхняя треть печени с формированием первого звена «гирляндного» шва, вторая нить при этом остается временно свободной. Отступя на 2-3 см таким же образом вторым проколом проводят в обратном направлении свободный конец второй нити и следующую – третью нить.
Фиг.4. Вторая нить завязана на вентральной поверхности печени с формированием второго звена «гирляндного» шва, третья нить при этом остается временно свободной.
Фиг.5. Третьей нитью перевязана нижняя треть печени с формированием третьего звена «гирляндного» шва.
Фиг.6. По свободному дистальному краю полоски ПСМ произведена резекция левой доли печени.
Фиг.7. Соответственно размеру культи печени выкроен ПСМ, которым укрывают культю печени и подшивают отдельными узловыми швами с захватом печеночной ткани и дистальных краев наложенной полоски ПСМ.
Фиг.8. По центру культи отдельными узловыми швами фиксируют ПСМ к ткани печени.
Фиг.9. – Пострезекционная поверхность печени укрыта ПСМ (общий вид).
Использование предложенного способа позволяет:
– достигнуть надежной остановки кровотечения и желчеистечения;
– надежно перитонизировать культю печени;
– выдерживать давление гематом, препятствуя ее росту;
– исключать возможное образование остаточных полостей;
– препятствовать прорезыванию паренхимы органа;
– умеренно стягивать швы и тем самым снижать давление нитей на ткань, сохраняя кровоснабжение органа и предотвращая развитие обширных некрозов.
– обладает высокой биологической совместимостью;
– резистентен к инфекции;
– капилярно-фетильными свойствами не обладает;
– устойчив к биодеградации;
– атравматичен;
– абластичнен;
– отсутствует раздражающее, аллергенное и общетоксическое действие;
– легко моделируется по форме и величине;
– нераспускаемость и необтрепываемость краев при моделировании;
– надежно и просто стерилизуется;
– является хорошим опорным материалом;
– обладает оптимальной эластичностью.
Вместе с тем в доступной нам литературе сведений относительно использования ПСМ для укрытия раневой поверхности печени нет.
Учитывая это обстоятельство, а также актуальность проблемы остановки крово- и желчеистечения при операциях на печени, мы в эксперименте применили для укрытия раневой поверхности печени ПСМ с целью обосновать возможность пластического укрытия раневой поверхности печени ПСМ для создания надежного гемостаза, предупреждения желчеистечения из культи печени и создания благоприятных условий для заживления раны.
Основу нашего исследования составили экспериментальные наблюдения, выполненные на 30 половозрелых кроликах породы «Shinshilla», разного пола, в возрасте 1,5-2 года, массой 2,5-3,5 кг в операционном блоке кафедры оперативной хирургии и топографической анатомии Астраханской государственной медицинской академии.
Подопытные животные в течение 5-10 дней до операции находились в условиях вивария для адаптации.
Пример 1.
После премедикации (внутримышечно: 0,1% атропин – 0,5 мл, 1,0% димедрол – 1,0 мл, 2,5% аминазин – 0,5 мл), удаления шерсти на передней брюшной стенке и обработки операционного поля 5% спиртовым раствором йода (дважды) и 96% раствором этилового спирта, под внутримышечным кетаминовым (Калипсол) наркозом, в количестве 1,0 мл, производилась верхнесрединная лапаротомия. В рану выводили левую наружную долю печени, производили поперечную ее резекцию, после чего укрывали раневую поверхность органа соответствующим размером ПСМ, фиксируя его к паренхиме единичными узловыми викриловыми швами по краям аллоимплантата с захватом печеночной ткани, изолируя тем самым пострезекционную поверхность от свободной брюшной полости. Достигался хороший гемо- и холестаз. Убедившись в отсутствии кровотечения и истечения желчи, после осушивания, погружения доли печени в брюшную полость, приступали к наложению послойных швов на рану брюшной стенки. Ушивая лапаротомный разрез наглухо, без дополнительного дренирования, завершали операцию обработкой кожной раны 5% спиртовым раствором йода.
В эксперименте использовался эндопротез сетчатый полипропиленовый «Эсфил» (2-010) синий фирмы «ЛИНТЕКС», отечественного производства.
Подопытные животные хорошо переносили операцию, которая ни разу не вызывала технических затруднений. Во всех проведенных опытах выявлено, что укрытие раневой поверхности печени ПСМ ускоряет процесс гемо- и холестаза еще до наложения фиксирующих его швов, что объясняется формированием в ячейках имплантата кровяных сгустков. Кровь, просачиваясь через отверстия между волокнами сетчатого материала, заполняет их выпавшим фибрином и клеточными элементами, что ускоряет тромбообразование и препятствует дальнейшему истечению крови и желчи, и тем самым способствует гемо- и холестазу. Это достигается благодаря опорной роли сетчатого имплантата, формирующего замкнутую полость с раневой поверхностью, выдерживающий давление гематомы и препятствующий ее росту.
