|
|
(21), (22) Заявка: 2004125560/12, 20.08.2004
(24) Дата начала отсчета срока действия патента:
20.08.2004
(45) Опубликовано: 20.03.2006
(56) Список документов, цитированных в отчете о поиске:
RU 2064175 C1, 20.07.1996. SU 1723494 A1, 30.03.1992. SU 1109476 A1, 23.03.1984. US 4051001 A, 27.09.1977.
Адрес для переписки:
634021, г.Томск, пр. Фрунзе, 115/3, Томский ЦНТИ, патентное бюро
|
(72) Автор(ы):
Корчмит Антон Викторович (RU), Егоров Юрий Петрович (RU)
(73) Патентообладатель(и):
Корчмит Антон Викторович (RU), Егоров Юрий Петрович (RU)
|
(54) СПОСОБ ТРАВЛЕНИЯ ОЛОВЯНИСТЫХ БРОНЗ
(57) Реферат:
Изобретение относится к области исследования подготовленных шлифов из оловянистых бронз путем химического воздействия на исследуемую поверхность материала. Способ травления оловянистых бронз для выявления структуры шлифа заключается в том, что поверхность шлифа предварительно шлифуют и полируют. Травление шлифа производят 1% раствором хлорной меди в соляной кислоте. Шлиф окунают в ванну с травителем на 40-80 сек, затем вытаскивают и окунают в ванну с водой, вытаскивают из воды и высушивают промокательной бумагой и вновь окунают в травитель, но с меньшей выдержкой 1-10 сек, повторяя процедуру с меньшей выдержкой до монотонно темного цвета матрицы. Процедура выполнения способа проста и достаточно дешева. 4 ил. 
Изобретение относится к области химического воздействия на исследуемую поверхность материала, в частности для исследования подготовленных шлифов из оловянистых бронз.
Известен способ выявления структуры на предварительно шлифованной и полированной поверхности металлографических шлифов перед ее рассмотрением невооруженным глазом с применением лупы или микроскопа, состоящий в действии на поверхность газообразным реактивом озоновоздушной смесью от газогенератора и направлении использованной смеси на выброс через азонопоглощающий раствор или деструктор озона. Патент РФ №94017974, кл. G 01 N 1/28. Существенным недостатком данного способа является сложность выполнения процедуры, ее дороговизна.
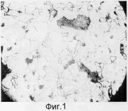
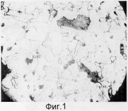
Предлагается способ травления металлографических шлифов из оловянистых бронз, основанный на количественной оценке распределения и размеров упрочняющей фазы, – эвтектоида. При этом способе шлифы подвергаются глубокому травлению с помощью 1% раствора хлорной меди в соляной кислоте. Способ травления заключается в том, что полировальный шлиф окунают в ванну с травителем на 40-60 сек, затем вытаскивают и окунают в ванну с водой. Высушивают образец промокательной бумагой и вновь окунают в травитель, но уже с меньшей выдержкой 1-10 сек. После каждой процедуры травления образцы просматривают в микроскоп, цвет матрицы становится темнее и равномернее. Если до травления ее цвет был неоднородным фиг.1, после обычного травления, фиг.2 матрица имеет также не однородный цвет, а после травления по предложенному способу она приобретает монотонно темный цвет, фиг.3. Упрочняющая фаза – эвтектоид не травится, а располагается в виде светлых практически белых включений различной величины, после окончания травления образцы фотографируют и вводят в компьютер. Если образец перетравлен, матрица неоднородна, фиг.4, отсюда количество и размер структурных составляющих посчитан неверно. Компьютерная программа, компьютерная обработка изображения – КОИ рассчитывает объемную долю и средний размер частиц структуры при условии, что шлиф протравлен до монотонно темного цвета матрицы и светлых пятен упрочняющей фазы – эвтектоида.
Формула изобретения
Способ травления оловянистых бронз для выявления структуры шлифа, заключающийся в том, что поверхность шлифа предварительно шлифуют и полируют, отличающийся тем, что травление производят 1%-ным раствором хлорной меди в соляной кислоте, при этом шлиф окунают в ванну с травителем на 40-80 с, затем вытаскивают и окунают в ванну с водой, вытаскивают из воды и высушивают промокательной бумагой и вновь окунают в травитель, но с меньшей выдержкой 1-10 с, повторяя процедуру с меньшей выдержкой до монотонно темного цвета матрицы.
РИСУНКИ
MM4A – Досрочное прекращение действия патента СССР или патента Российской Федерации на изобретение из-за неуплаты в установленный срок пошлины за поддержание патента в силе
Дата прекращения действия патента: 21.08.2006
Извещение опубликовано: 20.08.2007 БИ: 23/2007
|
|