Патент на изобретение №2252714

Published by on




РОССИЙСКАЯ ФЕДЕРАЦИЯ



ФЕДЕРАЛЬНАЯ СЛУЖБА
ПО ИНТЕЛЛЕКТУАЛЬНОЙ СОБСТВЕННОСТИ,
ПАТЕНТАМ И ТОВАРНЫМ ЗНАКАМ
(19) RU (11) 2252714 (13) C1
(51) МПК 7
A61B17/00
(12) ОПИСАНИЕ ИЗОБРЕТЕНИЯ К ПАТЕНТУ

Статус: по данным на 27.01.2011 – действует

На основании пункта 3 статьи 13 Патентного закона Российской Федерации от 23 сентября 1992 г. № 3517-I патентообладатель обязуется передать исключительное право на изобретение (уступить патент) на условиях, соответствующих установившейся практике, лицу, первому изъявившему такое желание и уведомившему об этом патентообладателя и федеральный орган исполнительной власти по интеллектуальной собственности, – гражданину РФ или российскому юридическому лицу.

(21), (22) Заявка: 2003136352/14, 15.12.2003

(24) Дата начала отсчета срока действия патента:

15.12.2003

(45) Опубликовано: 27.05.2005

(56) Список документов, цитированных в отчете о
поиске:
ЧУХРИЕНКО Д.П., ЛЮЛЬКО А.В. Атлас операций на органах мочеполовой системы, М., Медицина, 1972, 240-242, 247. RU 2154994, С2, 27.08.2000. RU 95109613 А, 10.12.1997. RU 94004705 A1, 27.08.1996.

Адрес для переписки:

410012, г.Саратов, ГСП, ул. Б. Казачья, 112, Саратовский государственный медицинский институт, патентный отдел

(72) Автор(ы):

Моложаев С.Н. (RU)

(73) Патентообладатель(и):

Моложаев Станислав Николаевич (RU)

(54) ХИРУРГИЧЕСКИЙ СПОСОБ ЛЕЧЕНИЯ СТРИКТУР УРЕТРЫ

(57) Реферат:

Изобретение относится к медицине, урологии, может быть использовано при лечении дефектов мочеиспускательного канала большой протяженности. Резецируют стенозированный участок уретры. Формируют участок уретры из трансплантата. Трансплантат выкраивают в виде лоскута из стенки мочевого пузыря на сосудистой ножке. При этом отступают от шейки мочевого пузыря сагиттально вверх длиной, больше, чем длина дефекта, шириной, равной периметру уретры. Расширяют отверстие в диафрагме таза, через которое проходит уретра. Через образовавшийся тоннель выводят лоскут на промежность. Демукозируют проксимальную часть лоскута, формируя его ножку. Выполняют отверстие в ножке лоскута. Выводят через отверстие проксимальный отдел уретры. Из лоскута формируют трубку. Накладывают косые анастомозы между трубкой и дистальным и проксимальным отделами уретры. Способ позволяет ликвидировать дефекты любой протяженности и на любом участке уретры. 9 ил.

Bзобретение относится к медицине, разделу урологии, хирургии мочеиспускательного канала и может быть использовано как метод оперативного лечения дефектов мочеиспускательного канала большой протяженности путем замещения пораженной уретры гомотрансплантатом.

Известны несколько способов оперативного лечения стриктур уретры, которые можно классифицировать следующим образом.

I радикальные – к ним относятся операции – резекции уретры по Мариону-Хольцову, Русакову, Соловову, операция Иогансона [6], [2], [3], [13], [8].

II паллиативные – канализация по Вишневскому, туннелизация по Фронштейну, бужирование.

По характеру выполнения:

I – стягивающие – наложение анастомоза уретры конец в конец (это операции Русакова, Хольцова, Соловова) [6], [2], [3], [13], [8].

II – заместительные, при которых в качестве трансплантата используются участки кожи (операция Иохансона, Фрумкина, методики Карпухина) или свободного участка слизистой ткани, обычно из слизистой щеки, без сосудистой ножки [1], [6], [5], [2], [13].

В последнее время предложены двухэтапные операции смешанного типа, основанные на реканализации и замещении частично кожей [4], [7].

По отдельным источникам частота осложнений от 10% до 50%.

