|
|
(21), (22) Заявка: 2003116910/14, 06.06.2003
(24) Дата начала отсчета срока действия патента:
06.06.2003
(43) Дата публикации заявки: 27.12.2004
(45) Опубликовано: 27.05.2005
(56) Список документов, цитированных в отчете о поиске:
ФЕЛИМЕНДИКТОВ Ю.А. Лечение переломовывихов голеностопного сустава, Автореферат… диссертации кандидата медицинских наук, Ярославль, 2002, с.34. RU 2098048 С1, 10.12.1997. RU 2197191 С2, 27.01.2003. КАПЛАН А.В. Закрытые повреждения костей и суставов, М., Медицина, 1967, 464-465. ГУРЬЕВ В.Н. Консервативное и оперативное лечение повреждений голеностопного
Адрес для переписки:
103220, Москва, ул. Полтавская, 4, кв.18, С.Н.Хорошкову
|
(72) Автор(ы):
Хорошков С.Н. (RU)
(73) Патентообладатель(и):
Хорошков Сергей Николаевич (RU)
|
(54) ФУНКЦИОНАЛЬНЫЙ ОПЕРАТИВНЫЙ СПОСОБ ЛЕЧЕНИЯ НАДСИНДЕСМОЗНЫХ ПЕРЕЛОМОВ МАЛОБЕРЦОВОЙ КОСТИ
(57) Реферат:
Изобретение относится к области медицины, а именно к травматологии и ортопедии в оперативном лечении перелома малоберцовой кости с повреждением синдесмоза. Сущность: после остеосинтеза малоберцовой кости производят остеосинтез внутренней лодыжки или накладывают швы на дельтовидную связку, поврежденную голень-стопу фиксируют съемным ортезом, в котором с помощью устройства для лечения повреждений голеностопного сустава формируют раздельно на трех уровнях опорные площадки фиксации одновременно с двух сторон в области стопы, голеностопного сустава, в проксимальном отделе голени, после затвердевания ортеза пациент начинает ходить с полной нагрузкой на поврежденную конечность, ортез временно снимают для разработки сустава. В частности, наложенный ортез после ликвидации угрозы посттравматического отека, сращения капсулы сустава и разорванных связок сустава, в период первичной консолидации переломов укорачивают по тыльной и подошвенной поверхности стопы для свободного движения поврежденного голеностопного сустава, что восстанавливает межберцовый синдесмоз и функцию сустава. 1 з.п. ф-лы, 17 ил.

(56) (продолжение):
CLASS=”b560m”сустава, М., Медицина, 1971, 86-87, 114-116, 134. КРУПКО И.Л. и др. Переломы области голеностопного сустава и их лечение. Медицина, Ленинградское отд. 1972, 80-85.
Изобретение относится к области медицины, а именно к травматологии и ортопедии, и может быть применено при оперативном лечении переломов лодыжек, сочетающихся с повреждением дистального межберцового синдесмоза.
Общепринятым способом хирургического лечения переломов лодыжек, сопровождающихся переломом малоберцовой кости в нижней трети и повреждением дистального межберцового синдесмоза, является соединение берцовых костей между собой стягивающими конструкциями: спицами с упорными площадками, болтом-стяжкой, позиционным винтом и т.д. (фиг.1а и 1б), вводимыми на уровне или выше дистального межберцового синдесмоза.
На (фиг.1а’, 1б’, 1в’), горизонтальном срезе берцовых костей на уровне дистального межберцового синдесмоза, представлены адаптированные концы разорванных межберцовых связок после соединение берцовых костей между собой спицами с упорными площадками, болт-стяжка, позиционный винт.
После проведенного оперативного вмешательства надсиндесмозного перелома лодыжек и стяжки дистального межберцового синдесмоза стягивающими конструкциями в раннем послеоперационном периоде накладывается съемная гипсовая лонгета, исключается двигательная и опорная функция на поврежденный сегмент конечности. В период амбулаторного лечения гипсовая лонгета с поврежденного сегмента конечности снимается, разрешается двигательная функция в поврежденном голеностопном суставе. Опорная функция на поврежденную конечность разрешается только после удаления болта-стяжки или позиционного винта не ранее чем через 8-10 недель, то есть через 2-2,5 месяца после проведенной операции.
Этот способ принят за прототип.
Целью изобретения является сокращение сроков лечения больных с надсиндесмозными переломами малоберцовой кости, сочетающимися с разрывом дистального межберцового синдесмоза, после оперативного лечения.
Достижение поставленной цели осуществляют тем, что восстановление ширины вилки голеностопного сустава, сопровождающимся разрывом связок дистального межберцового синдесмоза при надсиндесмозном переломе малоберцовой кости производят без стяжки берцовых костей между собой металлическими конструкциями, опорную и двигательную функцию поврежденного сегмента конечности “голень-стопа” восстанавливают одновременно.
