|
| На основании пункта 3 статьи 13 Патентного закона Российской Федерации от 23 сентября 1992 г. № 3517-I патентообладатель обязуется передать исключительное право на изобретение (уступить патент) на условиях, соответствующих установившейся практике, лицу, первому изъявившему такое желание и уведомившему об этом патентообладателя и федеральный орган исполнительной власти по интеллектуальной собственности, – гражданину РФ или российскому юридическому лицу. |
|
(21), (22) Заявка: 2004107274/14, 11.03.2004
(24) Дата начала отсчета срока действия патента:
11.03.2004
(45) Опубликовано: 20.07.2005
(56) Список документов, цитированных в отчете о поиске:
ЯБЛОКОВ В. С. и др. Хроническая венозная недостаточность. М.: Берег, 1999, с.128. RU 2186583 C2, 10.08.2002. RU 2166336 С1, 10.05.2001. БУРЛАКОВСКИЙ В.И., БОКЕРИЯ Л.А. Сердечно-сосудистая хирургия. М.: Медицина, 1996, с.722-724.
Адрес для переписки:
410012, г.Саратов, ГСП, ул. Б. Казачья, 112, Саратовский государственный медицинский университет, патентный отдел
|
(72) Автор(ы):
Гаврилов В.А. (RU), Чаббаров Р.Г. (RU), Пятницкий А.Г. (RU), Хворостухин В.С. (RU)
(73) Патентообладатель(и):
Гаврилов Владимир Александрович (RU), Чаббаров Рустям Гиняятуллаевич (RU), Пятницкий Александр Георгиевич (RU), Хворостухин Владимир Сергеевич (RU)
|
(54) СПОСОБ ЛЕЧЕНИЯ ВАРИКОЗНОЙ БОЛЕЗНИ НИЖНИХ КОНЕЧНОСТЕЙ ПРИ ЧАСТИЧНОЙ КЛАПАННОЙ НЕДОСТАТОЧНОСТИ БОЛЬШОЙ ПОДКОЖНОЙ ВЕНЫ
(57) Реферат:
Изобретение относится к области медицины, к сосудистой хирургии, в частности, к лечению варикозной болезни нижних конечностей при частичной клапанной недостаточности большой подкожной вены. Выделяют и пересекают начальный отдел большой подкожной вены кпереди от медиальной лодыжки. Заводят катетер в проксимальный конец вены в антеградном направлении. Катетер вводят до коленного уровня и заполняют участок большой подкожной вены на голени склеропрепаратом. Способ позволяет исключить возможность развития осложнений, связанных с оперативным вмешательством на сафено-феморальном соустье, снизить травматичность операции, упростить технику оперативного вмешательства и сократить его продолжительность, улучшить косметический эффект, проводить операцию в амбулаторных условиях. 6 ил.

Изобретение относится к медицине, к сосудистой хирургии, в частности к флебологии. Способ может быть применен при варикозной болезни нижних конечностей, сопровождающейся патологическим сафено-феморальным рефлюксом и частичной клапанной недостаточностью большой подкожной вены.
Одним из направлений в ликвидации патологического сафено-феморального рефлюкса является пластика несостоятельного остиального клапана. Наиболее известна экстравазальная коррекция остиального клапана большой подкожной вены лавсановой спиралью по А.Н.Веденскому [1]. Это дает возможность обойтись без кроссэктомии и сохранить ряд венозных сегментов для возможных артериальных реконструкций. Вместе с тем предотвратить их варикозную трансформацию может только ликвидация низкого вено-венозного сброса или непрерывная эластическая компрессия.
Гемодинамическое лечение варикозной болезни нижних конечностей (CHIVA – терапия – Conservative Hemodynamic Insufficiency Venous Ambulatory), предложенное С.Francheschi [2], предполагает в качестве оперативного пособия ликвидацию вено-венозного рефлюкса, включающую кроссэктомию и диссекцию перфорантных вен и удаление варикозно-расширенных притоков с сохранением ствола большой подкожной вены. Источники рефлюкса выявляются с помощью ультразвукового дуплексного ангиосканирования. Методика характеризуется минимальной операционной травмой и высокими косметическими результатами. В то же время у 10-15% больных после применения метода CHIVA развивается тромбофлебит неудаленной большой подкожной вены, что обусловлено значительным снижением в ней кровотока.
Другим вариантом гемодинамического лечения варикозной болезни является методика OCRAM (Operation Corrective Reflux Ambulatory Miniincisions), предложенная A. Nasi [3]. От вышеописанного способа данное вмешательство отличается тем, что после экстравазальной коррекции устья большой подкожной вены фрагментом фасции бедра или синтетическим материалом лигируется ствол большой подкожной вены тотчас ниже гунтеровского перфоранта, который должен обеспечивать перфузию сохраненного магистрального ствола. Это дает возможность отказаться от применения гепарина для профилактики тромбофлебита.