Недостатками всех ранее имеющихся методик были:

при стягивающих операциях – деформация и искривление пениса, особенно при эрекции, рестенозы;

при заместительных – частые свищи, рестенозы, несоответствие эпителиальной поверхности трансплантата эпителию уретры (рост волос в просвет уретры, мацерация и изъязвления кожи, отторжение слизистой при свободной пластике).

Результаты двухэтапных операций несколько лучше, но также имеют осложнения, а недостаток – длительность лечения (до 1 г и более) [14], [15].

Нами впервые предложен способ лечения стриктур уретры, включающий использование в качестве гомотрансплантата языкоподобного лоскута из цельной стенки мочевого пузыря на питающей сосудистой ножке, длины большей замещаемому дефекту уретры, шириной, равной периметру уретры, выведение лоскута на промежность через естественное отверстие наружного сфинктера мочеиспускательного канала, формирование отверстия в ножке лоскута и выведение через него проксимального отдела здоровой уретры, формирование из слизистой лоскута трубку на стенте, заведенном из мочевого пузыря, по длине, соответствующей поврежденному участку уретры, с последующим наложением косых анастомозов между сформированной из трансплантата трубкой и дистальным и проксимальным отделами здоровой уретры.

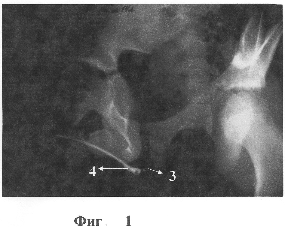
Ниже приводится подробное описание предлагаемой методики. Исходное патологическое состояние представлено на фиг.1, 2, где 1 – мочевой пузырь, 2 – проксимальный отдел здоровой уретры, 3 – участок стеноза, 4 – дистальный отдел здоровой уретры.

Нижнесрединным разрезом рассекают ткани. Выделяют забрюшинно мочевой пузырь, симфиз и кости лонного сочленения (медиальная часть верхней ветви os pubis). Отступя от шейки мочевого пузыря, сагиттально вверх выкраивают языкоподобный лоскут большей длины, чем длина замещаемого дефекта уретры, ширины, равной периметру уретры, с сохранением ветвей нижнепузырных артерий. Фиг.3 указатель 5. Производят демукозацию в проксимальной части лоскута по длине примерно полторы длины здорового участка проксимального отдела уретры. Эта часть лоскута будет являться питающей ножкой и проходить через толщу мышц диафрагмы таза. Фиг.4 указатель 8. Для облегчения доступа к шейке мочевого пузыря, простатическому отделу уретры и наружному сфинктеру мочевого пузыря выполняют поднадкостничную остеотомию верхних ветвей лонной кости с симфизом, отступя 2,5-3 см от средней линии. Фиг.3 указатель 6. Нижнюю часть лонного сочленения шириной 0,5-1 см, в зависимости от возраста, сохраняют. Таким образом выполнен выход на диафрагму таза и переднюю часть простатического отдела уретры через предпузырную клетчатку и венозное сплетение. Далее промежностным сагиттальным разрезом по средней линии над стенозированным участком мочеиспускательного канал рассекают ткани до уретры. Уретру мобилизуют, пораженный участок резецируют в пределах здоровых тканей. Резекцию уретры производят косым срезом кнаружи. Фиг.3 указатель 7. Проксимальную часть уретры мобилизуют до шейки мочевого пузыря тупо, во избежание повреждения нервов и семявыносящих протоков, особенно в области задней поверхности простатического отдела.

Естественное отверстие в диафрагме таза, через которое проходит уретра, и наружный сфинктер мочевого пузыря тупо расширяют. Через образовавшийся тоннель заводят лоскут мочевого пузыря. Для этого лоскут откидывают и проводят свободно вниз без ротации и значительного натяжения. Таким образом, проксимальный отдел уретры расположен после выведения лоскута на промежность кзади от лоскута, слизистая часть трансплантата, из которой будет сформирована трубка и последующие анастомозы, обращена кпереди. Фиг.5. Для того чтобы произвести транспозицию, в бесслизистой части лоскута на уровне нижнего края предстательной железы, тупо выполняют отверстие, фиг.5 указатель 9, через которое проксимальную уретру выводят на переднюю поверхность лоскута. Фиг.6. Мышечный массив лоскута, обхватывающий уретру после транспозиции, фиксируют швами к прилежащим мышцам промежности во избежание сдавливания мочеиспускательного канала в последующем при акте мочеиспускания. Из мочевого пузыря через проксимальный отдел уретры заводят стент, на котором из слизистой части лоскута формируют трубку. Фиг.7 указатель 10. После чего стент проводят через дистальный отдел уретры и выводят через меатальное отверстие пениса. Стент остается на 7-10 дней после операции.