Сущность изобретения состоит в том, что восстановление дистального межберцового синдесмоза осуществляют без применения конструкций, стягивающих берцовых кости между собой на уровне или выше дистального межберцового синдесмоза, а обходным путем – через наружную лодыжку (после остеосинтеза малоберцовой кости), наружные боковые связки голеностопного сустава, таранную, пяточную кость и восстановленный внутренний отдел голеностопного сустава (после остеосинтеза внутренней лодыжки или шва дельтовидной связки). Поврежденный сегмент конечности “голень-стопа” после операции дополнительно фиксируют съемным ортезом, в котором формируют с помощью аппарата опорные площадки фиксации на трех уровнях. Ходить больного обучают сразу с полной нагрузкой на поврежденную конечность, двигательную функцию поврежденного голеностопного сустава разрабатывают в любой период стабилизации поврежденного сегмента конечности голень-стопа съемным ортезом, при его снятии и поэтапном укорочении.
Для понимания сущности предлагаемого оперативного способа лечения надсиндесмозных переломов малоберцовой кости необходимо знать механизм и характер данного повреждения.
Такое повреждение возникает от пронационного усилия (вращение стопы кнаружи вокруг продольной оси стопы). В результате растягивающего усилия в “ригидном” внутреннем отделе голеностопного сустава происходит разрыв дельтовидной связки или отрывной перелом внутренней лодыжки. Получив “свободу”, смещающаяся кнаружи таранная кость осуществляет давление на наружную лодыжку, что приводит к изгибу тела малоберцовой кости и перелому малоберцовой кости на 5-7 см выше дистального межберцового синдесмоза. Сломанный дистальный отдел малоберцовой кости смещается под углом к продольной оси малоберцовой кости, что последовательно приводит к разрыву волокон связок дистального межберцового синдесмоза и межкостной мембраны в направлении снизу вверх.
Характер повреждения дистального межберцового синдесмоза при пронационном механизме травмы является связочным (происходит разрыв связок дистального межберцового синдесмоза). Таранная кость теряет опору в наружном отделе голеностопного сустава и легко смещается в этом направлении. Происходит расширение вилки голеностопного сустава и подвывих стопы кнаружи.
На фиг.2а представлено изображение голеностопного сустава в прямой проекции: разрыв дельтовидной связки, надсиндесмозный перелом малоберцовой кости, разрыв связок дистального межберцового синдесмоза.
На фиг.2б представлен горизонтальный срез берцовых костей на уровне дистального межберцового синдесмоза по линии А–А’, при надсиндесмозном переломе малоберцовой кости и характер повреждения межберцовых связок.
На фиг.3а представлено изображение голеностопного сустава в прямой проекции: перелом внутренней лодыжки, надсиндесмозный перелом малоберцовой кости, разрыв связок дистального межберцового синдесмоза.
На фиг.3б представлен горизонтальный срез берцовых костей на уровне дистального межберцового синдесмоза по линии А–А’, при надсиндесмозном переломе малоберцовой кости и характер повреждения межберцовых связок.
Для понимания предлагаемого “обходного” оперативного способа восстановления дистального межберцового синдесмоза при надсиндесмозных переломах малоберцовой кости необходимо представлять биомеханическую модель “систем стабилизации” таранной кости в голеностопном суставе.
Сегмент голень-стопа человека представляет собой сложную систему активных и пассивных систем нагружения, неразрывно связанных между собой. Кости голени соединены между собой во фронтальной плоскости межкостной мембраной, в проксимальном отделе кости голени соединены проксимальным межберцовым сочленением, являющимся плоским суставом, amphiarthrosis, а в дистальном отделе – нижним дистальным межберцовым сочленением (синдесмозом) – syndesmosis tibiofibularis inferior.
Малоберцовая кость, как своеобразное пружинящее устройство, прочно и эластично удерживает таранную кость в голеностопном суставе от наружного смещения за счет своего прогиба при пронационных нагрузках. Она играет также роль торсионного амортизатора при абдукции и тыльном сгибании стопы, когда блок таранной кости заходит своей широкой частью в межлодыжечную вилку голеностопного сустава, давление таранной кости уравновешивается эластичной силой изгиба малоберцовой кости. Малоберцовая кость вместе со связками, с биомеханической точки зрения, образует систему пассивных растяжек, содержащую как жесткие, так и податливые элементы, способствующие существенно разгрузить основную несущую опору – большеберцовую кость. Связки голеностопного сустава отличаются высокой прочностью, мало эластичны и практически не растягиваются и не разрываются на протяжении (Лесгафт П.Ф. 1885, Эскин И.А. 1937, Богданов Ф.Р. 1949, Доленко 1969 и др.). Связки отрываются у места прикрепления к участку кортикального слоя кости, а при повреждении нижнего межберцового синдесмоза почти всегда происходит отрыв связок синдесмоза с частью кортикального слоя наружного эпифиза большеберцовой кости.