В настоящее время широкое распространение при лечении варикозной болезни, сопровождающейся клапанной недостаточностью магистральных подкожных вен, получила интраоперационная стволовая катетерная склеротерапия [4].
В качестве прототипа может быть рассмотрена следующая методика интраоперационной стволовой катетерной склеротерапии [5]. Больному осуществляется регионарная или внутривенная анестезия. После выполнения кроссэктомии сафено-феморального соустья (высокой приустьевой резекции большой подкожной вены) из пахового или надпахового доступа и пересечения несостоятельных перфорантных вен (из отдельных разрезов по Коккетту или с использованием операционной эндоскопии) кпереди от медиальной лодыжки из поперечного разреза длиной 0,5-1 см обнажают начальный отдел большой подкожной вены, который в этом месте пересекают, а дистальный ее отрезок перевязывают. В проксимальный конец вены проводят сосудистый катетер, диаметр которого несколько меньше диаметра просвета вены, затем контролируют появление катетера в просвете большой подкожной вены на уровне пахового операционного доступа. Перед введением по катетеру флебосклерозирующего препарата большую подкожную вену в паховой области перевязывают, а операционную рану ушивают. Ассистент хирурга обеспечивает надежную компрессию по ходу ствола большой подкожной вены с помощью марлевого валика или специальных латексных подушечек. Введение флебосклерозирующего препарата осуществляет хирург во время обратной тракции катетера. После полного его извлечения ушивают разрез и производят эластическое бинтование конечности.
Основным недостатком данной лечебной тактики является отсутствие дифференцированного подхода к устранению клапанной недостаточности большой подкожной вены, то есть одна и та же хирургическая методика выполняется как при полной, так и при частичной клапанной недостаточности, тогда как в последнем случае объем оперативного вмешательства может быть существенно уменьшен. Данное обстоятельство связано с тем, что до сих пор не существует специального способа ликвидации частичной клапанной недостаточности большой подкожной вены при варикозной болезни нижних конечностей. Кроме того, недостатками описанной хирургической операции являются ее техническая сложность, трудоемкость, возможность развития осложнений, связанных с оперативным вмешательством на сафено-феморальном соустье, большие временные и материальные затраты, необходимость госпитализации в хирургический стационар, выполнение регионарной или внутривенной анестезии, неизбежные косметические потери, вызванные формированием послеоперационных рубцов, облитерация большой подкожной вены на всем протяжении, что исключает возможность ее использования в качестве пластического материала для возможных артериальных реконструкций.
Нами впервые предложен способ лечения варикозной болезни нижних конечностей при частичной клапанной недостаточности большой подкожной вены, включающий выполнение только одного разреза кпереди от медиальной лодыжки и заполнение большой подкожной вены склеропрепаратом на голени до уровня коленного сустава. Тем самым исключается возможность развития осложнений, связанных с оперативным вмешательством на сафено-феморальном соустье, снижается травматичность операции благодаря отсутствию необходимости выполнения пахового операционного доступа, упрощается техника хирургического вмешательства и сокращается его продолжительность, исключается необходимость в регионарной и внутривенной анестезии, появляется возможность проведения операции в амбулаторных условиях, улучшаются косметические результаты лечения, сохраняется участок большой подкожной вены на бедре, что позволяет использовать ее в качестве пластического материала для возможных артериальных реконструкций.
Способ осуществляется следующим образом. Предварительно всем пациентам проводят ультразвуковое дуплексное ангиосканирование вен нижних конечностей в вертикальном и горизонтальном положениях. Состояние клапанного аппарата большой подкожной вены оценивается по предложенной нами методике [6]: если патологический сафено-феморальный рефлюкс выявляется и в вертикальном, и в горизонтальном положениях пациента (полная клапанная недостаточность большой подкожной вены), выполняют интраоперационную стволовую катетерную склеротерапию традиционным способом [5]. Если патологический сафено-феморальный рефлюкс выявляется только в вертикальном положении пациента, а в горизонтальном – не определяется (частичная клапанная недостаточность большой подкожной вены), проводят интраоперационную стволовую катетерную склеротерапию большой подкожной вены по следующей методике.
