|
|
(21), (22) Заявка: 2004120874/14, 08.07.2004
(24) Дата начала отсчета срока действия патента:
08.07.2004
(45) Опубликовано: 20.03.2006
(56) Список документов, цитированных в отчете о поиске:
ДЕДУШКИН B.C. и др. «Перспективы применения миелопида в травматологии». Травматология и ортопедия, 1998, №1, с.73-79. RU 2197238 С2, 27.01.2003. RU 2033796 C1, 30.04.1995. GB 2380127, 02.04.2003. БЛИНКОВ Ю.Ю. «Изучение влияния миелопида и его компонентов на иммунологическую реактивность и репаративный остеогенез». Автореф. дисс. к.м.н. Курск, 2000,
Адрес для переписки:
305041, г.Курск, ул. К. Маркса, 3, КГМУ, патентный отдел, З.Н. Куприяновой
|
(72) Автор(ы):
Дубровин Григорий Менделевич (RU), Нетяга Светлана Викторовна (RU), Нетяга Андрей Алексеевич (RU), Блинков Юрий Андреевич (RU), Тихоненков Сергей Николаевич (RU), Нигов Дмитрий Эдуардович (RU), Москальченко Андрей Михайлович (RU), Астахова Анжела Владимировна (RU), Авилова Ирина Викторовна (RU)
(73) Патентообладатель(и):
Дубровин Григорий Менделевич (RU), Нетяга Светлана Викторовна (RU), Нетяга Андрей Алексеевич (RU)
|
(54) СПОСОБ ПРОФИЛАКТИКИ ПОСТТРАВМАТИЧЕСКОГО ОСТЕОАРТРОЗА
(57) Реферат:
Изобретение относится к медицине, в частности к травматологии, и касается профилактики посттравматического остеоартроза. Для этого применяют миелопид, который вводят подкожно в дозе 50 мкг/кг веса 1 раз в сутки, 4 инъекции на курс. Такое выполнение способа обеспечивает усиление репаративных процессов в суставном хряще. 13 ил. 
(56) (продолжение):
CLASS=”b560m”с.20-21. BLACRBURN WD. “Management of osteoarthritis and rheumatoid arthritis: proses and possibilities”. Am J Med. 1996 Feb 26; 100(2A):24S-30S.
Изобретение относится к медицине, а именно к травматологии, и может быть использовано для профилактики посттравматического остеоартроза.
Посттравматический остеоартроз является распространенной травматологической патологией, возникающей чаще всего после гемартроза, повреждения менисков, разрыва связок, переломов. Актуальным является разработка способов профилактики этого заболевания. Известен способ профилактики остеоартроза, заключающийся во внутриартикулярном введении средства, содержащего раствор желатина 10% 0,4 л, экстракт хрящевой ткани сельхозживотных, содержащий 7-7,5 г гексозаминов, 4-5 г уроновых кислот, 8-9 г гексоз 500 мл, белки плазмы крови реципиента основной и нейтральной природы с мол. м. 5-10 кД 0,04-0,05 г, новокаин кристаллический 100 г и воду – до 1 л (патент РФ №2197238). Способ основан на хондропротекторном действии предлагаемого авторами средства.
Основным недостатком способа является отсутствие патогенетически обоснованного подхода к профилактике, заключающегося в воздействии на локальные иммунопатологические механизмы, играющие важную роль в развитии посттравматического остеоартроза. Также недостаткам данного способа является использование сложного в изготовлении и не являющегося официальным препаратом средства. Кроме того, для осуществления способа необходимо средство, которое изготавливается по индивидуальным показаниям, что увеличивает трудоемкость процедуры. И, наконец, данный способ является травматичным, так как предполагает многократное внутрисуставное введение средства в течение длительного времени (3 недели).
Задача изобретения: предупредить развитие посттравматического остеоартроза.
Поставленная задача достигается тем, что для профилактики остеоартроза после травмы суставной поверхности подкожно четырехкратно 1 раз в сутки с интервалом в 24 часа вводится иммуномодулятор миелопид в дозе 50 мкг/кг веса.
Лекарственный препарат миелопид изготовлен в научно-производственном центре Института иммунологии Минздрава РФ и представляет собой иммуностимулирующий препарат комбинированного действия пептидной природы, получаемый из культуры клеток костного мозга млекопитающих (свиней или телят) методом гель-хроматографии. Выпускается препарат в виде лиофилизированного порошка в герметически укупоренных флаконах емкостью 10 мл с содержанием 0,003 г (3 мг).
Известно, что в возникновении посттравматического остеоартроза важную роль играют иммунопатологические реакции. Миелопид при посттравматических иммунопатологических состояниях восстанавливает показатели В- и Т-систем иммунитета, стимулирует продукцию антител и функциональную активность иммунокомпетентных клеток на высоте иммунного ответа, увеличивает абсолютное и относительное количество В-лимфоцитов в периферической крови, нормализует пролиферацию стволовых клеток костного мозга, нормализует отношение CD4/CD8 клеток (хелперов и супрессоров), обладает анальгезирующей (опиатоподобной) активностью.