Разбирая вопрос о движениях стопы относительно голени и наоборот, нельзя их рассматривать как движения только в голеностопном суставе. Дело в том, что к таранной кости не прикрепляется ни одна мышца, двигающая стопу. Поэтому сокращение мышц голени ведет вначале к смещению других костей стопы, которое, в свою очередь, приводят к движению и таранную кость. Это побудило многих исследователей считать, что голеностопный сустав состоит из трех сочленений: верхне-таранного, передне-таранного и нижне-таранного, т.е. при этом в понятие голеностопный сустав включается не только соединение между костями голени и таранной кости, но и между таранной, пяточной и ладьевидными костями (Ячмонин М.Г. 1883, Лесгафт П.Ф. 1927, Иванов Г.Ф. 1949 и др.). Сама же таранная кость рассматривается рядом анатомов как промежуточная кость, выполняющая роль “костного мениска” одного сложного сустава. Исходя из этого, авторы считали, что в голеностопном суставе существует три оси движения: межлодыжечная ось (сгибания – разгибания) с подвижностью по дуге 65-70 град, ось голени (приведения – отведения) с движением по дуге до 25 град и ось стопы (пронации – супинации) в пределах 16-18 град. Первое движение происходит в верхне-таранном сочленении, в подтаранном суставе возможно отведение и приведение в чистом виде, в переднем отделе стопы они обязательно сочетаются с абдукцией и аддукцией. Эти движения не совершаются вокруг какой-нибудь одной определенной оси или в каком-нибудь одном из мелких сочленений стопы. Наоборот, в каждом из таких движений участвуют одновременно несколько сочленений, главным образом art.talo-calcaneae, art. talo-navicularis et art. calcaneo-cuboidea.
Теоретически голеностопный сустав считают замкнутым кольцом, окружающим таранную кость (Ashurst A., Bromer R.S., 1922). Авторами отмечается, что вилка с находящейся в ней таранной костью удерживается в физиологическом положении благодаря связочному аппарату, который обладает высокой прочностью, практически не растягивается и не разрывается на протяжении.
На фиг.4а изображено описанное в литературе кольцо стабилизации таранной кости в голеностопном суставе, расположенное ниже области дистального межберцового синдесмоза. Оно состоит из дистальной суставной поверхности большеберцовой кости, внутренней лодыжки, медиальных коллатеральных связок, пяточной кости, латеральных коллатеральных связок, наружной лодыжки.
Внутренний отдел данного кольца “ригидный” образован внутренней лодыжкой, дельтовидной связкой, пяточной костью. Наружный отдел “амортизирующий”.
По нашему мнению, “артизирующую” роль наружной лодыжки, в функции стабилизации удерживающей таранную кость от смещения во фронтальной плоскости, нельзя рассматривать без участия всей малоберцовой кости, без функции дистального межберцового синдесмоза, проксимального межберцового сочленения и межкостной мембраны. При пронационных движениях таранная кость осуществляет давление на наружную лодыжку, происходит прогиб малоберцовой кости как пружинящего устройства, что в свою очередь вызывает незначительные продольные смещения головки малоберцовой кости относительно большеберцовой кости в проксимальном межберцовом суставе.
Поэтому мы считаем, что образование – большеберцовая кость, проксимальное межберцовое сочленение, малоберцовая кость, межкостная мембрана, дистальный межберцовый синдесмоз можно считать кольцом стабилизации, удерживающим таранную кость от смещения в голеностопном суставе, расположенное выше дистального межберцового синдесмоза (фиг.4б).
Оба кольца стабилизации таранной кости, расположенные выше и ниже области дистального межберцового синдесмоза, нами объеденены в одно “большое” кольцо стабилизации (фиг.4в). “Большое” кольцо стабилизации (на фиг.4в показано римской I), удерживающее таранную кость от смещения в голеностопном суставе, состоит: большеберцовая кость, внутренняя лодыжка, медиальные коллатеральные связки, пяточная кость, латеральные коллатеральные связки, наружная лодыжка, малоберцовая кость, межкостная мембрана, проксимальное межберцовое сочленение.
Нами анатомические образования, расположенные на уровне дистального межберцового синдесмоза по линии А–А’ (наружная лодыжка, передняя межберцовая связка, большеберцовая кость, задняя межберцовая связка), которые связывают берцовые кости между собой, выделены в отдельное кольцо стабилизации, расположенное в аксиальной плоскости (фиг.4г). Данное кольцо стабилизации (на фиг.4в показано римской II) также “удерживает” таранную кость от смещения в горизонтальной плоскости на уровне дистального межберцового синдесмоза при ротационных (эверсии и инверсии) движениях стопы вокруг продольной оси голени.
“Большое” кольцо стабилизации I (см. фиг.4в) делится кольцом стабилизации, расположенным в аксиальной плоскости II на уровне дистального межберцового синдесмоза, по линии А–А’ на два кольца в виде цифры “8”, а в целом образует единую систему стабилизации таранной кости, удерживающую ее от смещения (фиг.4в).
