|
(21), (22) Заявка: 2002120564/14, 29.07.2002
(24) Дата начала отсчета срока действия патента:
29.07.2002
(43) Дата публикации заявки: 10.03.2004
(45) Опубликовано: 20.08.2005
(56) Список документов, цитированных в отчете о поиске:
SU 664646 А, 30.05.1979. RU 95120120/14 А, 20.10.1997. US 6033412, 07.03.2000. ГОЛЯХОВСКИЙ В. и др. Руководство по чрескостному остеосинтезу методом Илизарова. М.: Издательство «Бином» – СПб: Невский диалект, 1999, с.181, 208.
Адрес для переписки:
640014, г.Курган, ул. М. Ульяновой, 6, РНЦ “Восстановительная травматология и ортопедия” им. акад. Г.А. Илизарова, научная патентно-лицензионная группа
|
(72) Автор(ы):
Новиков К.И. (RU), Аранович А.М. (RU), Щукин А.А. (RU), Диндиберя Е.В. (RU)
(73) Патентообладатель(и):
Российский научный центр “Восстановительная травматология и ортопедия” им. акад. Г.А. Илизарова (RU)
|
(54) СПОСОБ УДЛИНЕНИЯ ТРУБЧАТОЙ КОСТИ
(57) Реферат:
Изобретение относится к медицине, а именно к ортопедии и травматологии, и может быть применимо для удлинения трубчатой кости. Производят минимум двойную остеотомию кости. Осуществляют дозированное продольное перемещение выделенных фрагментов до восстановления необходимой длины кости. Отклоняют в ходе перемещения промежуточный фрагмент от продольной оси сегмента. Перемещают промежуточный фрагмент в приданном положении продольно. В частном случае, при одновременном перемещении нескольких промежуточных фрагментов их смежные концы отклоняют в противоположных направлениях. В частном случае, в ходе остеотомии у взрослых пациентов на концах формируемого промежуточного фрагмента производят частичное отслоение надкостницы. Способ обеспечивает равномерное по всему поперечнику кости формирование регенерата, способного после перестройки выдерживать статико-динамическую нагрузку. 2 з.п. ф-лы, 4 ил. 
Изобретение относится к области медицины, в частности к ортопедии, и может быть использовано при лечении больных с укорочениями костей конечностей.
Известен способ удлинения истонченной кости конечности [1], предусматривающий выполнение на максимальном протяжении косопродольной остеотомии кости с последующим частичным смещением остеотомированных фрагментов по ширине и продольно относительно друг друга. Однако выполнить указанный вид остеотомии не всегда имеется возможность, а одновременное смещение отломков в продольном и поперечном направлениях сопряжено с техническими трудностями и приводит к нарушению соосности суставных поверхностей удлиняемого сегмента.
Известен способ удлинения трубчатых костей [2], включающий полилокальное нарушение целостности кости с последующим дозированным продольным перемещением выделенных фрагментов и их стабильной фиксацией до перестройки участков сформированного костного регенерата с помощью компрессионно-дистракционного аппарата.
Однако в ряде случаев, особенно при больших величинах удлинения, отмечается формирование истонченных костных регенератов, что вызывает необходимость их периодической компактизации и увеличивает продолжительность перестройки с риском развития деформации удлиняемого сегмента.
Задачей изобретения является разработка способа удлинения трубчатой кости, обеспечивающего равномерное, по всему поперечнику кости, формирование костного регенерата, способного после перестройки выдержать статико-динамическую нагрузку.
Указанная задача решается тем, что в способе удлинения трубчатой кости, включающем минимум двойную остеотомию кости и дозированное продольное перемещение выделенных фрагментов до восстановления необходимой длины кости с последующей фиксацией с помощью компрессионно-дистракционного аппарата, в ходе перемещения промежуточный фрагмент отклоняют от продольной оси сегмента и в приданном положении перемещают продольно.
При этом предусматривается, что:
– при одновременном перемещении нескольких промежуточных фрагментов их смежные концы отклоняют в противоположных направлениях.
– в ходе остеотомии у взрослых пациентов на концах формируемого промежуточного фрагмента производят частичное отслоение надкостницы.
Выполнение заявляемого способа иллюстрируется описанием и примером его клинического использования.
Способ осуществляется следующим образом.
После анестезии и обработки операционного поля известными приемами осуществляют остеосинтез укороченного сегмента. При его выполнении фиксирующие спицы перекрестно проводят через зоны проксимального и дистального метаэпифизов кости (на двукостных сегментах – через обе), а также через ее диафизарную часть, исходя из планируемого количества промежуточных фрагментов. Свободные концы спиц крепят на устанавливаемых на соответствующем уровне опорах, которые соединяют между собой с возможностью дозированного перемещения.
Вслед за этим через разрезы мягких тканей производят поперечную остеотомию кости. Первоначально ее выполняют в проксимальном и дистальном отделах, а затем и на протяжении диафиза, формируя необходимое – обычно один-три – количество промежуточных фрагментов. При этом у взрослых больных на концах последних одновременно отслаивают и надкостницу на протяжении 0,5-1,0 см. Операцию завершают выполнением контрольной рентгенографии, ушиванием ран и наложением асептических повязок.