Накладывают косые анастомозы между сформированной трубкой и дистальным и проксимальным отделами уретры. Фиг.8, фиг.9. Целостность мышц и кожи промежностного разреза восстанавливают. Из срединного разреза выполняют эпицистостомию, а дефект мочевого пузыря, образовавшийся после забора лоскута, ушивают до эпицистостомы. Часть симфиза после остеотомии возвращают на место и фиксируют швом или спицей в зависимости от возраста. Целостность надкостницы восстанавливают. Нижнесрединный разрез послойно ушивают до дренажа.

Пример. Больной С. 14 лет поступил 17.09.2003 г. в хирургическое отделение ОДКБ г.Ульяновска с жалобами на подъемы температуры, затрудненное болезненное мочеиспускание, помутнение и неприятный запах мочи. Ухудшение состояния стал отмечать за 1 месяц до обращения. Явления парадоксальной ишурии (отхождение мочи по каплям) за 2 дня до госпитализации.

На снимках и уретроскопии отмечается стриктура уретры значительной протяженности от бульбарного до простатического отделов. Проходимость почти полностью отсутствует. Фиг.1, 2. В день поступления наложена пункционная эпицистостома.

Была выполнена операция 17.04.2003 г. развития уретры, резекция стенозированного участка в пределах здоровых тканей. После дообследования и подготовки 17.09.2003 впервые выполнена операция по предоставляемой методике.

17.09.2003 ПРОТОКОЛ ОПЕРАЦИИ

Ревизия, резекция мембранозного и бульбарного отделов уретры с последующей пластикой этих отделов лоскутом из мочевого пузыря на питающей ножке.

Под эндотратрахеальным наркозом, в положении больного на спине, нижнесрединным разрезом забрюшинно выделен мочевой пузырь. Из мочевого пузыря, по передней его поверхности с сохранением сосудистой архитектоники, выкроен детрузорно-слизистый лоскут длиной до 14 см и шириной до 4 см. От основания лоскута, длиной 3-4 см удалена слизистая часть стенки (выполнена демукозация). Лоскут откинут до шейки мочевого пузыря. Сосудистая ножка составляет 3 см. С целью облегчения доступа к шейке мочевого пузыря, заднему отделу уретры и тазовому дну произведена поднадкостничная остеотомия лонного сочленения с мобилизацией медиальных отделов сухожилий прямых мышц живота по 3 см с каждой стороны и сохранением нижних отделов симфиза. Шейка мочевого пузыря мобилизована. Произведен выход на тазовое дно. На промежности, разрезом от мошонки до анального отверстия, рассечены ткани. Уретра мобилизована, выделен простатический ее отдел до мочевого пузыря. Кровотечение умеренное, гемостаз, объем кровопотери – около 400 мл. Выполнена резекция стенозированного участка уретры косо, в пределах здоровых тканей. Пузырный лоскут заведен через отверстие наружного сфинктера уретры.

Выполнена транспозиция лоскута и уретры: для этого в бесслизистой части лоскута на уровне предстательной железы тупо проделано отверстие, через которое заведен проксимальный отдел уретры. После этого уретральная трубка сформирована из слизистой части лоскута, наложен косой проксимальный уретро-уретроанастомоз на стенте. Далее вновь сформированная уретра доведена до дистального отдела. Наложен косой дистальный уретро-уретроанастомоз. Детрузорная часть лоскута фиксирована к мышцам промежности. Тазовое кольцо восстановлено. Мочевой пузырь ушит с оставлением стомы. Выполнена тампонада переднепузырного венозного сплетения гемостатической губкой. Фрагмент симфиза возвращен на место, надкостница ушита узловыми швами. Дренаж через контрапертуру в правой пахово-подвздошной области в паравезикальное пространство. Послойно швы на подкожную клетчатку и кожу.