При костном или связочном повреждении любого “анатомического элемента” одного из колец стабилизации сегмента голень-стопа с любой стороны на любом уровне неизбежно страдает единая система стабилизации таранной кости, которая “удерживает” таранную кость от смещения.
При известном традиционном оперативном лечении надсиндесмозных переломов малоберцовой кости известными приемами остеосинтеза костных фрагментов, шва разорванных связок, устранении диастаза между берцовыми костями, применением позиционного винта, болта-стяжки на уровне разрыва дистального межберцового синдесмоза создают замкнутую стабилизацию таранной кости во фронтальной плоскости на уровне дистального межберцового синдесмоза и ниже.
В результате проведенной по данной методике операции в раннем восстановительном периоде лечения пациента исключается амортизирующая роль дистального межберцового синдесмоза при разработке двигательной функции поврежденного голеностопного сустава, блокируются подошвенные и тыльные движения таранной кости, исключается опорная функция на поврежденный сегмент конечности голень-стопа.
Это обусловлено фиксацией берцовых костей между собой, именно применением позиционного винта, болта-стяжки, на уровне дистального межберцового синдесмоза, что приводит к ограничению тыльного и подошвенного сгибания, часто к синостозу между берцовыми костями, деформирующему артрозу в поврежденном голеностопном суставе, удлиняются сроки лечения пациента и т.д.
Во-вторых, при лечении уменьшается или пренебрегается вообще роль верхнего кольца стабилизации таранной кости в вилке голеностопного сустава: большеберцовая кость, проксимальное межберцовое сочленение, малоберцовая кость, межкостная мембрана, дистальный межберцовый синдесмоз.
Предлагаемый функциональный оперативный способ лечения надсиндесмозных переломов малоберцевой кости с разрывом дистального межберцового синдесмоза включает два этапа.
Первый этап – оперативное вмешательство включает остеосинтез отломков и шов разорванных связок для восстановления их анатомии.
Через внутренне-боковой разрез выполняют мобилизацию перелома внутренней лодыжки малоберцовой кости, освобождают зону перелома от гематомы и обрывков мягких тканей без ее остеосинтеза. В случае разрыва дельтовидной связки выполняют ревизию области разрыва, удаляют обрывки мягких тканей между неповрежденной внутренней лодыжкой и блоком таранной кости, шов дельтовидной связки на этом этапе не производится. Затем через наружно-боковой разрез кожи голени в нижней трети проводят мобилизацию малоберцовой кости и области разрыва дистального межберцового синдесмоза, удаляют обрывки тканей между отломками малоберцовой кости и из межберцовой вырезки большеберцовой кости.
Осуществляют фиксацию перелома малоберцовой кости – один из видов накостного или интрамедуллярного остеосинтеза (пластина, штифт и т.д.) с обязательным визуальным контролем устранения ее ротационного смещения и смещения по длине. Производится временная фиксация малоберцовой кости в межберцовой вырезке большеберцовой кости спицей на уровне дистального межберцового синдесмоза.
В случае перелома внутренней лодыжки производится остеосинтез внутренней лодыжки одним из погружных фиксаторов, которым может быть спица, винт и спица, две спицы и проволочный шов и т.д. В случае разрыва дельтовидной связки производится ее шов, в застарелых случаях ее пластика.
Адаптированные концы разорванных межберцовых связок после остеосинтеза малоберцовой кости, перелома внутренней лодыжки или шва дельтовидной связки восстанавливают их сшиванием, при застарелых случаях – пластикой. Спица, которой производилась временная фиксация малоберцовой кости в межберцовой вырезке, удаляется. Гемостаз. Швы на кожу. Задняя гипсовая лонгета от основания пальцев стопы до верхней трети голени.
Сближение берцовых костей и восстановление (шов) разорванных связок дистального межберцового синдесмоза осуществляют без применения конструкций, стягивающих берцовые кости между собой на уровне или выше дистального межберцового синдесмоза, а обходным путем – через наружную лодыжку (после восстановления целостности малоберцовой кости), наружные боковые связки голеностопного сустава, таранную кость и восстановленный внутренний отдел голеностопного сустава (после остеосинтеза внутренней лодыжки или шва дельтовидной связки), создающие замкнутую стабилизацию костных фрагментов, препятствующих смещению таранной кости кнаружи вокруг сагиттальной оси стопы.
На фиг.2а’ представлено изображение голеностопного сустава в прямой проекции: разрыв дельтовидной связки, надсиндесмозный перелом малоберцовой кости и разрыв связок дистального межберцового синдесмоза после выполненного остеосинтеза малоберцовой кости пластинкой, восстановления (шва) дельтовидной связки и характер повреждения межберцовых связок.
На фиг.2б’, горизонтальном срезе берцовых костей на уровне дистального межберцового синдесмоза по линии А-А’’, представлены адаптированные и сшитые концы разорванных межберцовых связок после остеосинтеза малоберцовой кости, шва дельтовидной связки при надсиндесмозном переломе малоберцовой кости.