В послеоперационном периоде, начиная с 5-7 дня, производят дозированное продольное перемещение (дистракцию) выделенных фрагментов. После появления рентгенологических признаков формирования костного регенерата в зонах дистракции промежуточные фрагменты – одномоментно или дозированно – отклоняют от продольной оси сегмента на 10-15 градусов. При этом положение проксимального и дистального фрагментов оставляют неизменным, сохраняя тем самым анатомически правильное соотношение их суставных поверхностей. Сохраняя приданное положение промежуточных фрагментов, их продольную дистракцию продолжают дальше до восстановления необходимой длины сегмента. Темп перемещения варьируют в пределах 0,5-1,0 мм в сутки на каждом из уровней дистракции.
У взрослых предварительное отслоение надкостницы на концах промежуточных фрагментов в ходе дистракции способствует развитию периостальной реакции, что является дополнительным источником регенерации кости и обеспечивает увеличение поперечных размеров (объема) формируемых регенератов и ускоряет их перестройку в зрелую костную ткань на этапе стабильной фиксации. У детей же при отклонении промежуточных фрагментов от продольной оси сегмента аналогичный эффект достигается в силу подвижности и эластичности надкостницы.
Стабильную фиксацию поддерживают до перестройки участков сформированного регенерата в зрелую костную ткань. Дополнительной иммобилизации конечности после демонтажа аппарата, как правило, не требуется; больному назначают курс ЛФК.
Практическое выполнение способа иллюстрируется следующим клиническим наблюдением.
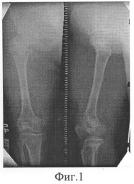
Больная М.,13 лет, поступила в клинику с диагнозом: Ахондроплазия, низкий рост (фиг.1). Для увеличения размеров конечностей больной выполнена операция: двойные остеотомии бедер, остеосинтез аппаратом внешней фиксации.
В ходе операции после анестезии и обработки операционного поля провели фиксирующие спицы через зоны проксимального и дистального метаэпифизов бедренной кости, а также через ее диафизарную часть в средней трети. Свободные концы спиц закрепили на внешних опорах аппарата, которые соединили между собой с возможностью дозированного перемещения и углового разворота.
Вслед за этим через разрезы мягких тканей произвели поперечную остеотомию в проксимальном и дистальном отделах бедренной кости. Аналогичным образом произведено нарушение целостности и остеосинтез другого бедра. Операцию завершили выполнением контрольной рентгенографии, ушиванием ран и наложением асептических повязок.
В послеоперационном периоде, начиная с 5-7 дня, производили дозированное продольное перемещение выделенных фрагментов обеих бедер. После появления рентгенологических признаков формирования костного регенерата в зонах дистракции – на 10 день – промежуточные фрагменты дозированно, в течение 5-ти дней, угловым разворотом средних опор отклонили от продольной оси сегментов на 15 градусов (фиг.2). При этом положение проксимального и дистального фрагментов оставили неизменным. Сохраняя приданное положение промежуточных фрагментов, продолжали продольную дистракцию до восстановления длины сегментов. Темп перемещения варьировали в пределах 0,5-1,0 мм в сутки на каждом из уровней дистракции, общая продолжительность которой составила 57 дней. Срок последующей фиксации в аппарате – 39 дней (фиг.3, 4). После демонтажа аппарата дополнительной иммобилизации конечности не производилось; больная прошла курс ЛФК.
В результате лечения длина бедер увеличена на 10 см. При этом в течение всего периода дистракции отмечалось равномерное формирование костных регенератов по всей площади противостоящих концов фрагментов с увеличением поперечных размеров (объема) регенератов после отклонения промежуточных фрагментов бедер от продольной оси сегментов. Это обеспечило оптимальные условия для последующей органотипической перестройки регенератов, что подтверждается минимальными для данной величины удлинения сроками аппаратной фиксации.
Выполнение способа обеспечивает равномерное, по всему поперечнику кости, формирование костного регенерата, способного после перестройки выдержать статико-динамическую нагрузку, что снижает общую продолжительность лечения.
Источники информации
1. А.с. СССР №664646, опубл. 30.05.79, бюл. №20.
2. Попков А.В., Шевцов В.И. Ахондроплазия / руководство для врачей. – М.: Медицина, 2001. С.73-114.
Формула изобретения
1. Способ удлинения трубчатой кости, включающий минимум двойную остеотомию кости и дозированное продольное перемещение выделенных фрагментов до восстановления необходимой длины кости с последующей фиксацией с помощью компрессионно-дистракционного аппарата, отличающийся тем, что в ходе перемещения промежуточный фрагмент отклоняют от продольной оси сегмента и в приданном положении перемещают продольно.
2. Способ по п.1, отличающийся тем, что при одновременном перемещении нескольких промежуточных фрагментов их смежные концы отклоняют в противоположных направлениях.
3. Способ по п.1, отличающийся тем, что в ходе остеотомии у взрослых пациентов на концах формируемого промежуточного фрагмента производят частичное отслоение надкостницы.
РИСУНКИ
MM4A Досрочное прекращение действия патента Российской Федерации на изобретение из-за неуплаты в установленный срок пошлины за поддержание патента в силе
Дата прекращения действия патента: 30.07.2005
Извещение опубликовано: 27.01.2007 БИ: 03/2007
|