|
(21), (22) Заявка: 2004118344/14, 16.06.2004
(24) Дата начала отсчета срока действия патента:
16.06.2004
(45) Опубликовано: 27.02.2006
(56) Список документов, цитированных в отчете о поиске:
ГОЛЯХОВСКИЙ В. и др. Руководство по чрескостному остеосинтезу методом Илизарова. – СПб.: БИНОМ, 1999, 238-249. Перевод с английского. RU 2159588 С2 27.11.2000. ЛИ А.Д. и др. Руководство по чрескостному компрессионно-дистракционному остеосинтезу. – Томск, 2002, 145-146.
Адрес для переписки:
634050, г.Томск, Московский тракт, 2, СибГМУ, отдел ИС, пат. пов. Н.Г. Зубаревой
|
(72) Автор(ы):
Юркевич Виктор Васильевич (RU), Пекшев Аркадий Викторович (RU), Подгорнов Валерий Викторович (RU), Митасов Валерий Яковлевич (RU), Корольков Александр Вадимович (RU)
(73) Патентообладатель(и):
Государственное образовательное учреждение высшего профессионального образования “Сибирский государственный медицинский университет Министерства здравоохранения Российской Федерации” (ГОУВПО СибГМУ Минздрава России) (RU), Томский военно-медицинский институт (ТВМедИ) (RU), Юркевич Виктор Васильевич (RU), Пекшев Аркадий Викторович (RU), Подгорнов Валерий Викторович (RU), Митасов Валерий Яковлевич (RU)
|
(54) СПОСОБ ВОССТАНОВЛЕНИЯ ПЕРВОГО ПАЛЬЦА СТОПЫ ПРИ ПОВРЕЖДЕНИЯХ И ИХ ПОСЛЕДСТВИЯХ
(57) Реферат:
Изобретение относится к медицине, в частности к гнойно-септической и реконструктивно-восстановительной хирургии для восстановления костных и мягкотканых структур первого пальца стопы. Для повышения надежности и качества оперативного вмешательства, уменьшения количества осложнений, восстановления опороспособной функции конечности, повышения качества жизни пациента, более ранней активизации пациента, сокращения сроков лечения образующийся костный дефект после секвестрнекрэктомии замещают кровоснабжаемым комплексом тканей, включающим костный фрагмент, выкраиваемый из дистального метаэпифизарного отдела большеберцовой кости и кожно-фасциальный островковый лоскут с тыльной области стопы на дистальной сосудистой ножке, производят ротацию на 180°, после чего костный фрагмент фиксируют телескопически спицами к культе основной фаланги первого пальца, которую окутывают кожно-фасциальным лоскутом и далее подшивают по периметру к краю дефекта покровных тканей, после чего стопу фиксируют в положении 90° КДА Г.А.Илизарова. 9 ил. 
Изобретение относится к медицине, в частности к гнойно-септической и реконструктивно-восстановительной хирургии, и может быть использовано для восстановления костных и мягкотканых структур первого пальца стопы.
Известен способ хирургического восстановления дефекта фаланг первого пальца стопы, заключающийся в направленном остеогенезе аппаратом КДА Г.А.Илизарова [В.Голяховский, В.Френкель. Руководство по чрескостному остеосинтезу методом Илизарова].
Способ осуществляют следующим образом:
1. Остеотомия культи основной фаланги первого пальца стопы.
2. Проведение через каждый фрагмент культи основной фаланги первого пальца двух перекрещивающихся спиц и монтаж на них колец КДА Г.А.Илизарова, соединенных между собой двумя штангами.
3. Постепенное наращивание регенерата кости путем увеличения расстояния между кольцами аппарата.
Данному способу присущи следующие недостатки:
1) Малые размеры культи фаланги пальца затрудняют проведение остеотомии, монтажа КДА Г.А.Илизарова.
2) При наличии дефекта мягких тканей не осуществляется его устранение.
3) Отсутствие адекватного кровоснабжения культи пальца увеличивает риск рецидива остеомиелитического процесса.