На фиг.3а’ представлено изображение голеностопного сустава в прямой проекции: перелом внутренней лодыжки, надсиндесмозный переломом малоберцовой кости, разрыв связок дистального межберцового синдесмоза после выполненного остеосинтеза малоберцовой кости, внутренней лодыжки и характер повреждения межберцовых связок.
На фиг.3б’, горизонтальном срезе берцовых костей на уровне дистального межберцового синдесмоза по линии А-А, представлены адаптированные и сшитые концы разорванных межберцовых связок после остеосинтеза малоберцовой кости и внутренней лодыжки при надсиндесмозном переломе малоберцовой кости.
С биомеханической точки зрения, на данном этапе восстанавливают кольца стабилизации таранной кости, удерживающие ее от смещения в вилке голеностопного сустава: “большое” кольцо стабилизации (большеберцовая кость, внутренняя лодыжка, медиальные коллатеральные связки, пяточная кость, латеральные коллатеральные связки, наружная лодыжка, малоберцовая кость, межкостная мембрана, проксимальное межберцовое сочленение) и кольцо стабилизации, расположенное в аксиальной плоскости на уровне дистального межберцового синдесмоза (фиг.4в).
Второй этап – поврежденный сегмент конечности “голень-стопа” после снятия швов с послеоперационных ран дополнительно фиксируют съемным ортезом, изготовленным из Scotchcast и Soft Cast. Применение ортеза необходимо для исключения пронационных и супинационных установок стопы в раннем послеоперационном периоде, исключающих нагрузки на шов дельтовидной связки, восстановленные межберцовые связки, области остеосинтеза малоберцовой кости и внутренней лодыжки, которые могут привести к вторичному смещению отломков после их остеосинтеза и повторному разрыву восстановленных связок.
При изготовлении ортеза, в момент его затвердевания, с помощью аппарата автора формируют опорные площадки фиксации, расположенные раздельно на трех уровнях. В плоскости возможного смещения таранной кости, определяемого по первичным рентгенограммам, образуются по меньшей мере три не лежащие на одной прямой площадки фиксации. В результате поврежденный сегмент конечности голень-стопа фиксируют средствами внешней фиксации на трех уровнях с учетом нейтрализации рычаговых свойств длинного костного фрагмента (большеберцовой кости). Ходить больного обучают сразу после наложения съемного ортеза с полной нагрузкой на поврежденную конечность, двигательная функция поврежденного голеностопного сустава разрабатывается в любой период стабилизации поврежденного сегмента конечности голень-стопа съемным ортезом при его снятии. В период внешней стабилизации перелома наложенный съемый ортез со стороны пальцев стопы до уровня голеностопного сустава поэтапно укорачивают.
Полное описание и чертежи репозиционного аппарата, используемого в данном способе, дано автором в заявке №94004637, получен патент №2098048, опубликованный в бюллетене №20 от 20.07.99, на новизну которого в данной заявке автор не претендует (фиг.5).
После проведенного оперативного вмешательства, заживления послеоперационной раны и снятия швов на поврежденный сегмент конечности голень-стопа накладывается ортез в виде “сапожка”, изготовленный из Scotchcast (жесткий полимерный бинт) и Soft Cast (мягкий полимерный бинт). Для этого производят предварительную регулировку аппарата и жесткую фиксацию им поврежденного сегмента конечности больного голень-стопа (фиг.6а.), по крайней мере, в двух точках, на крайних уровнях сочленяющихся сегментов, выше и ниже места повреждения (см. фиг.6а). Обе точки закрепления на уровнях С-С1 и А-А1 жестко фиксированы между собой на заданном расстоянии друг от друга вдоль продольной оси поврежденного сегмента, соответствующей его анатомической оси до повреждения. Жестко закрепляют в одной из этих точек нижний конец поврежденного сегмента (см. фиг.7), подстопник 3 с подстилающей мягкой прокладкой упирается пяткой в пяточный упор 4 для предотвращения ее только поступательных смещений как вдоль упомянутой продольной оси, так и перпендикулярной ей плоскости. Жестко закрепляют в другой точке проксимальный конец сочленяющегося сегмента – проксимальный отдел голени для предотвращения его только поступательных смещений, по крайней мере, в плоскости, перпендикулярной упомянутой продольной оси.
Для этого подколенный упор 6 репозиционного аппарата, снабженный мягкими подстилающими прокладками, выставляют под проксимальным отделом голени на уровне проксимального метаэпифиза большой берцовой кости и захватывают с внутренней и наружной стороны охватами 28 и 29. В достигнутом положении с помощью “S” образных охватов 28 и 29 и упора 42 (фиг.8), закрепленого на кронштейне 40. Надавив рукой на кронштейн 40, создают давление “Р” на переднюю поверхность голени, тем самым проксимальный отдел голени (см. фиг.8 и 9) фиксируют в области бугристости большой берцовой кости “А”, по задне-внутренней поверхности внутреннего мыщелка голени “В” и задне-наружной поверхности наружного мыщелка голени “С” с переходом на верхнюю треть малоберцовой кости, образуя треугольник АВС (фиг.9). Это практически исключает поступательные смещения проксимального отдела голени во фронтально-сагиттальной плоскости относительно подколенного упора репозиционного аппарата.