Стент удален на 10 сутки после операции. Эпицистостома – на 14 сутки.

При выписке: мочеиспускание самостоятельное, мочу держит. Явлений энуреза нет. На снимках уретра проходима. При урофлоуметрии данных за инфравезикальную обструкцию нет. Фиг.9.

Патогистологическое заключение: стенозированный участок занимает протяженность от бульбарного до простатического отделов, фрагмент уретры с выраженным фиброзом, гипертрофией мышечной оболочки. Часть сосудов со склерозом стенок и облитерацией просвета.

Данная методика позволяет ликвидировать дефекты любой протяженности и на любом участке. Растяжимость детрузора и слизистой мочевого пузыря сходна с растяжимостью уретры и кавернозных тел, что не приводит к деформации пениса при эрекции, что возможно при других методиках. Сохраняется однородность слизистых эпителия мочеиспускательного канала, отсутствуют осложнения, свойственные кожным трансплантатам (рост волос, свищи). Сохранение питающих сосудов ножки лоскута обеспечивает хорошую трофику анастомозов и предотвращает развитие свищей, способствует хорошему приживлению трансплантата. Быстрому выздоровлению и сокращению сроков госпитализации.

Источники информации

[1] Восстановление уретры с помощью гомотрансплантата. В.Т.Карпухин, 1966 г., Москва.

[2] Стриктуры и облитерации уретры. В.И.Русаков, издательство Ростовского университета, 1987 г.

[3] Стриктуры уретры. В.И.Русаков, Москва, 1962 г.

[4] Двухэтапная уретропластика при сложных и осложненных стриктурах уретры. К.К.Каримбаев, Урология и нефрология, Москва, 1999 г., №5.

[5] Хирургия мочеиспускательного канала. В.И.Русаков, Москва, 1991 г.

[6] Стриктуры уретры у детей. В.В.Николаев, Э.А.Степанов, Москва, 1998 г.

[7] Современные методы лечения протяженных и осложненных стриктур уретры. К.К.Каримбаев, Автореферат докторской диссертации, Москва, 2002 г.

[8] Хирургическое лечение посттравматических и рецидивных стриктур уретры у мужчин. Р.И.Сафиуллин, Автореферат кандидатской диссертации, Уфа, 2000 г.

[9] Лечение закрытых повреждений и посттравматических стриктур уретры. В.Б.Муравьев, Урология и нефрология, Москва, 1991, №2.

[10] Лечение облитерации задней уретры у мужчин. М.Ф.Трапезникова, Урология и нефрология, Москва, 1997 г., №6.

[11] Оперативное лечение посттравматических стриктур и облитераций задней уретры. В.Г.Гнилорыбов, Урология и нефрология. Москва 1991 г., №6.

[12] Стриктуры проксимального отдела уретры у мужчин. О.Б.Лоран, Урология и нефрология. Москва. 1991 г., №6.

[13] Детская хирургия. К.У.Ашкровт, тт.2-3, С-Петербург, 1997 г.

[14] Оперативная урология, под ред. Лопаткина Н.А., Москва, 1986 г.

[15] Руководство по клинической урологии, под ред. А.Я.Пытеля, Москва, 1970 г.

Формула изобретения

Способ хирургического лечения стриктур уретры, включающий резекцию стенозированного участка уретры, формирование участка уретры из трансплантата, отличающийся тем, что трансплантат выкраивают в виде языкоподобного лоскута из стенки мочевого пузыря на сосудистой ножке, отступя от шейки мочевого пузыря сагиттально вверх длиной больше, чем длина дефекта, а шириной, равной периметру уретры, тупо расширяют отверстие в диафрагме таза, через которое проходит уретра, через образовавшийся тоннель выводят лоскут мочевого пузыря на промежность, демукозируют проксимальную часть лоскута, формируя его ножку, после чего выполняют отверстие в ножке лоскута, через которое выводят проксимальный отдел уретры, далее из лоскута формируют трубку и накладывают косые анастомозы между сформированной трубкой и дистальным и проксимальным отделами уретры.

РИСУНКИ

Categories: BD_2252000-2252999