Хирургическое вмешательство выполняется амбулаторно. Предварительно проводят маркировку варикозных и несостоятельных перфорантных вен на голени. Под местной анестезией из разреза длиной 5-10 мм кпереди от медиальной лодыжки обнажают начальный отдел большой подкожной вены, который в этом месте пересекают, а дистальный ее отрезок перевязывают. В проксимальный конец вены в антеградном направлении вводят гибкий сосудистый катетер до коленного уровня. Контроль интравенозного расположения катетера осуществляют путем форсированного введения изотонического раствора хлорида натрия, а также с помощью интраоперационного ультразвукового дуплексного ангиосканирования. Выполняют элевацию нижней конечности, на нее накладывают эластический бинт средней степени растяжимости от пальцев стопы до коленного уровня, благодаря чему достигается эффект “пустой вены” и более эффективное взаимодействие препарата с интимой вены. К канюле катетера присоединяют шприц, с помощью которого производят заполнение вены флебосклерозирующим препаратом. Введение склеропрепарата осуществляют при медленной обратной тракции катетера. В качестве склеропрепарата используют 1-3% раствор тетрадецилсульфата натрия из расчета 1 мл раствора на участок вены длиной 10 см. Операционную рану послойно ушивают, накладывают внутрикожный косметический шов. Компрессионный бандаж дополняют наложением на нижнюю конечность стерильного компрессионного моночулка. Сразу после операции пациенту предписывают непрерывную ходьбу в течение 2 часов. Эластическая компрессия осуществляется в течение 14 дней.
Контрольное ультразвуковое дуплексное ангиосканирование проводят на 14 и 30 день после операции, а в дальнейшем повторяют с частотой 1 раз в 3 месяца. Полученные результаты свидетельствуют о том, что облитерации ствола большой подкожной вены на бедре не происходит, при этом у 75% больных варикозной болезнью нижних конечностей с частичной клапанной недостаточностью большой подкожной вены отмечается утолщение стенки вены на 1-2 мм и сокращение ее внутреннего диаметра на бедре на 2-4 мм, что сопровождается нивелированием патологического сафено-феморального рефлюкса и восстановлением нормальной венозной гемодинамики.
У остальных 25% пациентов патологический сафено-феморальный рефлюкс сохраняется. Им выполняют операцию кроссэктомии сафено-феморального соустья и стволовую катетерную склеротерапию большой подкожной вены на бедре по общепринятой методике [5].
Пример применения предложенного способа.
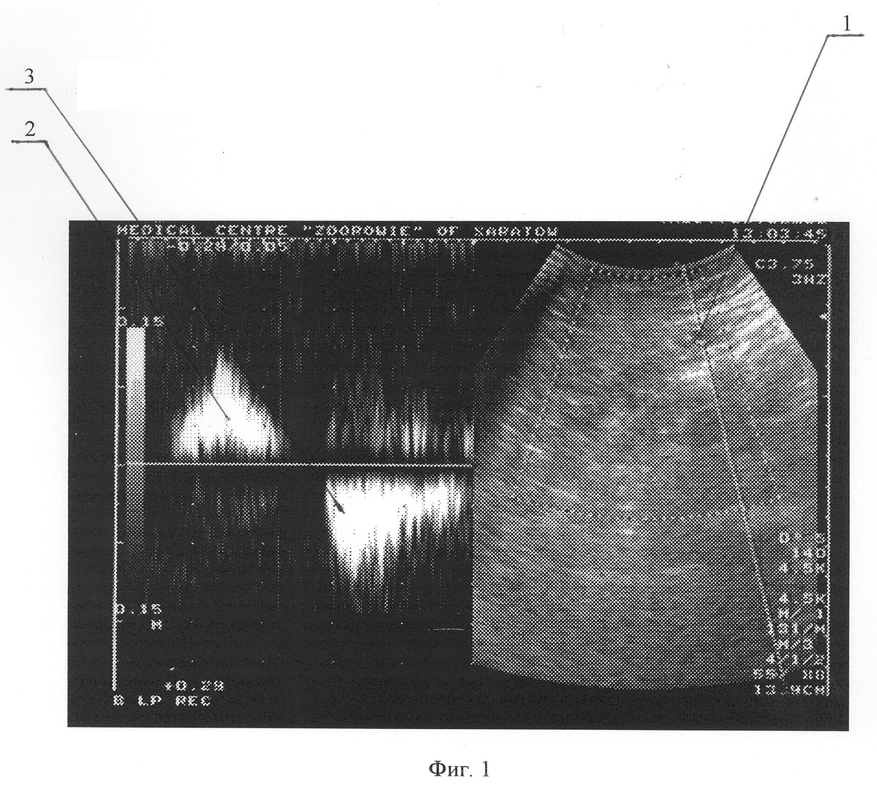
Пациент Б., 52 лет. При физикальном осмотре выявлено варикозное расширение большой подкожной вены и ее притоков на правой нижней конечности, положительный симптом Гаккенбруха на уровне правого сафено-феморального соустья. При дооперационном ультразвуковом дуплексном ангиосканировании в вертикальном положении выявлен патологический сафено-феморальный рефлюкс справа, в горизонтальном положении патологических венозных сбросов выявлено не было. Окончательный диагноз: Варикозная болезнь нижних конечностей. Частичная клапанная недостаточность большой подкожной вены справа. На фиг.1 и 2 представлены результаты ультразвукового дуплексного ангиосканирования большой подкожной вены в верхней трети бедра в ортостазе; на фиг.1 – во время проведения дистальной компрессионной пробы, на фиг.2 – во время выполнения пробы Вальсальвы, где 1 – просвет большой подкожной вены, 2 – антеградный кровоток по большой подкожной вене при компрессии икроножных мышц, 3 – ретроградный кровоток по большой подкожной вене при декомпрессии икроножных мышц, 4 – ретроградный кровоток по большой подкожной вене при выполнении пробы Вальсальвы.