Все указанные эффекты способствуют уменьшению вторичной альтерации суставного хряща после его повреждения, улучшению его питания, раннему восстановлению функции сустава, что препятствует развитию дегенеративно-дистрофических изменений в хряще, следствием которых является посттравматический остеоартроз.
Изобретение поясняется фигурами:
фиг.1 – суставной хрящ мыщелков бедренной кости животного контрольной группы через 28 суток после травмы, макропрепарат, ув. Х10;
фиг.2 – суставной хрящ мыщелков бедренной кости животного опытной группы через 28 суток после травмы, макропрепарат, ув. Х10;
фиг.3 – динамика показателей функциональной активности и фагоцитарного числа нейтрофилов у животных опытной и контрольной групп;
фиг.4 – динамика показателей индекса соотношения стимулированного НСТ-теста к спонтанному и количества АОК в селезенке у животных опытной и контрольной групп;
фиг.5 – суставной хрящ животного контрольной серии вне зоны дефекта, 3 сутки, микрофотография, окр. Г-Э, ув. 10×40;
фиг.6 – суставной хрящ животного контрольной серии вне зоны дефекта, 7 сутки, микрофотография, окр. Г-Э, ув. 10×20;
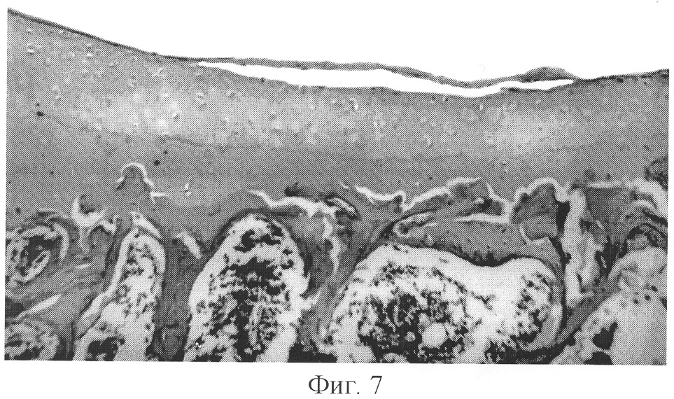
фиг.7 – суставной хрящ животного контрольной серии вне зоны дефекта, 7 сутки, микрофотография, окр. Г-Э, ув. 10×8;
фиг.8 – суставной хрящ животного контрольной серии вне зоны дефекта, 15 сутки, микрофотография, окр. Г-Э, ув. 10×40;
фиг.9 – синовиальная оболочка сустава животного контрольной серии, 21 сутки, микрофотография, окр. Г-Э, ув. 10×40;
фиг.10 – суставной хрящ животного опытной серии вне зоны дефекта, 3 сутки, микрофотография, окр. Г-Э, ув. 10×8;
фиг.11 – суставной хрящ животного опытной серии вне зоны дефекта, 7 сутки, микрофотография, окр. Г-Э, ув. 10×20;
фиг.12 – суставной хрящ животного опытной серии вне зоны дефекта, 21 сутки, микрофотография, окр. Г-Э, ув. 10×20;
фиг.13 – синовиальная оболочка сустава животного опытной серии, 28 сутки, микрофотография, окр. В-Г, ув. 10×40.
СПОСОБ ОСУЩЕСТВЛЯЕТСЯ СЛЕДУЮЩИМ ОБРАЗОМ
После травм крупных суставов, например коленного сустава, или после оперативных вмешательств на крупных суставах для профилактики развития посттравматического остеоартроза в сочетании с традиционной комплексной терапией (лечебная физкультура, массаж, физиотерапия) подкожно четырехкратно 1 раз в сутки с интервалом в 24 часа вводится иммуномодулятор миелопид в дозе 50 мкг/кг веса.
ПРИМЕР КОНКРЕТНОГО ИСПОЛЬЗОВАНИЯ
Способ апробирован в экспериментальных условиях на 140 крысах линии Вистар, массой 150-170 г, содержащихся в одинаковых условиях на стандартном пищевом режиме. Животные составили 2 серии экспериментов по 70 в каждой. Животным обеих серий наносилась стандартная травма хряща (дырчатый дефект в области внутреннего мыщелка бедренной кости). В первой серии (экспериментальной) четырехкратно 1 раз в сутки с интервалом в 24 часа подкожно вводился миелопид в дозе 50 мкг/кг веса животного в объеме, равном 0,2 мл. Животным второй серии (контрольной) в том же объеме подкожно вводился физиологический раствор натрия хлорида. Из эксперимента животных выводили через 1, 3, 5, 7, 15, 21 и 28 суток после нанесения травмы путем передозировки эфирного наркоза. При аутопсии обращали внимание на состояние и внешний вид травмированных суставных поверхностей вне зоны дефекта. Для оценки иммунного статуса в течение первых 3 недель проводили изучение состояния неспецифического (фагоцитарный индекс, фагоцитарное число, НСТ-тест) и специфического (количество АОК селезенки по методике Зауэр) иммунитета. НСТ-тест проводили в спонтанных и стимулированных зимозаном условиях, после чего вычисляли коэффициент отношения стимулированного к спонтанному НСТ-тесту. Травмированные суставы подвергались гистологическому исследованию по общепринятой методике с фиксацией в нейтральном формалине, заливкой в парафин, изготовлением тангенциальных серийных срезов с окраской гематоксилин-эозином, по Ван-Гизон, и с использованием ШИК-реакции. Для оценки профилактического действия иммуномодулятора миелопида проводили комплексную оценку иммунологических и морфологических методов с последующей статистической обработкой полученных данных методами однофакторного дисперсионного анализа.