В зависимости от направления подвывиха таранной кости (см. фиг.7), который был выявлен по первичным рентгенограммам до операции, накладывают в нижней трети голени дугу 21 сжимающего устройства с репонирующими пластинами 23 и 26 перпендикулярно ее продольной оси. Наматывая трос 20 на катушку 18 “Г”-образного рычага 17 с закрепленной на его конце дугой 21 создают давление мягкими подстилающими поверхностями подстопника 4, репонирующими пластинами 23 и 26, подколенного упора 6 на подлежащие отечные мягкие ткани поврежденного сегмента конечности “голень-стопа”. В течение 4-6 минут выжимают посттравматический отек до появления обычно контурируемых в норме костных выступов поврежденного сегмента конечности, одновременно в области стопы, голеностопного сустава, в проксимальном и дистальном отделе голени. Это достигается тем, что все репонирующие поверхности аппарата: подстопник, подколенный упор и репонирующие пластины сжимающего устройства покрыты мягким слоем материала, эластичность которого приблизительно равна эластичности подлежащих мягких тканей.
После местного устранения посттравматического отека в местах предполагаемой фиксации гипсовой повязки к костным выступам оперированного сегмента конечности “голень-стопа” поврежденная конечность больного вынимается из аппарата. На голень и стопу пациента накладывается ортез в виде “сапожка”, который до его затвердевания вновь помещают в аппарат. С помощью репозиционного аппарата формируют опорные площадки фиксации в затвердевающем ортезе, наложенной на поврежденном сегменте конечности “голень-стопа” в местах, где предварительно был устранен на трех уровнях с помощью аппарата посттравматический отек мягких тканей (см. фиг.6б и 9). Для этого (см. фиг.8) в достигнутом положении с помощью S-образных охватов 28 и 29 и упора 42, закрепленного на кронштейне 40, надавив рукой на кронштейн 40, создают давление Р на переднюю поверхность голени.
В результате внутренняя поверхность затвердевающего ортеза одновременно хорошо моделируется в трех опорных площадках фиксации проксимального отдела голени на уровне III (см. фиг.6б): в области бугристости большеберцовой кости “А”, по задне-внутренней поверхности внутреннего мыщелка голени ” В ” и задне-наружной поверхности наружного мыщелка голени “С” с переходом на верхнюю треть малоберцовой кости, образуя треугольник АВС (фиг.9). Это практически исключает поступательные смещения проксимального отдела голени во фронтальной – сагиттальной плоскости относительно наложенного ортеза на уровне III (см. фиг.6б). Внутреннюю поверхность ортеза также идеально моделируют по костным выступам дистального отдела голени, поврежденного голеностопного сустава, стопе больного.
В зависимости от направления подвывиха таранной кости, выявленного по первичным рентгенограммам поврежденного голеностопного сустава пациента до ранее проведенной операции, как уже было сказано выше, при подвывихе кнаружи, в нижней трети голени (см. фиг.7) накладывают репонирующую пластину 23 перпендикулярно ее продольной оси в нижней трети с внутренней стороны.
Наматывая трос на катушку 18 “Г”-образного рычага 17с закрепленной на его конце дугой 21 с репонирующей пластинкой, через затвердевающий ортез производят смещение репонирующей пластинки, закрепленной в дуге 21 кнаружи, с помощью репонирующей пластинки 23 формируют опорную площадку фиксации в ортезе, в области дистального метаэпифиза большеберцовой кости с внутренней стороны на уровне II, в области стопы – с наружной и внутренней стороны пяточной области на уровне I (см. фиг.6б). Дополнительную опорную площадку фиксации В’ формируют в области дистального межберцового синдесмоза, т.е. с наружной стороны дистального метаэпифиза большеберцовой кости, с помощью давления репонирующей пластины 26 на область синдесмоза с наружной стороны (см. фиг.7, 6а и 6б). После отвердения ортеза снимают скобу 21 с пластинами 23 и 26. Поврежденную конечность вынимают из аппарата. При этом на анатомических костных выступах поврежденного сегмента “голень-стопа”, относительно упомянутых двух уровней закрепления, во фронтальной и сагиттальной плоскостях возможного смещения длинного костного фрагмента большеберцовой кости одновременно образуются по крайней мере три не лежащие на одной прямой площадки фиксации, две из которых расположены в соответствующем уровне закрепления поврежденного сегмента конечности “голень-стопа” (см. фиг.6б).