4) Длительное время, которое необходимо для полноценной перестройки регенерата кости культи и восстановления его механической прочности.
Задачами, решаемыми предлагаемым способом, являются повышение надежности и качества оперативного вмешательства; уменьшение количества осложнений, восстановление опороспособной функции конечности, повышение качества жизни пациента, ранняя активизация пациента, сокращение сроков лечения.
Поставленную задачу решают новым способом, заключающимся в секвестрнекрэктомии пораженного участка и последующей фиксации сегмента конечности, причем образующийся костный дефект замещают кровоснабжаемым комплексом тканей, включающим костный фрагмент, выкраиваемый из дистального метаэпифизарного отдела большеберцовой кости и кожно-фасциальный островковый лоскут с тыльной области стопы на дистальной сосудистой ножке, производят ротацию на 180°, после чего костный фрагмент фиксируют телескопически спицами к культе основной фаланги первого пальца, которую окутывают кожно-фасциальным лоскутом и далее подшивают по периметру к краю дефекта покровных тканей. После этого стопу фиксируют в положении 90° КДА Г.А.Илизарова.
Способ осуществляют следующим образом: схема, иллюстрирующая поэтапное выполнение операции представлена на фигуре 1-3.
1. На фигуре №1 показан уровень выполненной резекции пораженного участка костного фрагмента культи первого пальца стопы.
2. На фигуре №2 показан вариант забора костного трансплантата из большеберцовой кости, входящего в состав кожно-фасциального тыльного лоскута стопы. После мобилизации комплекса тканей производят его ротацию на 180°.
3. На фигуре №3 показано перемещение на дистальной сосудистой ножке поднятого лоскута и телескопическое внедрение трансплантата в культю кости с фиксацией спицей. Костный трансплантат укрыт покровными тканями лоскута. Фиксация стопы в положении 90° наложением КДА Г.А.Илизарова.
1. Использование кровоснабжаемого трансплантата из большеберцовой кости приводит к сращению по типу первичного заживления.
2. Кровоснабжаемый костный трансплантат в течение до 1 года подвергается полной перестройке с сохранением своей структуры, без утраты прочности.
3. Использование губчатого костного трансплантата из метаэпифизарной части большеберцовой кости позволяет сохранить большее количество остеогенных клеток в нем.
4. Сочетание костного и мягкотканого компонентов в одном кровоснабжаемом комплексе тканей особенно актуально при наличии в зоне поражения дефекта покровных тканей.
5. Кровоснабжаемый комплекс тканей, представляющий кожно-костный островковый лоскут с тыльной поверхности стопы, становится еще и дополнительным источником кровоснабжения для пораженной патологическим процессом кости и окружающих тканей. Он устойчив к инфекции, трофическим расстройствам в закрываемой ране, обеспечивает резорбцию оставшихся очагов некроза, сохраняя глубже расположенные анатомические структуры.
Клинический пример
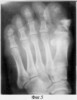
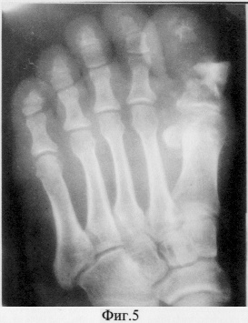
Больная Ю. поступила в клиники ТВМИ (Томск) с диагнозом: Посттравматический остеомиелит основной фаланги 1 пальца правой стопы с обширным некрозом мягких тканей на тыльной ее поверхности (фиг.4, 5).
Длительность заболевания 2 месяца. Остеомиелитический процесс развился после падения на стопу трубы с размозжением мягких тканей и основной фаланги 1 пальца. После предоперационной подготовки, включавшей в себя антибиотикотерапию, противовоспалительное, обезболивающее лечение, сосудистую терапию, гипербарическую оксигенацию выполнена операция, согласно предлагаемому способу.
Этапы оперативного вмешательства
Первым этапом выполнена секвестрнекрэктомия пораженной основной фаланги первого пальца стопы. После удаления некроза и костных фрагментов покровных тканей на тыле 1-го пальца образовался кожно-костный дефект размерами 5×3 сантиметра.