Послеоперационный период протекал гладко. Ни одно экспериментальное животное после операции не погибло. Раны заживали первичным натяжением. После операции проводилась антибактериальная медикаментозная терапия внутримышечным введением 0,5 мл 4% раствора гентамицина сульфата два раза в сутки в течение пяти дней.
В послеоперационном периоде в сроки от 1 дня до 12 месяцев регистрировалось общее состояние подопытных животных, их поведение, отношение к пище. Наблюдения за животными показали, что, спустя 2-3 часа после операции, они выходили из состояния наркоза. В 1 сутки после операции животные вялые, адинамичные, не едят, принимают воду в небольшом количестве. На вторые-третьи сутки после операции состояние животных улучшалось, они становились более активными, адекватно реагировали на окружающую обстановку, принимали воду и пищу в небольшом количестве. Начиная с 5-7 суток и в последующие сроки после операции состояние животных удовлетворительное, поведение активное, охотно принимали пищу, свободно перемещались по клетке и практически ничем не отличались от здоровых. Дефицита массы не отмечено.
Для проведения макро- и микроскопических исследований в области повреждений печени и изучения репаративных процессов в сроки 1, 3, 5, 7, 14, 21 дней 1, 3, 6, 12 месяцев подопытные животные выводились из опыта.
При вскрытии животных в сроки наблюдений после операции признаков перитонита, выпота в брюшной полости, кровотечения и истечения желчи из раны, а также гнойников ни разу не обнаружено. В брюшной полости в зоне операции умеренный спаечный процесс, представленный легко разделяющимися рыхлыми спайками с сальником. Сращений с окружающими органами и ограничений подвижности печени ни разу не выявлены.
При патоморфологическом изучении динамики заживления ран печени отмечено последовательное изменение макро- и микроскопической картины.
В ранние (1-3 дня) сроки после операции на разрезах травмированных участков печени имплантат интимно сращен с паренхимой органа, скоплений крови и желчи не обнаружено. Массы фибрина находятся как между раневой поверхностью печени и имплантатом, так и между отдельными его волокнами. Гистологический анализ препаратов печени, в указанные сроки после операции, установил расстройство кровообращения, полнокровие внутридольковых капилляров и стаз в крупных сосудах. Обнаружены участки кровоизлияния в зоне повреждения органа. Воспалительная инфильтрация в виде нечетко очерченного лейкоцитарного вала ограничивает морфологически неизмененную ткань печени от дистрофических и некротических участков органа (Фото 1).
Спустя 5-7 суток после операции на фронтальном разрезе препарата ПСМ с большим трудом отделяется от паренхимы печени, видна четкая граница между имплантатом и тканью органа, гематомы и биломы между ними нет. Гистологически, в указанные сроки отмечаются обширные участки некроза печеночной ткани с выраженным воспалением преимущественно пролиферативного характера с начинающимся формированием молодой соединительной ткани (Фото 2).
Через 14 суток после операции на разрезах препаратов ПСМ плотно сращен с раневой поверхностью печени. Патологических скоплений в зоне операции нет. Микроскопически, через две недели, наряду с лимфомакрофагальными элементами, отмечалось появление в значительном количестве клеток фибробластического ряда. Волокна имплантата замурованы в толще молодой формирующейся соединительной ткани (Фото 3).
К 21 суткам после операции на разрезах травмированных участков печени определяется имплантат крепко сращенный с паренхимой органа. Участков некроза не отмечается, патологических скоплений нет. Гистологически, через три недели волокна имплантата инкапсулированы за счет умеренно развитой, молодой соединительной ткани, хорошо васкуляризированной, местами с многочисленными клеточными элементами: гистиоциты, фибробласты, немногочисленные лимфоциты, отдельные эозинофилы. Клеточные элементы встречаются в толще синтетических волокон. Признаков воспаления нет. В отдаленных участках печень обычного строения (Фото 4).
Через 30 суток после операции на разрезе препарата печени рубец, волокна которой формируют тонкую, местами уже плотную соединительнотканную капсулу. Воспалительная реакция отсутствует. При микроскопии, через один месяц после операции дегенеративные изменения уменьшены, клеточная инфильтрация вокруг ПСМ значительно снижена, волокна имплантата инкапсулированы за счет сформированной соединительной ткани с многочисленными группами мелких желчных протоков и сосудов, без признаков воспаления. Наблюдается врастание соединительной ткани в толщу ПСМ. Ткань печени без изменений (Фото 5).
