|
|
(21), (22) Заявка: 2003138249/14, 29.12.2003
(24) Дата начала отсчета срока действия патента:
29.12.2003
(45) Опубликовано: 27.06.2005
(56) Список документов, цитированных в отчете о поиске:
САДОВОЙ М.Я. и др. Энзимотерапия после реконструктивных операций на коленных суставах после перенесенного туберкулезного гонита. Проблемы туберкулеза, 1990, №7, с.15-17. SU 1161096 А, 15.06.1985. RU 2068663 C1, 10.11.1996. RU 2154429 С2, 20.08.2000. RU 99123728 А, 10.09.2001. RU 2111712 C1, 27.05.1998.
Адрес для переписки:
194354, Санкт-Петербург, Учебный пер., 5, ГМПБ №2, А.И. Гусеву
|
(72) Автор(ы):
Гусев А.И. (RU)
(73) Патентообладатель(и):
Гусев Антон Иванович (RU)
|
(54) СПОСОБ РЕКОНСТРУКТИВНОЙ ОПЕРАЦИИ КОЛЕННОГО СУСТАВА
(57) Реферат:
Изобретение относится к медицине, а именно к травматологии, ортопедии. Сущность: извлекают пораженный участок нагружаемой области мыщелка, берут из переднего ненагружаемого отдела бедренной кости жизнеспособный аутотрансплантат тех же размеров с сохраненными гиалиновым хрящом и архитектоникой костной ткани и жестко устанавливают в ложе нагружаемого мыщелка, а скомпрометированный аутотрансплантат устанавливают в ложе ненагружаемого мыщелка, что обеспечивает жизнеспособность аутотрансплантата с сохраненными гиалиновым хрящом и архитектоникой, восполнение дефекта в ненагружаемой области мыщелка бедренной кости с последующим образованием рубцовоизмененного хряща, отсутствие металлоконструкций для фиксации аутотрансплантатов, более ранние сроки восстановления функции коленного сустава. 4 ил.

Изобретение относится к медицине, конкретно к реконструктивной хирургии. Применяется в целях замещения мыщелка бедренной кости, в частности при деформирующих артрозах с асептическим некрозом.
Известен способ высокой корригирующей остеотомии большеберцовой кости [Чаклин В.Д. Основы оперативной ортопедии и травматологии. М.: Медицина, 1964]. Недостатком способа является то, что изменение нагрузки в коленном суставе не устраняет явления асептического некроза, что приводит к дальнейшему развитию разрушения внутреннего мыщелка бедренной кости.
Известен способ лечения деформирующего артроза коленного сустава с асептическим некрозом или посттравматической деформацией мыщелков большеберцовой кости, отличающийся тем, что с целью устранения болевого синдрома, деформации конечности и восстановления функции коленного сустава выполняется шарнирная корригирующая подмыщелковая остеотомия большеберцовой кости в сочетании с костной аутопластикой дефекта мыщелка большеберцовой кости и костно-хрящевой аллопластикой суставной поверхности деминерализованным ортотопическим трансплантатом [Заявка на патент РФ №2001116211]. Задача решается сложным сочетанием приемов, что увеличивает риск возможных осложнений.
Известен способ восстановления функции коленного сустава при деформирующих артрозах различной этиологии. Методика операции заключается в восстановлении суставной поверхности латеральных отделов бедренной или большеберцовой кости несвободным костно-хрящевым аутотрансплантатом, взятым из головки большеберцовой кости. Фиксация трансплантата осуществляется кетгутовыми, капроновыми швами или конструкциями с эффектом “памяти формы”. Способ артропластики коленного сустава обеспечивает снижение травматичности операции, сокращение продолжительности сроков лечения, стабильность сустава в послеоперационном периоде [Патент РФ №2051635]. Недостатком способа является необходимость дополнительной фиксации трансплантата.
Известен способ лечения деформации коленного сустава при нарушении роста мыщелка бедренной кости. Способ лечения включает надмыщелковую остеотомию бедренной кости внесуставно, в поперечном направлении, резекции участка дистального фрагмента со стороны непораженного мыщелка, ограниченного двумя взаимно перпендикулярными плоскостями, одна из которых расположена параллельно суставной щели, а другая пересекает плоскость остеотомии и ось бедра, транспозиция конца проксимального фрагмента в сформированное ложе на непораженном мыщелке. Задачей изобретения является повышение эффективности лечения путем улучшения кровоснабжения пораженного мыщелка бедренной кости и стимуляции функции ростковой зоны, предотвращения раннего развития гонартроза, для чего в центре пораженного мыщелка бедра проксимальнее зоны роста, в сагиттальной плоскости формируют сквозной канал, со стороны пораженного мыщелка мобилизуют сосудистый пучок, снабжающий верхнебоковой сегмент надколенника, несвободным костно-хрящевым трансплантатом и сосудистым пучком на всем протяжении выполняют сформированный в пораженном мыщелке канал [Патент РФ №2111713]. Недостатком способа является его сложность.
Известен способ пластики дефектов покровного хряща суставов пальцев кисти или стопы, отличающийся тем, что в качестве трансплантата используют аутогенный цилиндрический костно-хрящевой блок, взятый из малонагружаемого отдела суставной поверхности мыщелка бедренной кости в коленном суставе [Заявка на патент РФ №99123728]. Способ направлен на устранение дефектов покровного хряща суставов пальцев кисти или стопы.