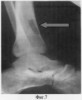
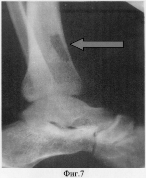
Вторым этапом для ликвидации кожно-костного дефекта согласно предлагаемому способу выделен передний большеберцовый сосудистый пучок с уровня голеностопного сустава до метафизарной части дистального отдела большеберцовой кости, где и был взят костный фрагмент размерами 3×1×1 сантиметр вместе с кожно-фасциальным тыльным лоскутом стопы размерами 5×3 сантиметра (фиг.6, 7).
Большеберцовый сосудистый пучок пересечен в проксимальной своей части. Сформированный комплекс тканей на дистальной сосудистой ножке ротирован на 180 градусов и перемещен на передний отдел стопы в зону поражения 1-го пальца.
После чего кровоснабжаемый костный трансплантат телескопически внедрен в основание основной фаланги первого пальца и фиксирован спицей, а кожно-фасциальный лоскут подшит к краям дефекта покровных тканей по периметру (фиг.8, 9).
Донорское ложе на стопе после подъема лоскута закрыто свободным кожным трансплантатом с одноименного бедра (толщиной 0,6 мм).
Третьим этапом выполнена фиксация голени и стопы в положении 90 градусов в голеностопном суставе с помощью компрессионно-дистракционного аппарата Г.А.Илизарова.
В раннем послеоперационном периоде проводили антибиотикотерапию, противовоспалительное лечение, витаминотерапию, сосудистую терапию, медикаментозные блокады поперечного сечения по А.В.Рожкову [3], гипербарическую оксигенацию, раннюю ЛФК, нагрузку на стопу разрешили со 2 дня после операции.
Таким образом, предлагаемая методика органосохраняющих операций при повреждениях и заболеваниях коротких костей стопы позволяет повысить надежность и качество оперативного вмешательства; уменьшить количество осложнений, восстановить опороспособную функцию конечности и повысить качество жизни пациента, применить раннюю активизацию пациента, сократить сроки лечения, что обеспечивает быструю социальную и трудовую реабилитацию пострадавших.
Источники информации
1) Никитин Г.Д., Рак А.В., Линник С.А., Агафонов И.А. Хронический остеомиелит. М.: Медицина, 1990. – 200 с.
2) Голяховский В., Френкель В. Руководство по чрескостному остеосинтезу методом Илизарова. СПб., 1999. – 269 с.
3) Ефименко Н.А, Рыбаков С.М., Грицюк А.А., Рябов А.Л. Хирургическое лечение заболеваний и повреждений стопы. – Военно-медицинский журнал. – Том CCCXXXIII. – №4. – 2002. – С.12-18.
4) Дерябин И.И., Насонелин А.В. Травматическая болезнь. М.: Медицина, 1984 г. – C.278.
Формула изобретения
Способ восстановления первого пальца при повреждениях и их последствиях, включающий фиксацию сегмента конечности компрессионно-дистракционным аппаратом Г.А.Илизарова, отличающийся тем, что производят секвестрнекрэктомию пораженного участка, образующийся костный дефект замещают кровоснабжаемым комплексом тканей, включающим костный фрагмент, выкраиваемый из дистального метаэпифизарного отдела большеберцовой кости и кожно-фасциальный островковый лоскут с тыльной области стопы на дистальной сосудистой ножке после ротации его на 180°, после чего костный трансплантат телескопически внедряют в основание основной фаланги первого пальца и фиксируют спицей, кожно-фасциальный лоскут подшивают к краям дефекта покровных тканей по периметру, стопу фиксируют в положении 90°.
РИСУНКИ
MM4A – Досрочное прекращение действия патента СССР или патента Российской Федерации на изобретение из-за неуплаты в установленный срок пошлины за поддержание патента в силе
Дата прекращения действия патента: 17.06.2006
Извещение опубликовано: 20.08.2007 БИ: 23/2007
|