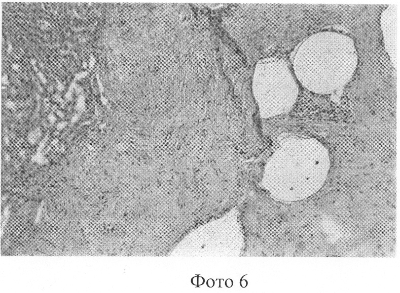
В более поздние сроки (3, 6, 12 месяцев) после операции на продольных разрезах зон повреждений структура имплантата без изменений, ПСМ прочно сращен с тканью печени без видимых границ. При гистологическом исследовании препаратов печени, в указанные сроки после операции, ПСМ инкапсулирован за счет сформированной волокнистой соединительной ткани. Признаков воспаления нет. В отдаленных участках ткань печени обычного строения (Фото 6).
Таким образом, при макроскопическом исследовании препаратов на разрезах травмированных участков отчетливо определяется имплантированный сетчатый материал, который удерживает ткань в фиксированном положении и служит каркасом для врастания соединительной ткани. ПСМ не деградирует, не теряет прочность под действием тканевых ферментов, укрепляет мягкие ткани и придает им дополнительную прочность во время заживления. Продуктивная воспалительная реакция способствует формированию тонкого слоя фиброзной ткани, который, прорастая в ячейки сетки, практически вовлекает ее в толщу формирующегося рубца. При этом полипропиленовый эндопротез остается мягким и упругим, не нарушая нормальный процесс заживления.
Описанная патоморфологическая картина заживления раны печени с использованием ПСМ «Эсфил» (2-010) характерна для протекающей без осложнений репаративной регенерации в асептической ране.
Физические свойства ПСМ полностью отвечают предъявляемым требованиям оперативной техники, а биологическая инертность позволяет избежать хронических восполительных процессов и других отрицательных воздействий, свойственных изолированным аутотканям и иным полимерным материалам.
Учитывая вышеизложенное, становится очевидным достоинства ПСМ в хирургической практике, что и привлекло наше внимание.
Предложенный нами способ апробирован у одной больной хирургического отделения НПМК «Экологическая медицина» г. Астрахани в течении 2002-2003 гг.
Ниже приводится результат апробации.
Пример 2.
Больная К., 1965 года рождения (история болезни № 4550-02), поступила в хирургическое отделение НПМК «Экологическая медицина» 15.04.02 г. с жалобами на боли в правом подреберье, чувство дискомфорта. Больной себя считает около 2-х месяцев. В анамнезе перенесенных заболеваний не отмечает. Больная обследована амбулаторно. При КТ-исследовании обнаружено: печень незначительно увеличена, на границе 3 и 4 сегментов, субкапсулярно, вероятнее всего, исходя из 3 сегмента определяется неправильной овоидной формы образование, размерами 92×47×90 мм с четкими ровными контурами, плотностью около 41 ед Н. В толще образования имеются участки неправильной формы размерами 30×14×12×5 мм, плотностью около 18 ед. Оттесняя 2 сегмент медиально образование незначительно выходит за переднюю поверхность и значительно выходит за нижнюю поверхность. Структура других сегментов печени однородная, плотностные показатели обычные 62 ед Н. При УЗИ-исследовании: печень 14,1×7 см, эхогенность нормальная. В 5 сегменте образование повышенной эхогенности 1,7 (гемангиома?Neo?), в левой доле по абдоминальному краю образование нормальной эхогенности 9,2×4,5 см с неровными контурами.
Выставлен диагноз: Гемангиома печени. Больная подготовлена и оперирована 16.04.02 г. Под эндотрахеальным наркозом произведена верхнесрединная лапаротомия. При ревизии в левой доле печени по нижнему краю определяется плотная, с участками размягчения опухоль, занимающая 2/3 левой доли (8×8 см), поверхность над опухолью выбухает, белесоватого цвета с участками размягчения. Правая доля печени без особенностей, лимфоузлы (парааортальные не пальпируются). Произведена мобилизация левой доли печени путем пересечения левой треугольной и венечной связок. На основание предполагаемой линии иссечения левой доли печени, по периметру, наложен ПСМ шириной 1 см, чтобы она охватывала долю в виде муфты, концы которой сшивают отдельными узловыми швами у нижнего края органа и фиксируют полоску ПСМ отдельными узловыми швами к ткани печени у верхнего его края, после чего длинной прямой тупоконечной иглой с ушком на конце накладывают «гирляндный» шов с прошиванием переднего и заднего листка полоски ПСМ и всей толщи печени, причем первым проколом у верхней трети органа иглой в обратном направлении проводят двойную лигатуру, первую нить перевязывают у верхнего края печени, формируя первое звено «гирляндного» шва, вторая нить при этом остается временно свободной, отступя на 2-3 см таким же образом вторым проколом проводят в обратном направлении свободный конец второй нити и следующую, третью нить, вторую нить завязывают на вентральной поверхности органа, формируя второе звено «гирляндного» шва, а третью нить перевязывают у нижнего края органа, формируя следующее звено «гирляндного» шва. Левая доля отсечена вместе с опухолью электроножом по свободному дистальному краю полоски ПСМ. Произведена коагуляция отдельных кровоточащих участков раневой поверхности органа. Раневая поверхность печени не кровит. На раневую поверхность уложена выкраенная ПСМ соответственно размеру культи, которая подшита по периметру отдельными швами с захватом печеночной ткани и дистальных краев наложенной полоски ПСМ. ПСМ дополнительно фиксирован к ткани печени по центру культи отдельными швами. Кровопотеря во время операции – до 400 мл. К культе печени подведены тампон и дренажная трубка, выведенные через дополнительный разрез в правом подреберье. Послойные швы на срединную операционную рану. Повязка.
