Патент на изобретение №2256418

Published by on




РОССИЙСКАЯ ФЕДЕРАЦИЯ



ФЕДЕРАЛЬНАЯ СЛУЖБА
ПО ИНТЕЛЛЕКТУАЛЬНОЙ СОБСТВЕННОСТИ,
ПАТЕНТАМ И ТОВАРНЫМ ЗНАКАМ
(19) RU (11) 2256418 (13) C1
(51) МПК 7
A61B17/56
(12) ОПИСАНИЕ ИЗОБРЕТЕНИЯ К ПАТЕНТУ

Статус: по данным на 18.01.2011 – прекратил действие

(21), (22) Заявка: 2003130348/14, 14.10.2003

(24) Дата начала отсчета срока действия патента:

14.10.2003

(45) Опубликовано: 20.07.2005

(56) Список документов, цитированных в отчете о
поиске:
ГАФАРОВ Х.З. Лечение детей и подростков с ортопедическими заболеваниями нижних конечностей. Казань: Татарское книжное издательство, 1995, 254-258. RU 2192195 С2, 10.11.2002. SU 724132 A1, 30.03.1980. SU 1821163 A1, 15.06.1993. МИНЕЕВ К.П. Руководство по ортопедии. Ульяновск: Симбирская книга, 1998, с.366-367.

Адрес для переписки:

640014, г.Курган, ул. М. Ульяновой, 6, РНЦ “Восстановительная травматология и ортопедия” им. акад. Г.А. Илизарова, научная патентно-лицензионная группа

(72) Автор(ы):

Шевцов В.И. (RU),
Тропин В.И. (RU)

(73) Патентообладатель(и):

Российский научный центр “Восстановительная травматология и ортопедия” им. акад. Г.А. Илизарова (RU)

(54) СПОСОБ ЛЕЧЕНИЯ ЮНОШЕСКОГО ЭПИФИЗЕОЛИЗА ГОЛОВКИ БЕДРЕННОЙ КОСТИ

(57) Реферат:

Изобретение относится к области медицины, в частности – к ортопедии, и при лечении больных с юношеским эпифизеолизом головки бедренной кости с различной степенью смещения головки бедра. Сущность: в ходе репозиции после наружной ротации, разгибания и приведения бедра положение эпифиза фиксируют трансацетабулярно введенными спицами, далее бедро сгибают, ротируют кнутри и отводят, а затем фиксируют сопоставленные в результате этого фрагменты пучком спиц, удаляют трансацетабулярно введенные ранее спицы и, придав бедру положение нормокоррекции, выполняют закрытый остеосинтез бедренной и подвздошной костей аппаратом внешней фиксации, при этом последующее поддержание условий разгрузки в тазобедренном суставе осуществляют до консолидации фрагментов пораженного сегмента, что предупреждает развитие трофических расстройств. 1 ил.

Изобретение относится к области медицины, в частности – к ортопедии, и может быть использовано при лечении больных с юношеским эпифизеолизом головки бедренной кости с различной степенью смещения эпифиза при отсутствии его синостоза.

Известен способ лечения острых форм юношеского эпифизеолиза головки бедра (1), включающего закрытую репозицию костных фрагментов с их фиксацией пучком спиц и последующую разгрузку тазобедренного сустава до консолидации пораженного сегмента. Однако данный способ не исключает развития послеоперационных осложнений, что обусловлено сложностью репозиции фрагментов, особенно в случаях значительного смещения эпифиза бедренной кости.

Известен способ лечения юношеского эпифизеолиза головки бедренной кости (2) при отсутствии синостоза шейки и эпифиза бедра. Способ предусматривает вскрытие капсулы сустава, фиксацию ростковой зоны и конечности аппаратом внешней фиксации, дозированную репозицию фрагментов бедра с созданием условий разгрузки в тазобедренном суставе и последующую фиксацию фрагментов до их консолидации пучком спиц.

Однако, в силу необходимости вскрытия капсулы, фиксации эпифизарной зоны специальной пластиной и устранения компонентов деформации за счет разворота головки бедра относительно шейки, использование данного способа травматично, сопряжено с возможностью развития трофических осложнений и, как следствие, последующего коксартроза.

Задачей изобретения является разработка способа лечения юношеского эпифизеолиза головки бедра, обеспечивающего улучшение его функциональных результатов и предупреждение послеоперационных осложнений.