Сущность предлагаемого изобретения заключается в совокупности существенных признаков, достаточных для достижения искомого технического результата, а именно: сокращения сроков и улучшение исходов лечения за счет жизнеспособности аутотрансплантата с сохраненными гиалиновым хрящом и архитектоникой, а также восстановления костной структуры и образования рубцовоизмененного хряща на скомпрометированном аутотрансплантате, чему способствуют сохраненное питание ложа ненагружаемого мыщелка и фиксация обычным давлением надколенника.
Эта сущность состоит в том, что извлекают пораженный участок нагружаемой области мыщелка, берут из переднего ненагружаемого отдела бедренной кости жизнеспособный аутотрансплантат тех же размеров, но с сохранными гиалиновым хрящом и архитектоникой костной ткани, и жестко устанавливают в ложе нагружаемого мыщелка, а скомпрометированный аутотрансплантат устанавливают в ложе ненагружаемого мыщелка.
Осуществление примера иллюстрируется схемой – фиг.1.
При обычном доступе к коленному суставу после вывиха надколенника и ревизии поврежденного участка внутреннего мыщелка 1 бедренной кости осциллирующей пилой и остеотомами извлекают поврежденный участок 2 нагружаемой области размерами 2×2×2 см. Затем из переднего ненагружаемого отдела 3 бедренной кости берут аутотрансплантат 4 тех же размеров, но с сохраненным гиалиновым хрящом (Наработаны визуальные наблюдения, способствующие достижению оптимальных результатов в рамках заявленной формулы. Оригинальный опыт является собственностью заявителя, содержит принадлежащее ему ноу-хау и не является предметом данной заявки), и устанавливают жестко без дополнительной фиксации во внутренний мыщелок (на место 2), а скомпрометированный аутотрансплантат устанавливают в ложе (на место 4) наружного мыщелка с сохраненным питанием и хорошей дополнительной фиксацией давлением надколенника.
Реализация способа подтверждается иллюстрациями рентгенограмм, принадлежащих клиническому примеру.
Клинический пример
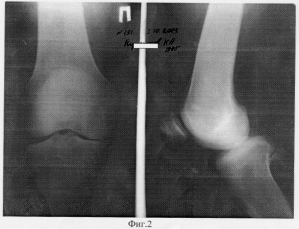
Больной К. 69 лет страдал правосторонним гонартрозом в течение 10 лет. За последний 2003 год из-за сильной боли в правом коленном суставе резко снизилась опороспособность правой нижней конечности, а функция коленного сустава резко уменьшилась (фиг.2 – состояние до операции).
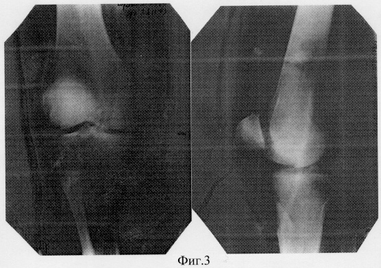
28.11.2003 года выполнена операция: реконструктивно-восстановительная с транспозицией участков мыщелков правой бедренной кости. Послеоперационный период протекал без осложнений (фиг.3 – состояние после операции).
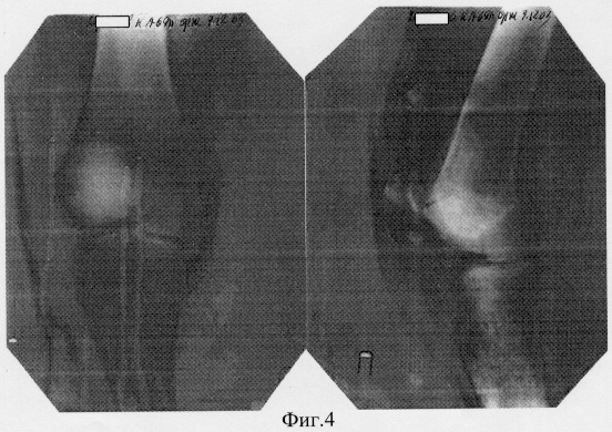
11.12.2003 г. пациент выписан в удовлетворительном состоянии в гипсовом туторе. На контрольных рентгенограммах взаимосоотношения в правом коленном суставе правильные (фиг.4 – состояние после операции).
Достоинствами способа являются жизнеспособность аутотрансплантата с сохраненными гиалиновым хрящом и архитектоникой, восполнение дефекта в ненагружаемой области мыщелка бедренной кости с последующим образованием рубцовоизмененного хряща, отсутствие металлоконструкций для фиксации аутотрансплантатов, более ранние сроки восстановления функции коленного сустава.
Формула изобретения
Способ реконструктивной операции коленного сустава, включающий замещение поврежденного участка мыщелка бедренной кости аутотрансплантатом, отличающийся тем, что извлекают пораженный участок нагружаемой области мыщелка, берут из переднего ненагружаемого отдела бедренной кости жизнеспособный аутотрансплантат тех же размеров, но с сохраненными гиалиновым хрящом и архитектоникой костной ткани, и жестко устанавливают в ложе нагружаемого мыщелка, а скомпрометированный аутотрансплантат устанавливают в ложе ненагружаемого мыщелка.
РИСУНКИ
|
|