С биомеханической точки зрения, после внешней фиксации поврежденного сегмента конечности “голень-стопа”, при условии одновременного устранения посттравматического отека под опорными площадками фиксации наложенного ортеза, на трех уровнях фиксации С-С1, В-В1 и А-А1 (см. фиг.6б и фиг.9) опорные площадки фиксации в наложенном ортезе закладываются одновременно на трех уровнях с двух сторон. Рычаговые свойства длинного отломка большеберцовой кости от уровня II к III, который обладает рычаговыми свойствами, нейтрализуют наложенным ортезом с формированными в нем опорными площадками фиксации, расположенными на двух уровнях II и III (см. фиг.6б). Образованные опорные площадки фиксации в ортезе препятствуют перемещению дистального отдела костей голени относительно стопы и стопы относительно дистального отдела костей голени в раннем послеоперационном периоде, при пронационных и супинационных подвывихах таранной кости. В результате исключаются ранние нагрузки на шов дельтовидной связки, межберцовые связки, область остеосинтеза малоберцовой кости и внутренней лодыжки, которые могут привести к вторичному смещению отломков и разрыву связок.
После проведенной внутренней и внешней фиксации надсиндесмозных переломов лодыжек вероятность вторичных смещений отломков вследствие развития лизиса костной ткани вокруг фиксаторов, остеопороза, разрыва восстановленных связок от действия смещающих сил и моментов сил становится маловероятной.
Через 2-3 часа после высыхания и затвердевания ортеза пациент начинает ходить с полной нагрузкой на поврежденную конечность (фиг.10 и 10а). С этого периода времени ортез по передней поверхности “рассекается” и периодически снимается с поврежденной конечности больного для разработки двигательной функции поврежденного сегмента конечности “голень-стопа”. После выполнения упражнений, направленных на разработку функции поврежденного голеностопного сустава, водных и физиотерапевтических процедур, на поврежденный сегмент конечности голень-стопа снова одевается ортез, который фиксируется с помощью самофиксирующего эластичного бинта.
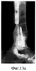
К сроку сращения поврежденной капсулы сустава, дельтовидной связки, межберцовых связок и первичной консолидации перелома малоберцовой кости, внутренней лодыжки к 3-4 недели после повреждения производят укорочение ортеза. Область поврежденного голеностопного сустава освобождают от ортеза по тыльной и подошвенной поверхности таким образом, чтобы фиксирующий ортез практически не мешал движениям стопы (фиг.11 и 11а). В наложенном съемном ортезе, изготовленном из Scotchcast (жесткий полимерный бинт) и Soft Cast (мягкий полимерный бинт) между опорными площадками фиксации, могут вырезаться “окна” различной формы и величины для уменьшения веса ортеза, улучшения аэрации поврежденного сегмента конечности, для проведения физиотерапевтических и водных процедур и. т.д.
В этот период ходьбу с полной нагрузкой сочетают с разработкой движений в освобожденных от иммобилизации суставах переднего отдела стопы.
С пациентом отрабатывают навыки “переката” пяточной области стопы на носок, не допуская замыкания коленного сустава и других порочных установок.
Амплитуда движений в поврежденном голеностопном суставе к сроку предполагаемой консолидации перелома лодыжек – к 6-9 неделе в зависимости от тяжести перелома восстанавливается практически полностью. В этот период с поврежденной конечности больного снимают ортез, пациент не испытывает психологического страха ходьбы с полной нагрузкой на поврежденную конечность без ортеза, отпадает необходимость в оперативном вмешательстве удаления металлических конструкций, стягивающих область дистального межберцового синдесмоза.
Пример применения предложенного способа 1
Больная Б-ц 25 лет, история болезни №3645. На улице подвернула левую стопу, почувствовала резкую боль. Доставлена машиной “СП” в 59 ГКБ. Диагноз: Закрытый надсиндесмозный перелом левой малоберцовой кости, перелом внутренней лодыжки, разрыв дистального межберцового синдесмоза с подвывихом стопы кнаружи (фиг.12, 12а). При поступлении под местной анестезией произведена ручная репозиция с наложением циркулярной гипсовой повязки “сапожок”. На контрольных рентгенограммах положение отломков неудовлетворительное.
Операция – остеосинтез перелома малоберцовой кости в нижней трети компрессирующей пластиной, остеосинтез внутренний лодыжки винтом и деротационной спицей (фиг.13 и 13а). Задняя гипсовая лонгета. Заживление послеоперационных ран без осложнений. Швы удалены через две недели. На поврежденный сегмент конечности “голень-стопа” с помощью аппарата наложена полимерная повязка – ортез, изготовленная из Scotchcast и Soft Cast. Через 2-3 часа после высыхания и затвердевания ортеза пациентка обучена ходьбе с полной нагрузкой на поврежденную конечность без дополнительной опоры. Для разработки двигательной функции поврежденного голеностопного сустава ортез по передней поверхности “рассечен”, фиксирован на поврежденной конечности самофиксирующим эластичным бинтом. Пациентка с этого периода времени периодически снимала с поврежденной конечности ортез. Через 4 недели после операции произведено укорочение ортеза по тыльной и подошвенной поверхности, чтобы фиксирующий ортез практически не мешал движениям стопы. Ношение ортеза на поврежденной конечности 8 недель. Вышла на работу через 3 недели после операции. Рентгенограммы больной через 2 года после операции (фиг 14, 14а).