Указанная задача решается тем, что в способе лечения юношеского эпифизеолиза головки бедра, включающем репозицию фрагментов бедра, фиксацию последних введенным по оси шейки пучком спиц, бедренной и подвздошной костей аппаратом с созданием условий разгрузки в тазобедренном суставе, в ходе репозиции, после наружной ротации, разгибания и приведения бедра, положение эпифиза фиксируют трансацетабулярно введенными спицами, далее бедро сгибают, ротируют кнутри и отводят, а затем фиксируют сопоставленные в результате этого фрагменты пучком спиц, удаляют трансацетабулярно введенные ранее спицы и, придав бедру положение нормокоррекции, выполняют закрытый остеосинтез бедренной и подвздошной костей, при этом последующее поддержание условий разгрузки в тазобедренном суставе осуществляют до консолидации фрагментов пораженного сегмента.

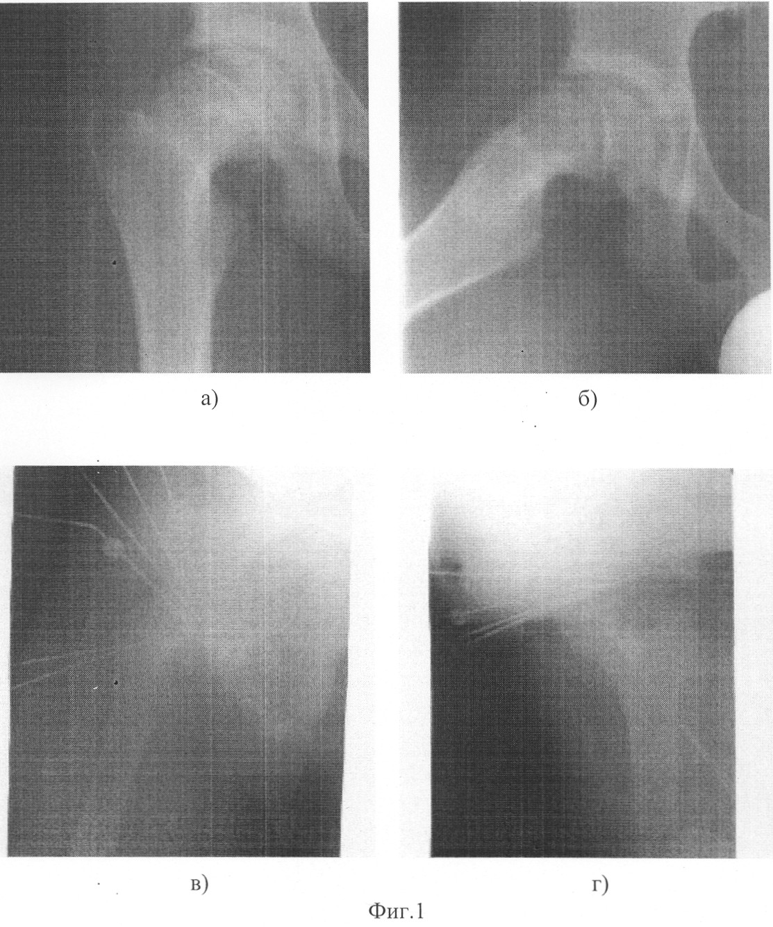
Заявляемое изобретение поясняется описанием и примером практического использования, а также иллюстративным материалом, включая:

Фоторентгенограммы больного К. произведены на чертеже,

где а, б – до лечения;

в, г – фиксация эпифиза трансацетабулярно проведенными спицами;

д – остеосинтез бедренной и подвздошной костей аппаратом Илизарова с созданием условий разгрузки в тазобедренном суставе;

е, ж – отдаленный результат.

Способ осуществляется следующим образом.

В условиях анестезии, с использованием тазовой приставки к ортопедическому столу, выполняют первоначальную репозицию эпифиза бедра на стороне поражения. При этом, с учетом величины смещения эпифиза, бедро вплоть до максимального уровня, ротируют кнаружи, разгибают и приводят. Тем самым обеспечивают центрацию эпифиза относительно вертлужной впадины, что контролируется рентгенологически.

Центрированное положение эпифиза фиксируют 2-4 трансацетабулярными спицами, которые проводят через верхне-наружный край вертлужной впадины, эпифиз и вводят в нижний край вертлужной впадины. Точность проведения этих спиц также контролируется рентгенологически.