Препарат: на разрезе опухоль бугристая, белесоватого цвета, в центре полость, содержащая геморрагическую жидкость.
Послеоперационный период протекал без осложнений. Дренажи удалены на 5 сутки, швы сняты на 10 сутки, заживление раны первичным натяжением. В удовлетворительном состоянии больная выписана на амбулаторное лечение 03.05.02 г. Данные гистологии – кавернозная гемангиома печени.
При изучении отдаленных результатов через 1, 3, 6 и 12 месяцев после операции нарушений функций печени, желудочно-кишечного тракта, а также со стороны крови не наблюдалось. При УЗИ-исследовании печени: консистенция однородная, эхогенность нормальная, очаги уплотнения и полости отсутствуют, проекция зоны резекции без видимых патологических изменений. Трудоспособность больного полностью восстановлена.
Предлагаемым способом достигается улучшение результатов хирургического лечения повреждений печени:
– обеспечивается надежный гемостаз;
– предотвращается желчеистечение;
– предотвращается образование остаточной полости;
– предотвращается прорезывание паренхимы печени, при достаточном для гемостаза затягивании швов;
– ушивание ПСМ над культей печени ограничивает выпадение отторгающихся некротических участков, создает максимально благоприятные условия для регенерации печеночной ткани;
– патоморфологически выраженных воспалительных и дистрофических изменений в зоне ПСМ не отмечено, грубых рубцовых изменений нет;
– укорачивается послеоперационный период и уменьшается его опасность;
– прост и доступен в исполнении, не требует специальных инструментов и аппаратуры;
– может быть использован как в плановой, так и в ургентной хирургии заболеваний и травм печени.
Предложенный способ может быть рекомендован в широкую клиническую практику.
Формула изобретения
Способ резекции печени, заключающийся в укрытии ее раневой поверхности, отличающийся тем, что на основание предполагаемой линии иссечения мобилизованной левой доли печени по периметру накладывают полоску полипропиленового сетчатого материала (ПСМ) шириной не менее 1 см, чтобы она охватывала долю в виде муфты, концы которой сшивают отдельными узловыми швами у нижнего края органа и фиксируют полоску ПСМ отдельными узловыми швами к ткани печени у верхнего его края, после чего длинной прямой тупоконечной иглой с ушком на конце накладывают «гирляндный» шов с прошиванием переднего и заднего листков полоски ПСМ и всей толщи печени, причем первым проколом у верхней трети органа иглой в обратном направлении проводят двойную лигатуру, первую нить перевязывают у верхнего края печени, формируя первое звено «гирляндного» шва, вторая нить при этом остается временно свободной, отступив на 2-3 см таким же образом вторым проколом проводят в обратном направлении свободный конец второй нити и следующую третью нить, вторую нить завязывают на вентральной поверхности органа, формируя второе звено «гирляндного» шва, а третью нить перевязывают у нижнего края органа, формируя следующее звено «гирляндного» шва, затем электроножом по свободному дистальному краю полоски ПСМ производят резекцию левой доли печени и коагуляцию отдельных кровоточащих участков раневой поверхности органа, после чего соответственно размеру культи печени выкраивают ПСМ, которым укрывают культю печени, затем подшивают выкроенный ПСМ по периметру отдельными узловыми швами с захватом печеночной ткани и дистальных краев наложенной полоски ПСМ, завершают фиксацию ПСМ к ткани печени по центру культи отдельными узловыми швами.
РИСУНКИ
MM4A – Досрочное прекращение действия патента СССР или патента Российской Федерации на изобретение из-за неуплаты в установленный срок пошлины за поддержание патента в силе
Извещение опубликовано: 10.08.2007 БИ: 22/2007
|