Пример применения предложенного способа 2
Больной П-а 28 лет, рабочий, история болезни №4222. На работе подвернул левую стопу, почувствовал резкую боль. Доставлен машиной “СП” в 59 ГКБ. Диагноз: Закрытый надсиндесмозный перелом левой малоберцовой кости, разрыв дельтовидной связки, разрыв дистального межберцового синдесмоза с подвывихом стопы кнаружи (фиг.15 и 15а). При поступлении под местной анестезией произведена ручная репозиция с наложением циркулярной гипсовой повязки “сапожок”. На контрольных рентгенограммах положение отломков неудовлетворительное. Операция – остеосинтез перелома малоберцовой кости в нижней трети компрессирующей пластиной, пластика дельтовидной связки сухожилием задней большеберцовой мышцы (фиг.16 и 16а). Задняя гипсовая лонгета. Заживление послеоперационных ран без осложнений. Швы сняты через две недели. На поврежденный сегмент конечности “голень-стопа” с помощью аппарата наложена полимерная повязка – ортез, изготовленная из Scotchcast и Soft Cast. Через 2-3 часа после высыхания и затвердевания ортеза пациент обучен ходьбе с полной нагрузкой на поврежденную конечность без дополнительной опоры. Для разработки двигательной функции поврежденного голеностопного сустава ортез по передней поверхности “рассечен”, фиксирован на поврежденной конечности самофиксирующим эластичным бинтом. Пациент с этого периода времени для разработки функции в поврежденном голеностопном суставе периодически снимал с поврежденной конечности ортез. Через 4 недели после операции произведено укорочение ортеза по тыльной и подошвенной поверхности, чтобы фиксирующий ортез практически не мешал движениям стопы. Ношение ортеза на поврежденной конечности пациента 10 недель. Вышел на работу после 90 дней нетрудоспособности. Рентгенограммы больного через 2 года после операции (фиг 17, 17а).
Таким образом, при предлагаемом способе лечения надсиндесмозных переломов малоберцовой кости, сочетающихся с разрывом дистального межберцового синдесмоза, без применения металлических конструкций, стягивающих область дистального межберцового синдесмоза, восстанавливается каждый поврежденный костный и связочный элемент колец стабилизации таранной кости, удерживающих ее в вилке голеностопного сустава, сочетанием известных приемов остеосинтеза костных отломков и восстановлением повреждений связочного аппарата восстанавливается система активных и пассивных систем нагружения, не блокируется раннее функциональное восстановление всех анатомических костных и связочных элементов поврежденного сегмента голень-стопа.
В результате проведенной по данной методике операции в раннем восстановительном периоде лечения пациента не исключается амортизирующая роль дистального межберцового синдесмоза при ранней разработке двигательной функции поврежденного голеностопного сустава, не блокируются движения таранной кости. Не исключается разработка одновременно опорной и двигательной функций поврежденного сегмента конечности “голень-стопа”, что обусловлено тем, что берцовые кости не фиксированы между собой металлическими конструкциями, стягивающими область дистального межберцового синдесмоза.
Его применение позволяет сократить количество ранних и поздних осложнений, сроки лечения больных с надсиндесмозными переломами лодыжек, сочетающимися с разрывом дистального межберцового синдесмоза, после оперативного лечения.
Предложение предназначено для оперативного лечения переломов лодыжек в травматолого-ортопедических клиниках.
Формула изобретения
1. Функциональный оперативный способ лечения надсиндесмозных переломов малоберцовой кости, включающий открытую репозицию и остеосинтез отломков, сшивание разорванных связок, наложение ортеза, отличающийся тем, что после остеосинтеза малоберцовой кости проводят остеосинтез внутренней лодыжки или накладывают швы на дельтовидную связку, поврежденную голень-стопу фиксируют съемным ортезом, в котором с помощью устройства для лечения повреждений голеностопного сустава формируют раздельно на трех уровнях опорные площадки фиксации одновременно с двух сторон в области стопы, голеностопного сустава, в проксимальном отделе голени, после затвердевания ортеза пациент начинает ходить с полной нагрузкой на поврежденную конечность, ортез временно снимают для разработки сустава.
2. Способ лечения по п.1, отличающийся тем, что наложенный ортез после ликвидации угрозы посттравматического отека, сращения капсулы сустава и разорванных связок сустава в период первичной консолидации переломов укорачивают по тыльной и подошвенной поверхностям стопы для свободного движения голеностопного сустава.
РИСУНКИ
MM4A Досрочное прекращение действия патента Российской Федерации на изобретение из-за неуплаты в установленный срок пошлины за поддержание патента в силе
Дата прекращения действия патента: 07.06.2005
Извещение опубликовано: 27.01.2007 БИ: 03/2007
|
|