Вслед за этим осуществляют сопоставление шейки бедра с центрированным эпифизом. Для этого, с учетом величины смещения, бедро сгибают, ротируют кнутри и отводят. Отрепонированные таким образом фрагменты бедра фиксируют пучком спиц, введенных в них по оси шейки в головку. После рентгенконтроля ранее введенные чрезацетабулярно спицы удаляют, придают бедру положение нормокоррекции и по известной методике с помощью аппарата внешней фиксации выполняют остеосинтез подвздошной и бедренной костей с созданием условий разгрузки в тазобедренном суставе.

Операцию завершают выполнением контрольной рентгенографии и стабилизацией систем аппарата.

В послеоперационном периоде аппаратную фиксацию осуществляют до полной консолидации фрагментов бедра. При этом, начиная с первых дней, больного активизируют, рекомендуя ходьбу с полной нагрузкой на оперированную конечность. После демонтажа аппарата дополнительной иммобилизации не требуется; больному назначают курс ЛФК с постепенно увеличивающейся нагрузкой на конечность.

Практическое использование способа иллюстрируется следующим клиническим наблюдением.

Больной К., 14 лет поступил в клинику с диагнозом: юношеский эпифизеолиз головки бедренной кости; рентгенологически – смещение эпифиза кзади 60 градусов.

Больному выполнена операция: закрытая репозиция фрагментов, остеосинтез бедренной и подвздошной костей аппаратом Илизарова.

В ходе операции, согласно предложенному способу, после центрации эпифиза относительно вертлужной впадины путем установки бедра в положение максимальной наружной ротации, полного разгибания и приведения 15 градусов, его фиксировали четырьмя трансацетабулярно введенными спицами. После этого, сгибанием до 60, внутренней ротацией на 70 и отведением на 15 градусов, выполнили репозицию эпифиза и шейки, которые фиксировали введенным по оси шейки пучком спиц. Удалив трансацетабулярно введенные спицы, бедро вывели в положение нормокоррекции и с применением аппарата Илизарова произвели остеосинтез подвздошной и бедренной костей с созданием условий разгрузки в тазобедренном суставе.

В послеоперационном периоде, до полной консолидации фрагментов бедра, в течение 67 дней осуществляли аппаратную фиксацию области тазобедренного сустава с поддержанием в нем условий разгрузки. При выписке больному в течение 3-х месяцев была рекомендована ходьба с костылями при постепенном увеличении нагрузки на оперированную конечность. Осложнений, связанных с проведением закрытой репозиции и аппаратной фиксации, не отмечалось.

На контрольном осмотре через шесть месяцев больной жалоб не предъявляет: ходит не хромая, с полной нагрузкой на ногу без дополнительных средств опоры, ось конечности правильная, движения в тазобедренном и коленном суставах в полном объеме; рентгенологически – полная консолидация эпифиза и шейки в анатомически правильном положении.

Таким образом, использование предложенного способа обеспечивает улучшение функциональных результатов и предупреждение послеоперационных осложнений.

Источники информации

1. Минеев К.П. Руководство по ортопедии. – Ульяновск: Симбирская книга, 1998, – с.366-367.

2. Гафаров Х.З. Лечение детей и подростков с ортопедическими заболеваниями нижних конечностей. – Казань: Татарское книжное издательство, 1995, – с.254-258.

Формула изобретения

Способ лечения юношеского эпифизеолиза головки бедра, включающий репозицию фрагментов бедра, фиксацию последних введенным по оси шейки пучком спиц, бедренной и подвздошной костей аппаратом внешней фиксации с созданием условий разгрузки в тазобедренном суставе до консолидации фрагментов, отличающийся тем, что в ходе репозиции, после наружной ротации, разгибания и приведения бедра положение эпифиза фиксируют трансацетабулярно введенными спицами, далее бедро сгибают, ротируют кнутри и отводят, а затем фиксируют сопоставленные в результате этого фрагменты пучком спиц, удаляют трансацетабулярно введенные ранее спицы и, придав бедру положение нормокоррекции, выполняют остеосинтез бедренной и подвздошной костей аппаратом внешней фиксации.

РИСУНКИ


MM4A Досрочное прекращение действия патента Российской Федерации на изобретение из-за неуплаты в установленный срок пошлины за поддержание патента в силе

Дата прекращения действия патента: 15.10.2005

Извещение опубликовано: 27.01.2007 БИ: 03/2007


Categories: BD_2256000-2256999