Больному выполнена операция – стволовая катетерная склеротерапия большой подкожной вены на правой голени до уровня коленного сустава. Описание операции: под местной анестезией разрезом длиной 1 см кпереди от медиальной лодыжки выделен начальный отдел большой подкожной вены, вена пересечена, дистальный конец перевязан, в проксимальный конец заведен катетер до уровня коленного сустава. После форсированного введения по катетеру изотонического раствора хлорида натрия и с помощью интраоперационного ультразвукового дуплексного ангиосканирования констатировано интравенозное расположение катетера. После предварительного наложения марлевых валиков по ходу большой подкожной вены и бинтования конечности эластическим бинтом средней степени растяжимости при медленной обратной тракции катетера по нему введено 4 мл 1% раствора фибро-вейна. Рана послойно ушита. Продолжительность операции составила 20 минут. Сразу после операции больной непрерывно ходил в течение 2 часов. Приступил к работе на второй день. Контрольное ультразвуковое дуплексное ангиосканирование произведено на 14 день после операции. Отмечена облитерация большой подкожной вены справа на голени. По стволу большой подкожной вены на бедре – признаки антеградного кровотока. Патологических венозных сбросов не выявлено. На фиг.3 и 4 представлены результаты ультразвукового дуплексного ангиосканирования большой подкожной вены в верхней трети бедра в ортостазе на 14 день после операции; на фиг.3 – во время проведения дистальной компрессионной пробы, на фиг.4 – во время выполнения пробы Вальсальвы, где 1 – просвет большой подкожной вены, 2 – антеградный кровоток по большой подкожной вене при компрессии икроножных мышц; ретроградного кровотока при декомпрессии икроножных мышц, а также при выполнении пробы Вальсальвы не отмечается.
Осмотрен через 1 год. Жалоб не предъявляет. Признаков рецидива варикозной болезни не отмечено. Получен хороший косметический результат. При ультразвуковом дуплексном ангиосканировании признаков патологического сафено-феморального рефлюкса в горизонтальном и вертикальном положениях не выявлено. На фиг.5 изображено состояние правой нижней конечности пациента до лечения, где 1 -варикозно-трансформированная большая подкожная вена; на фиг.6 – состояние правой нижней конечности этого же пациента через 1 год после операции, где 1 – облитерированная на голени большая подкожная вена, 2 – сохраненный ствол большой подкожной вены на бедре.
Положительный эффект предложенного способа заключается в отсутствии риска осложнений, связанных с выполнением пахового операционного доступа и с хирургическим вмешательством на сафено-феморальном соустье; отсутствии необходимости в регионарной и внутривенной анестезии; сокращении продолжительности хирургического вмешательства, упрощении его техники и уменьшении его трудоемкости; сокращении контингента больных варикозной болезнью нижних конечностей, которым требуется стационарное лечение; возможности проведения лечения в амбулаторных условиях с сохранением трудоспособности и привычного уровня качества жизни; сохранении ствола большой подкожной вены на бедре с возможностью ее дальнейшего использования в качестве пластического материала для артериальных реконструкций; улучшении функциональных и косметических результатов лечения; освобождении дополнительных койко-мест в стационарах хирургического профиля; снижении затрат на лечение этой категории больных.
ЛИТЕРАТУРА
1. Веденский А.Н. Варикозная болезнь. – Л.: Медицина, 1983. – 206 с.
5. Яблоков Е.Г., Кириенко А.И., Богачев В.Ю. Хроническая венозная недостаточность. – М.: Издательство “Берег”, 1999. – 128 с.
Формула изобретения
Способ лечения варикозной болезни нижних конечностей при частичной клапанной недостаточности большой подкожной вены, включающий выделение и пересечение начального отдела большой подкожной вены кпереди от медиальной лодыжки, заведение катетера в проксимальный конец вены в антеградном направлении, отличающийся тем, что катетер вводят до коленного уровня и заполняют участок большой подкожной вены на голени склеропрепаратом.
РИСУНКИ
|
|