Макроскопически было установлено, что у всех животных контрольной серии через 28 суток после нанесения травмы суставной хрящ в области мыщелков бедренной кости вне зоны дефекта был шероховатый, матового оттенка (Фиг.1). В опытной серии экспериментов после введения миелопида суставной хрящ в тех же участках был гладкий, прозрачный (Фиг.2).
При изучении иммунологических показателей было выявлено, что у животных опытной группы при введение миелопида по сравнению с контрольной отмечалось уменьшение количества нейтрофилов, принимающих участие в фагоцитозе (функциональной активности). Однако одновременно увеличивалось их фагоцитарное число, что говорило об их большей, по сравнению с контролем, функциональной полноценности (Фиг.3). Кроме этого было выявлено повышение функционального резерва фагоцитов у животных при введении миелопида и увеличение количества АОК в селезенке (Фиг.4).
Из представленных фигур видно, что пики активности неспецифического иммунитета по данным НСТ-теста и фагоцитоза приходятся на 4 и 15 сутки, специфического иммунитета по данным АОК приходится на 6 сутки. Из этого следует, что миелопид модулирует иммунный ответ на протяжении всех первых 2-х недель после травмы, то есть в острейшую и острую фазы воспаления.
Результаты гистологического исследования показали, что в контрольной серии экспериментов на ранних сроках (1-3 сутки) после травмы отмечается отек и дезорганизация структуры хряща вне зоны дефекта, проявляющаяся стертостью слоистости и отсутствием четкой вертикальной столбчатости лакун хондроцитов (Фиг.5). Далее (3-7 сутки) на поверхности хряща появляются вертикальные узуры (Фиг.6), происходит отслоение поверхностной бесклеточной пластинки (Фиг.7). К 15 суткам нарастают признаки атрофии хряща в виде его истончения и появления крупных вакуолизированных хондроцитов с пикноформноизмененными ядрами (Фиг.8). На поздних сроках (21-28 сутки) в контрольной серии отмечаются явления, характерные для II-III стадии остеоартроза: выраженная деформация суставных поверхностей, дезорганизация структуры хряща, диффузная вакуолизация хондроцитов с пикнозом ядер, деполимеризация основного вещества межклеточного матрикса, признаки продуктивного синовита (Фиг.9).
В опытной группе экспериментов по сравнению с контрольной на ранних сроках (1-3 сутки) отмечается незначительный отек хряща вне зоны дефекта. Сохраняется вертикальная столбчатость и зональность хряща в целом (Фиг.10). В дальнейшем (3-15 сутки) признаки атрофии хряща отсутствуют. В отличие от контрольной группы поверхность хряща ровная. Хондроциты располагаются в лакунах упорядоченно по 1-2 клетки. Межклеточный матрикс гомогенный (Фиг.11). На поздних сроках (21-28 сутки) хрящ без выраженных изменений (Фиг.12). Синовиальная оболочка фиброзного типа без признаков воспаления (Фиг.13).
В результате комплексной оценки данных иммунологических и морфологических исследований было установлено, что препарат миелопид, модулируя реакции неспецифического и гуморального иммунитета, достоверно уменьшает выраженность дегенеративно-дистрофических изменений суставного хряща вне зоны дефекта путем уменьшения воспалительных и вторичных альтеративных процессов. Последнее может способствовать раннему восстановлению функции сустава и нормализации питания хряща.
Таким образом, профилактическое подкожное четырехкратное 1 раз в сутки с интервалом в 24 часа введение миелопида в дозе 50 мкг/кг веса эффективно предотвращает развитие остеоартроза после стандартной травмы суставной поверхности.
Формула изобретения
Способ профилактики посттравматического остеоартроза, отличающийся тем, что используют официнальный препарат иммуномодулятор миелопид подкожно четырехкратно 1 раз в сутки с интервалом в 24 ч в дозе 50 мкг/кг веса.
РИСУНКИ
MM4A – Досрочное прекращение действия патента СССР или патента Российской Федерации на изобретение из-за неуплаты в установленный срок пошлины за поддержание патента в силе
Дата прекращения действия патента: 09.07.2006
Извещение опубликовано: 20.08.2007 БИ: 23/2007
|
|